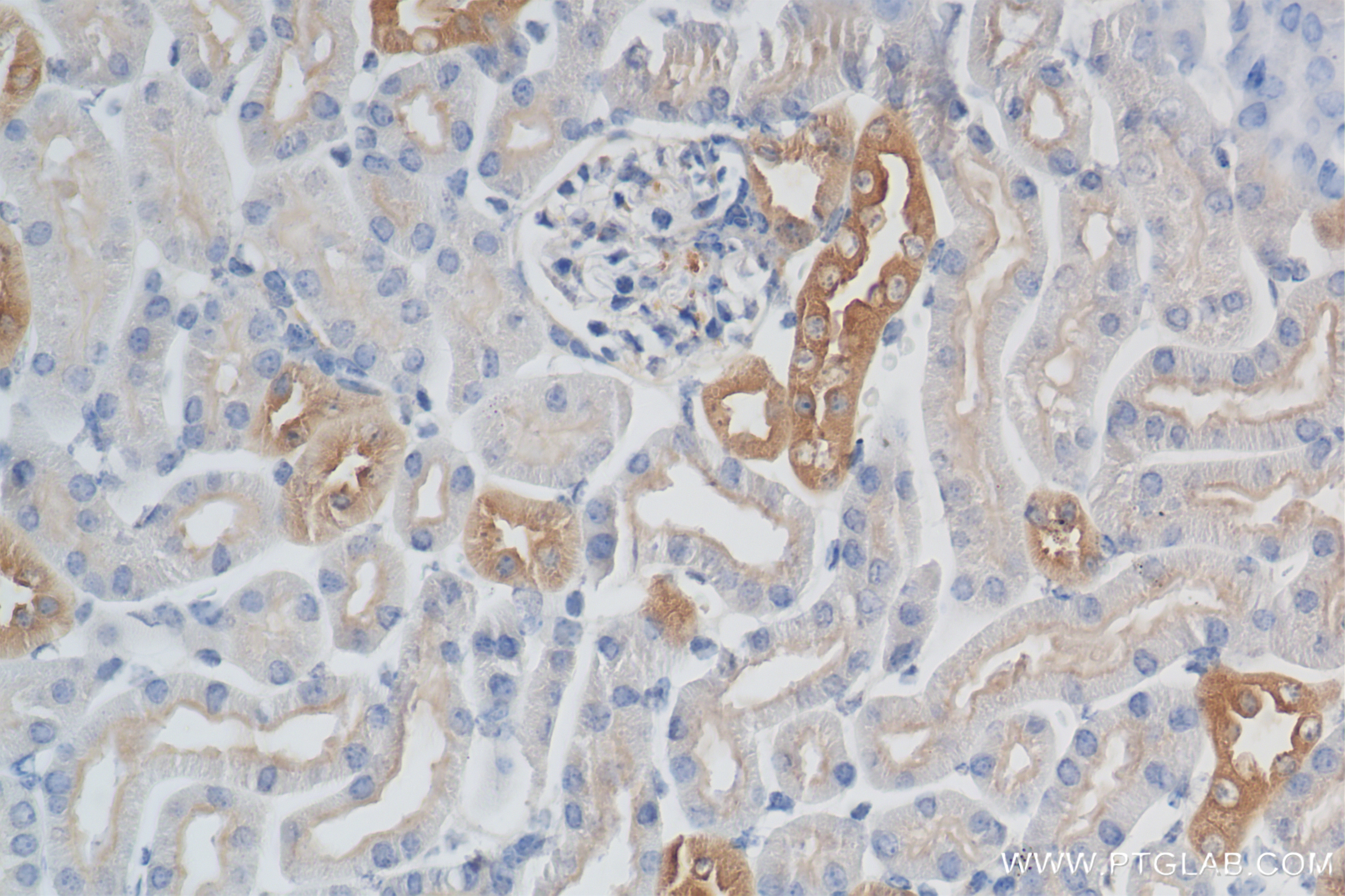
Validation Data Gallery
Tested Applications
| Positive WB detected in | U-937 cells, THP-1 cells, A431 cells, Jurkat cells | 
| Positive IF/ICC detected in | THP-1 cells | 
Recommended dilution
| Application | Dilution | 
|---|---|
| Western Blot (WB) | WB : 1:5000-1:50000 | 
| Immunofluorescence (IF)/ICC | IF/ICC : 1:200-1:800 | 
| It is recommended that this reagent should be titrated in each testing system to obtain optimal results. | |
| Sample-dependent, Check data in validation data gallery. | |
Product Information
84911-3-RR targets CCR2a-specific in WB, IF/ICC, ELISA applications and shows reactivity with human samples.
| Tested Reactivity | human | 
| Host / Isotype | Rabbit / IgG | 
| Class | Recombinant | 
| Type | Antibody | 
| Immunogen | Peptide相同性解析による交差性が予測される生物種 | 
| Full Name | chemokine (C-C motif) receptor 2 | 
| Calculated molecular weight | 42 kDa | 
| Observed molecular weight | 35 kDa | 
| GenBank accession number | NM_000647 | 
| Gene Symbol | CCR2 | 
| Gene ID (NCBI) | 729230 | 
| Conjugate | Unconjugated | 
| Form | |
| Form | Liquid | 
| Purification Method | Protein A purfication | 
| UNIPROT ID | P41597 | 
| Storage Buffer | PBS with 0.02% sodium azide and 50% glycerol{{ptg:BufferTemp}}7.3 | 
| Storage Conditions | Store at -20°C. Stable for one year after shipment. Aliquoting is unnecessary for -20oC storage. | 
Background Information
CCR2 encodes a receptor for MCP1, functioning in inflammatory processes, tumor infiltration, and monocyte invasion of artery walls in atherosclerosis. There are two isoforms of CCR2, CCR2A and CCR2B. CCR2 isoforms were expressed by different cell subsets in both normal and IIM muscle. CCR2A was expressed in vessel walls and by some mononuclear cells, especially in cells involved in partial invasion in PM and IBM. CCR2B expression was observed in all satellite cells, in the muscular domain of neuromuscular junctions, and in some regenerative fibers of IIM, but not in inflammatory exudates.
Protocols
| Product Specific Protocols | |
|---|---|
| IF protocol for CCR2a-specific antibody 84911-3-RR | Download protocol | 
| WB protocol for CCR2a-specific antibody 84911-3-RR | Download protocol | 
| Standard Protocols | |
|---|---|
| Click here to view our Standard Protocols | 




