Validation Data Gallery
Tested Applications
Recommended dilution
| Application | Dilution |
|---|---|
| It is recommended that this reagent should be titrated in each testing system to obtain optimal results. | |
Product Information
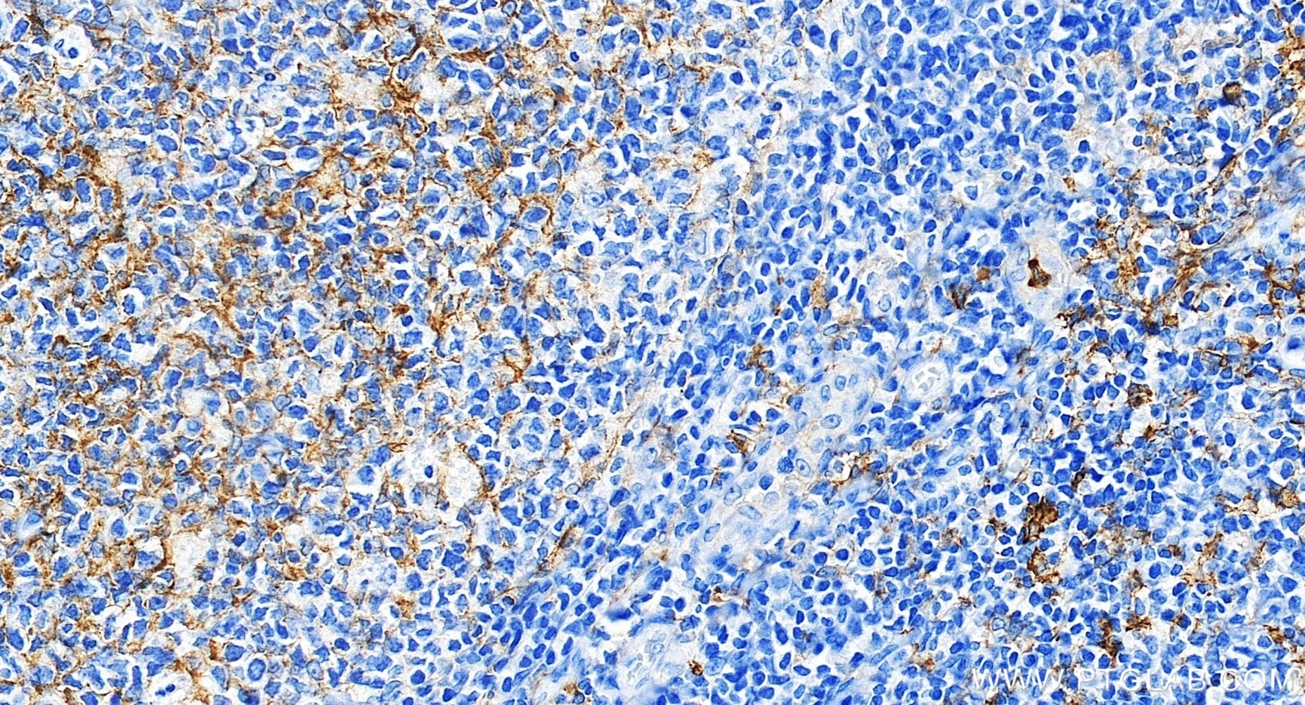
83055-4-PBS targets CD14 in IHC, Indirect ELISA applications and shows reactivity with human samples.
| Tested Reactivity | human |
| Host / Isotype | Rabbit / IgG |
| Class | Recombinant |
| Type | Antibody |
| Immunogen |
CatNo: Eg0498 Product name: Recombinant human CD14 protein Source: mammalian cells-derived, pHZ-KIsec-C-6*HIS Tag: C-6*HIS Domain: 20-344 aa of BC010507 Sequence: TTPEPCELDDEDFRCVCNFSEPQPDWSEAFQCVSAVEVEIHAGGLNLEPFLKRVDADADPRQYADTVKALRVRRLTVGAAQVPAQLLVGALRVLAYSRLKELTLEDLKITGTMPPLPLEATGLALSSLRLRNVSWATGRSWLAELQQWLKPGLKVLSIAQAHSPAFSCEQVRAFPALTSLDLSDNPGLGERGLMAALCPHKFPAIQNLALRNTGMETPTGVCAALAAAGVQPHSLDLSHNSLRATVNPSAPRCMWSSALNSLNLSFAGLEQVPKGLPAKLRVLDLSCNRLNRAPQPDELPEVDNLTLDGNPFLVPGTALPHEGSM 相同性解析による交差性が予測される生物種 |
| Full Name | CD14 molecule |
| Calculated molecular weight | 375 aa, 40 kDa |
| GenBank accession number | BC010507 |
| Gene Symbol | CD14 |
| Gene ID (NCBI) | 929 |
| ENSEMBL Gene ID | ENSG00000170458 |
| Conjugate | Unconjugated |
| Form | |
| Form | Liquid |
| Purification Method | Protein A purification |
| UNIPROT ID | P08571 |
| Storage Buffer | PBS only{{ptg:BufferTemp}}7.3 |
| Storage Conditions | Store at -80°C. |
Background Information
CD14 is a 50-55 kDa glycosylphosphatidylinositol-anchored glycoprotein preferentially expressed on monocytes and macrophages, and at lower levels on granulocytes (PMID: 3385210; 2462937; 7685797). CD14 can also exist as a soluble protein. CD14 acts as a co-receptor for bacterial liposaccharides (LPS) (PMID: 1698311). It plays a major role in the inflammatory response of monocytes to LPS.

