Validation Data Gallery
Tested Applications
| Positive WB detected in | bEnd.3 cells, mouse liver tissue |
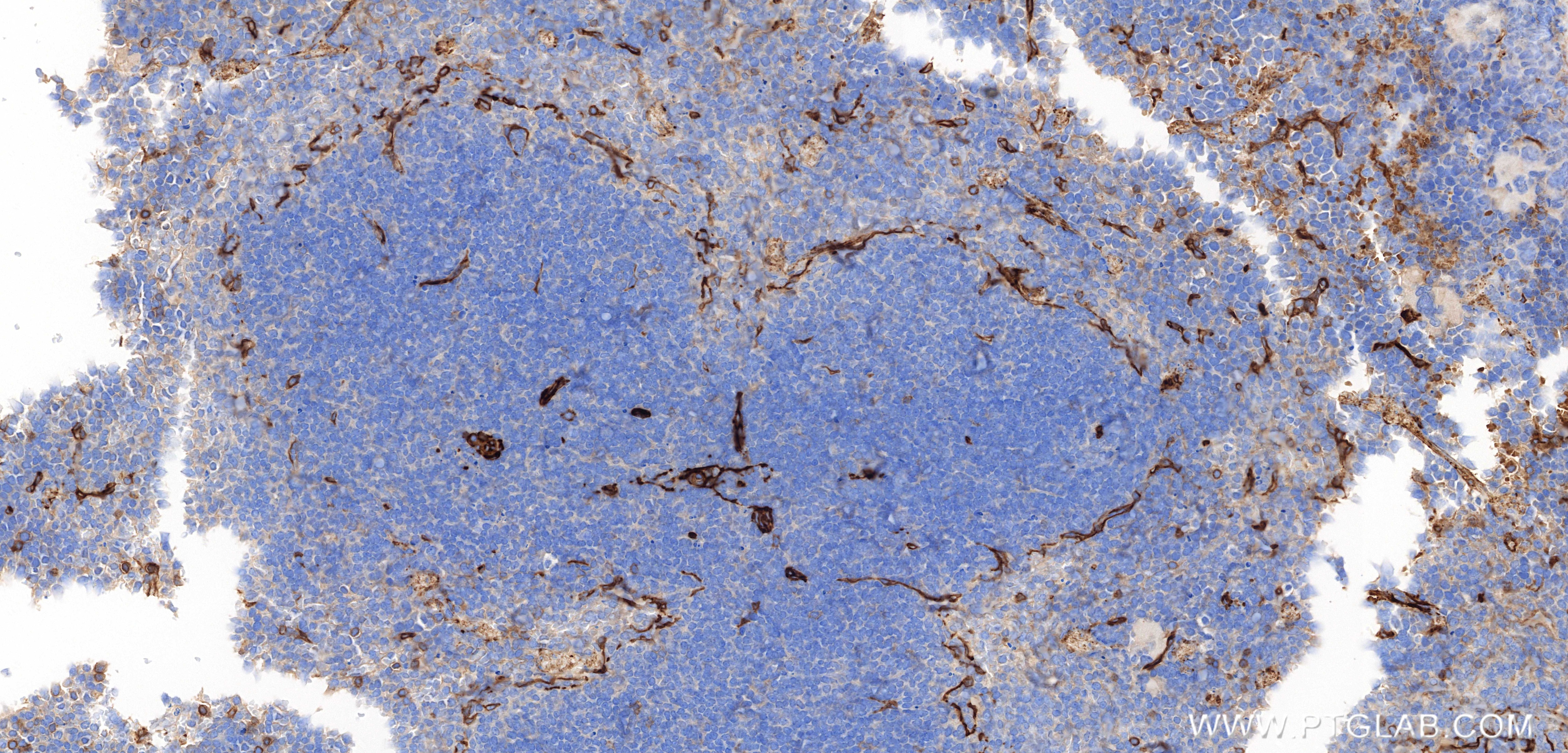
| Positive IHC detected in | mouse spleen tissue, mouse brain tissue Note: suggested antigen retrieval with TE buffer pH 9.0; (*) Alternatively, antigen retrieval may be performed with citrate buffer pH 6.0 |
| Positive IF/ICC detected in | bEnd.3 cells |
Recommended dilution
| Application | Dilution |
|---|---|
| Western Blot (WB) | WB : 1:5000-1:50000 |
| Immunohistochemistry (IHC) | IHC : 1:500-1:2000 |
| Immunofluorescence (IF)/ICC | IF/ICC : 1:250-1:1000 |
| It is recommended that this reagent should be titrated in each testing system to obtain optimal results. | |
| Sample-dependent, Check data in validation data gallery. | |
Product Information
86159-3-RR targets CD146/MCAM in WB, IHC, IF/ICC, ELISA applications and shows reactivity with mouse samples.
| Tested Reactivity | mouse |
| Host / Isotype | Rabbit / IgG |
| Class | Recombinant |
| Type | Antibody |
| Immunogen |
CatNo: Eg2667 Product name: Recombinant Mouse CD146/MCAM protein (rFc Tag) (HPLC verified) Source: mammalian cells-derived, V37 Tag: C-rFc Domain: 24-563 aa of NM_023061.2 Sequence: VPGEEKQPVPTPDLVEAEVGSTALLKCGPSRASGNFSQVDWFLIHKERQILIFRVHQGKGQREPGEYEHRLSLQDSVATLALSHVTPHDERMFLCKSKRPRLQDHYVELQVFKAPEEPTIQANVVGIHVDRQELREVATCVGRNGYPIPQVLWYKNSLPLQEEENRVHIQSSQIVESSGLYTLKSVLSARLVKEDKDAQFYCELSYRLPSGNHMKESKEVTVPVFYPAEKVWVEVEPVGLLKEGDHVTIRCLTDGNPQPHFTINKKDPSTGEMEEESTDENGLLSLEPAEKHHSGLYQCQSLDLETTITLSSDPLELLVNYVSDVQVNPTAPEVQEGESLTLTCEAESNQDLEFEWLRDKTGQLLGKGPVLQLNNVRREAGGRYLCMASVPRVPGLNRTQLVSVGIFGSPWMALKERKVWVQENAVLNLSCEASGHPQPTISWNVNGSATEWNPDPQTVVSTLNVLVTPELLETGAECTASNSLGSNTTTIVLKLVTLTTLIPDSSQTTGLSTLTVSPHTRANSTSTEKKLPQPESKGVV 相同性解析による交差性が予測される生物種 |
| Full Name | melanoma cell adhesion molecule |
| Calculated molecular weight | 72 kDa |
| Observed molecular weight | 120-140 kDa |
| GenBank accession number | NM_023061.2 |
| Gene Symbol | Mcam |
| Gene ID (NCBI) | 84004 |
| Conjugate | Unconjugated |
| Form | |
| Form | Liquid |
| Purification Method | Protein A purification |
| UNIPROT ID | Q8R2Y2-1 |
| Storage Buffer | PBS with 0.02% sodium azide and 50% glycerol{{ptg:BufferTemp}}7.3 |
| Storage Conditions | Store at -20°C. Stable for one year after shipment. Aliquoting is unnecessary for -20oC storage. |
Background Information
CD146, also known as melanoma cell adhesion molecule (MCAM) or MUC18, originally identified as a biomarker of melanoma progression, is a transmembrane glycoprotein of 113-130 kDa, belonging to the immunoglobulin (Ig) superfamily (PMID: 8378324; 25993332). Structurally, it consists of five Ig domains, a transmembrane domain, and a cytoplasmic region. In normal adult tissue, CD146 is primarily expressed by vascular endothelium and smooth muscle. CD146 is a key cell adhesion protein in vascular endothelial cell activity and angiogenesis, and has been used as marker of circulating endothelium cells (CECs) (PMID: 19356677). In addition to the membrane-anchored form of CD146, a soluble form of CD146 (sCD146, 105 kDa) has also been found in human plasma and in the supernatant of cultured human endothelial cells (PMID: 9462829; 19229070; 16374253; 14597988).
Protocols
| Product Specific Protocols | |
|---|---|
| IF protocol for CD146/MCAM antibody 86159-3-RR | Download protocol |
| IHC protocol for CD146/MCAM antibody 86159-3-RR | Download protocol |
| WB protocol for CD146/MCAM antibody 86159-3-RR | Download protocol |
| Standard Protocols | |
|---|---|
| Click here to view our Standard Protocols |




