Validation Data Gallery
Tested Applications
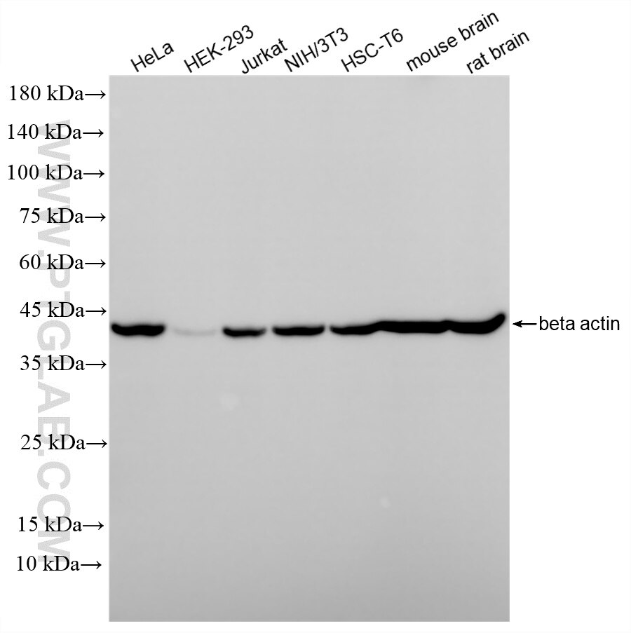
| Positive WB detected in | HeLa cells, HEK-293 cells, Jurkat cells, NIH/3T3 cells, HSC-T6 cells, mouse brain tissue, rat brain tissue |
| Positive IF/ICC detected in | U2OS cells |
Recommended dilution
| Application | Dilution |
|---|---|
| Western Blot (WB) | WB : 1:5000-1:50000 |
| Immunofluorescence (IF)/ICC | IF/ICC : 1:250-1:1000 |
| It is recommended that this reagent should be titrated in each testing system to obtain optimal results. | |
| Sample-dependent, Check data in validation data gallery. | |
Product Information
81119-1-RR targets Beta Actin in WB, IF/ICC, ELISA applications and shows reactivity with human, mouse, rat samples.
| Tested Reactivity | human, mouse, rat |
| Host / Isotype | Rabbit / IgG |
| Class | Recombinant |
| Type | Antibody |
| Immunogen |
CatNo: Ag14521 Product name: Recombinant human beta actin protein Source: e coli.-derived, PGEX-4T Tag: GST Domain: 1-50 aa of BC002409 Sequence: MDDDIAALVVDNGSGMCKAGFAGDDAPRAVFPSIVGRPRHQGVMVGMGQK 相同性解析による交差性が予測される生物種 |
| Full Name | actin, beta |
| Calculated molecular weight | 375 aa, 42 kDa |
| Observed molecular weight | 42 kDa |
| GenBank accession number | BC002409 |
| Gene Symbol | Beta Actin |
| Gene ID (NCBI) | 60 |
| Conjugate | Unconjugated |
| Form | |
| Form | Liquid |
| Purification Method | Protein A purification |
| UNIPROT ID | P60709 |
| Storage Buffer | PBS with 0.02% sodium azide and 50% glycerol{{ptg:BufferTemp}}7.3 |
| Storage Conditions | Store at -20°C. Stable for one year after shipment. Aliquoting is unnecessary for -20oC storage. |
Background Information
Beta Actin, a 42-kDa protein encoded by the ACTB gene, is a highly conserved, ubiquitous protein that forms microfilaments, making it a major component of the cell's cytoskeleton and contractile apparatus. It plays essential roles in cell structure, growth, motility, and intracellular transport, and it's also involved in gene expression regulation by associating with chromatin remodeling complexes. Due to its stable and constitutive expression across different tissues and under most experimental conditions, beta-actin is extensively utilized as an internal loading control in molecular biology techniques, including Western blotting, quantitative PCR (qPCR), and immunohistochemistry, for normalizing gene and protein expression data. Based on epitope identification, this antibody specifically recognizes ACTB and does not exhibit cross-reactivity with ACTA1/ACTA2.
Protocols
| Product Specific Protocols | |
|---|---|
| IF protocol for Beta Actin antibody 81119-1-RR | Download protocol |
| WB protocol for Beta Actin antibody 81119-1-RR | Download protocol |
| Standard Protocols | |
|---|---|
| Click here to view our Standard Protocols |

