Validation Data Gallery
Tested Applications
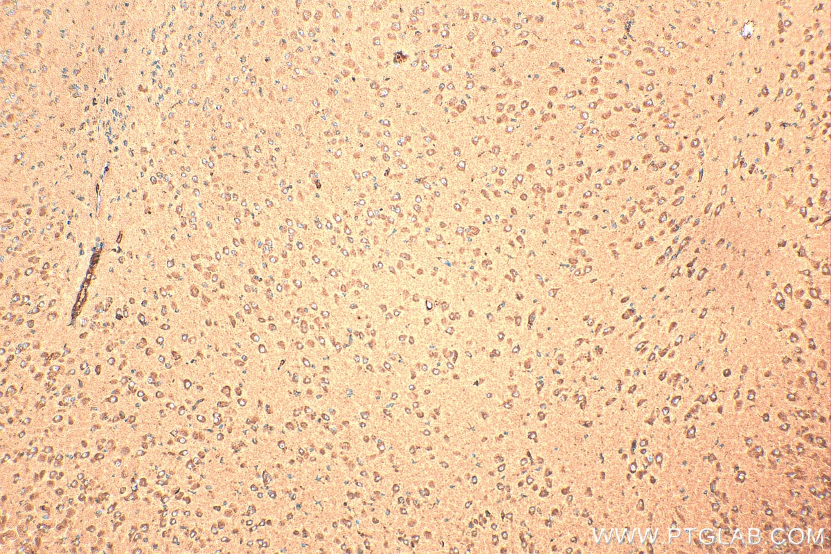
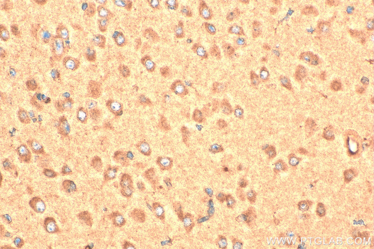
| Positive IHC detected in | mouse brain tissue Note: suggested antigen retrieval with TE buffer pH 9.0; (*) Alternatively, antigen retrieval may be performed with citrate buffer pH 6.0 |
Recommended dilution
| Application | Dilution |
|---|---|
| Immunohistochemistry (IHC) | IHC : 1:50-1:500 |
| It is recommended that this reagent should be titrated in each testing system to obtain optimal results. | |
| Sample-dependent, Check data in validation data gallery. | |
Product Information
23890-1-AP targets CALCB in IHC, ELISA applications and shows reactivity with human, mouse samples.
| Tested Reactivity | human, mouse |
| Host / Isotype | Rabbit / IgG |
| Class | Polyclonal |
| Type | Antibody |
| Immunogen |
CatNo: Ag20926 Product name: Recombinant human CALCB protein Source: e coli.-derived, PET30a Tag: 6*His Domain: 1-127 aa of BC008428 Sequence: MGFRKFSPFLALSILVLYQAGSLQAAPFRSALESSPDPATLSKEDARLLLAALVQDYVQMKASELKQEQETQGSSSAAQKRACNTATCVTHRLAGLLSRSGGMVKSNFVPTNVGSKAFGRRRRDLQA 相同性解析による交差性が予測される生物種 |
| Full Name | calcitonin-related polypeptide beta |
| Calculated molecular weight | 127 aa, 14 kDa |
| GenBank accession number | BC008428 |
| Gene Symbol | CALCB |
| Gene ID (NCBI) | 797 |
| Conjugate | Unconjugated |
| Form | |
| Form | Liquid |
| Purification Method | Antigen Affinity purified |
| UNIPROT ID | P10092 |
| Storage Buffer | PBS with 0.02% sodium azide and 50% glycerol{{ptg:BufferTemp}}7.3 |
| Storage Conditions | Store at -20°C. Stable for one year after shipment. Aliquoting is unnecessary for -20oC storage. |
Protocols
| Product Specific Protocols | |
|---|---|
| IHC protocol for CALCB antibody 23890-1-AP | Download protocol |
| Standard Protocols | |
|---|---|
| Click here to view our Standard Protocols |

