Validation Data Gallery
Tested Applications
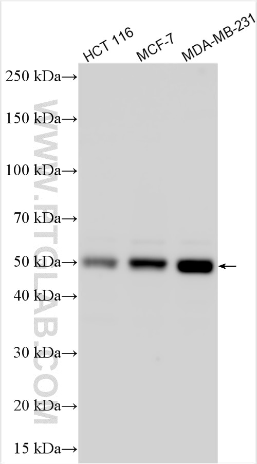
| Positive WB detected in | HCT 116 cells, MCF-7 cells, MDA-MB-231 cells |
Recommended dilution
| Application | Dilution |
|---|---|
| Western Blot (WB) | WB : 1:2000-1:16000 |
| It is recommended that this reagent should be titrated in each testing system to obtain optimal results. | |
| Sample-dependent, Check data in validation data gallery. | |
Product Information
31200-1-AP targets CCDC85C in applications and shows reactivity with human samples.
| Tested Reactivity | human |
| Host / Isotype | Rabbit / IgG |
| Class | Polyclonal |
| Type | Antibody |
| Immunogen |
CatNo: Ag35157 Product name: Recombinant human CCDC85C protein Source: e coli.-derived, PGEX-4T Tag: GST Domain: 220-390 aa of NM_001144995 Sequence: HHHVPPPLLPPGPHKAPDGKAGATRRSLDDLSAPPHHRSIPNGLHDPSSTYIRQLESKVRLLEGDKLLAQQAGSGEFRTLRKGFSPYHSESQLASLPPSYQDSLQNGPACPAPELPSPPSAGYSPAGQKPEAVVHAMKVLEVHENLDRQLQDSCEEDLSEKEKAIVREMCN 相同性解析による交差性が予測される生物種 |
| Full Name | coiled-coil domain containing 85C |
| Calculated molecular weight | 419 aa, 45 kDa |
| Observed molecular weight | 45-50 kDa |
| GenBank accession number | NM_001144995 |
| Gene Symbol | CCDC85C |
| Gene ID (NCBI) | 317762 |
| Conjugate | Unconjugated |
| Form | |
| Form | Liquid |
| Purification Method | Antigen affinity Purification |
| UNIPROT ID | A6NKD9 |
| Storage Buffer | PBS with 0.02% sodium azide and 50% glycerol{{ptg:BufferTemp}}7.3 |
| Storage Conditions | Store at -20°C. Stable for one year after shipment. Aliquoting is unnecessary for -20oC storage. |
Background Information
Ccdc85c (coiled-coil domain containing 85c) is a gene encoding protein, which is located on human chromosome 14 (14q32.2) and belongs to the helical loop domain protein family. The protein is mainly expressed in the neuroepithelial cells of the lateral ventricle wall of the brain, especially at the top junction of radial glial cells. In addition, it is also expressed in a variety of monolayer epithelial cells, but not in stratified epithelial cells. CCDC85C is the pathogenic gene of hereditary hydrocephalus and subcortical endometriosis (often accompanied by cerebral hemorrhage). In CCDC85C gene knockout (KO) mice and rats, abnormal development of ventricular system was observed, resulting in hydrocephalus and cerebral hemorrhage (PMID: 37271245).
Protocols
| Product Specific Protocols | |
|---|---|
| WB protocol for CCDC85C antibody 31200-1-AP | Download protocol |
| Standard Protocols | |
|---|---|
| Click here to view our Standard Protocols |
