Validation Data Gallery
Tested Applications
| Positive WB detected in | U-937 cells, HL-60 cells, THP-1 cells |
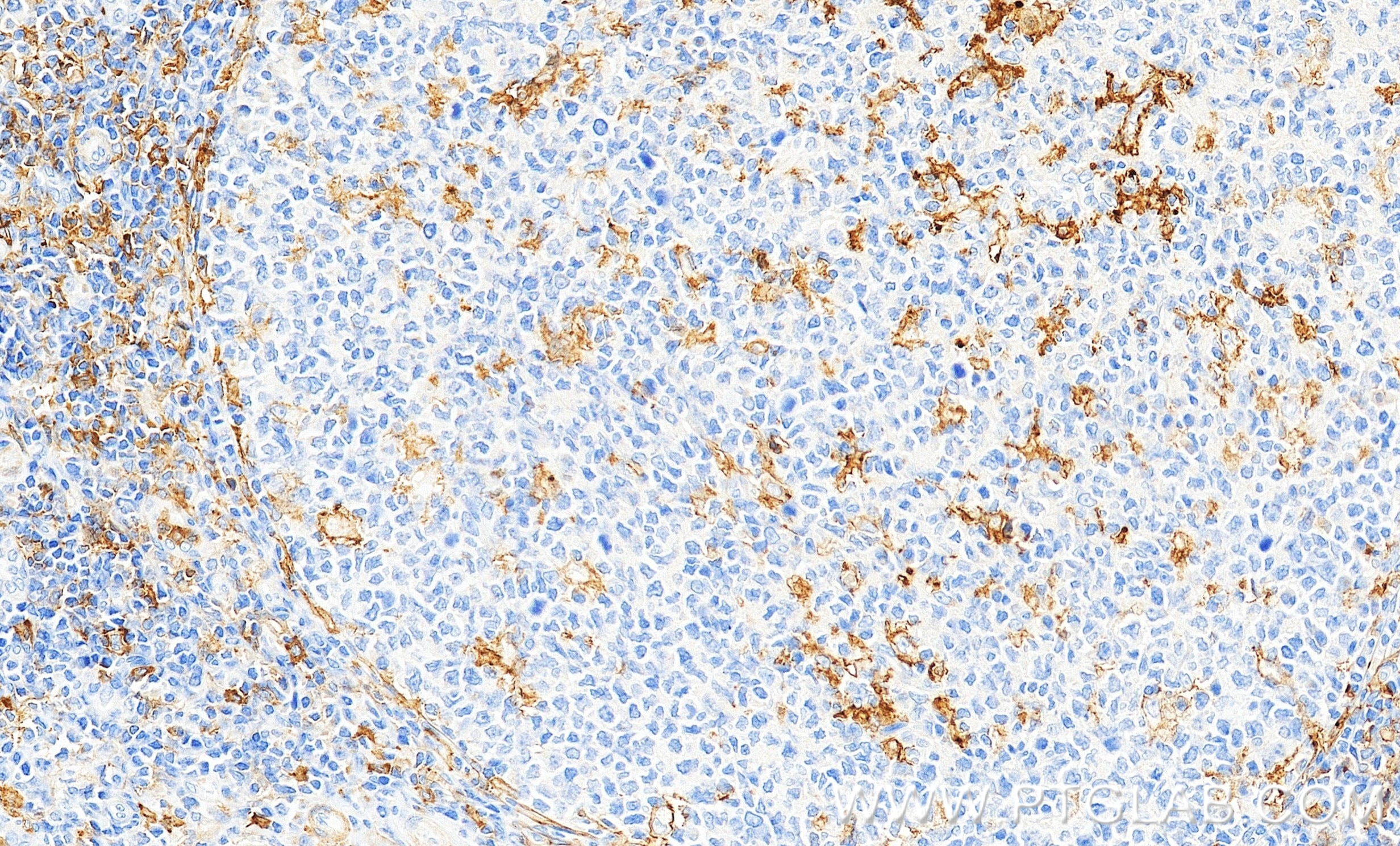
| Positive IHC detected in | human tonsillitis tissue Note: suggested antigen retrieval with TE buffer pH 9.0; (*) Alternatively, antigen retrieval may be performed with citrate buffer pH 6.0 |
Recommended dilution
| Application | Dilution |
|---|---|
| Western Blot (WB) | WB : 1:2000-1:10000 |
| Immunohistochemistry (IHC) | IHC : 1:500-1:2000 |
| It is recommended that this reagent should be titrated in each testing system to obtain optimal results. | |
| Sample-dependent, Check data in validation data gallery. | |
Product Information
87497-1-RR targets CD300f in WB, IHC, ELISA applications and shows reactivity with human samples.
| Tested Reactivity | human |
| Host / Isotype | Rabbit / IgG |
| Class | Recombinant |
| Type | Antibody |
| Immunogen |
CatNo: Eg10440 Product name: Recombinant human CD300F protein Source: mammalian cells-derived, pHZ-KIsec-C-6*HIS Tag: C-6*HIS Sequence: \ 相同性解析による交差性が予測される生物種 |
| Full Name | CD300 molecule-like family member f |
| Observed molecular weight | 40-60 kDa |
| Gene Symbol | CD300LF |
| Gene ID (NCBI) | 146722 |
| Conjugate | Unconjugated |
| Form | |
| Form | Liquid |
| Purification Method | Protein A purification |
| UNIPROT ID | Q8TDQ1 |
| Storage Buffer | PBS with 0.02% sodium azide and 50% glycerol{{ptg:BufferTemp}}7.3 |
| Storage Conditions | Store at -20°C. Stable for one year after shipment. Aliquoting is unnecessary for -20oC storage. |
Background Information
CD300f (also known as CLM-1 or IREM-1) is a type I transmembrane glycoprotein belonging to the CD300 family of immunoreceptors. Expressed predominantly on myeloid cells, including macrophages, dendritic cells, and mast cells, CD300f functions as an inhibitory receptor that regulates immune responses. Its extracellular domain contains a single IgV-like domain that recognizes phosphatidylserine and phosphatidylethanolamine, enabling recognition of apoptotic cells. The cytoplasmic tail harbors immunoreceptor tyrosine-based inhibitory motifs (ITIMs) that recruit phosphatases SHP-1 and SHP-2 upon phosphorylation, delivering negative signals. CD300f plays critical roles in dampening inflammation, promoting efferocytosis, and maintaining immune homeostasis (PMID: 28073916, PMID: 33548578, PMID: 37302321). The predicted molecular weight of CD300f is 32 kDa; however, due to different levels of N- and/or O-linked glycosylation modifications, its molecular weight may range from 40 to 60 kDa (PMID: 15549731, PMID: 31338922).
Protocols
| Product Specific Protocols | |
|---|---|
| IHC protocol for CD300f antibody 87497-1-RR | Download protocol |
| WB protocol for CD300f antibody 87497-1-RR | Download protocol |
| Standard Protocols | |
|---|---|
| Click here to view our Standard Protocols |



