Validation Data Gallery
Tested Applications
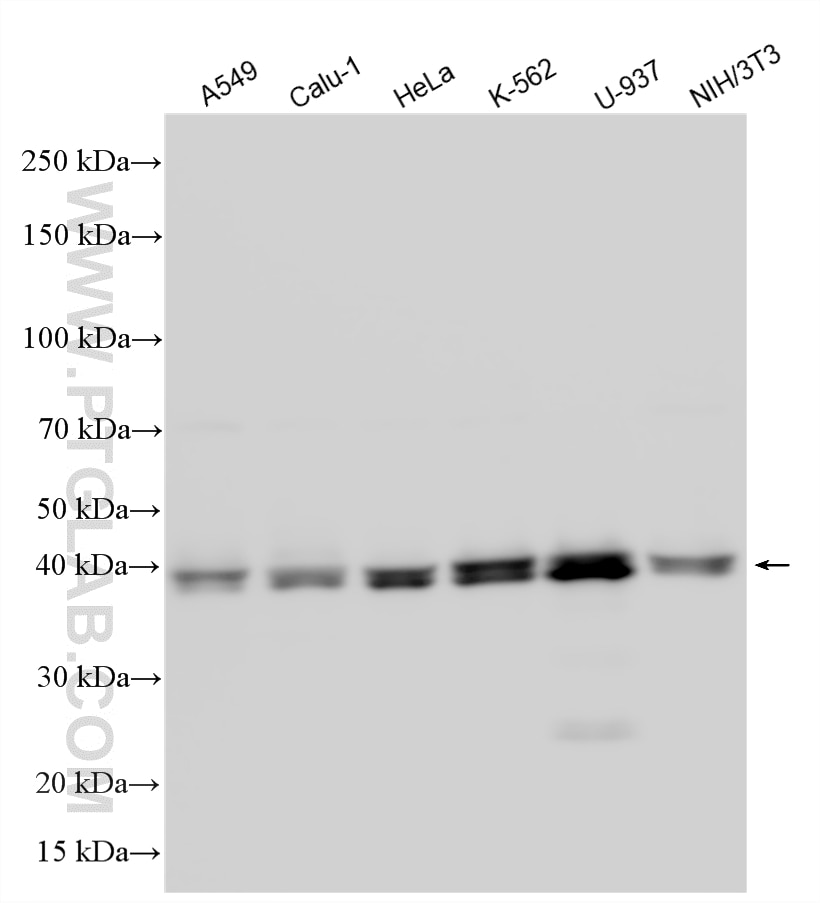
| Positive WB detected in | HT-29 cells, A549 cells, HEK-293 cells, NIH/3T3 cells, mouse brain tissue, rat brain tissue, Calu-1 cells, HeLa cells, K-562 cells, U-937 cells |
| Positive IP detected in | HT-29 cells |
| Positive IF/ICC detected in | MCF-7 cells |
Recommended dilution
| Application | Dilution |
|---|---|
| Western Blot (WB) | WB : 1:5000-1:50000 |
| Immunoprecipitation (IP) | IP : 0.5-4.0 ug for 1.0-3.0 mg of total protein lysate |
| Immunofluorescence (IF)/ICC | IF/ICC : 1:300-1:1200 |
| It is recommended that this reagent should be titrated in each testing system to obtain optimal results. | |
| Sample-dependent, Check data in validation data gallery. | |
Published Applications
| KD/KO | See 5 publications below |
| WB | See 41 publications below |
| IHC | See 8 publications below |
| IF | See 6 publications below |
| IP | See 1 publications below |
| CoIP | See 2 publications below |
| ChIP | See 3 publications below |
Product Information
10832-1-AP targets BMI1 in WB, IHC, IF/ICC, IP, CoIP, ChIP, ELISA applications and shows reactivity with human, mouse samples.
| Tested Reactivity | human, mouse |
| Cited Reactivity | human, mouse |
| Host / Isotype | Rabbit / IgG |
| Class | Polyclonal |
| Type | Antibody |
| Immunogen |
CatNo: Ag1286 Product name: Recombinant human BMI1 protein Source: e coli.-derived, PGEX-4T Tag: GST Domain: 1-326 aa of BC011652 Sequence: MHRTTRIKITELNPHLMCVLCGGYFIDATTIIECLHSFCKTCIVRYLETSKYCPICDVQVHKTRPLLNIRSDKTLQDIVYKLVPGLFKNEMKRRRDFYAAHPSADAANGSNEDRGEVADEDKRIITDDEIISLSIEFFDQNRLDRKVNKDKEKSKEEVNDKRYLRCPAAMTVMHLRKFLRSKMDIPNTFQIDVMYEEEPLKDYYTLMDIAYIYTWRRNGPLPLKYRVRPTCKRMKISHQRDGLTNAGELESDSGSDKANSPAGGIPSTSSCLPSPSTPVQSPHPQFPHISSTMNGTSNSPSGNHQSSFANRPRKSSVNGSSATSSG 相同性解析による交差性が予測される生物種 |
| Full Name | BMI1 polycomb ring finger oncogene |
| Calculated molecular weight | 37 kDa |
| Observed molecular weight | 37-43 kDa |
| GenBank accession number | BC011652 |
| Gene Symbol | BMI1 |
| Gene ID (NCBI) | 648 |
| RRID | AB_2065392 |
| Conjugate | Unconjugated |
| Form | |
| Form | Liquid |
| Purification Method | Antigen affinity purification |
| UNIPROT ID | P35226 |
| Storage Buffer | PBS with 0.02% sodium azide and 50% glycerol{{ptg:BufferTemp}}7.3 |
| Storage Conditions | Store at -20°C. Stable for one year after shipment. Aliquoting is unnecessary for -20oC storage. |
Background Information
BMI- 1 is one of polycomb group genes, which together with Ring1 strongly enhances the E3 ubiquitin ligase activity of the Ring2 catalytic subunit. Bmi1 plays an important role in the regulation of cell proliferation and senescence through repression of the p16Ink4a and p19Arf genes and is required for maintenance of adult hematopoietic and neural stem cells. The antibody 10832-1-AP detected proteins of 45-48kda, which may include phosphorylated isoforms of the protein.
Protocols
| Product Specific Protocols | |
|---|---|
| IF protocol for BMI1 antibody 10832-1-AP | Download protocol |
| IP protocol for BMI1 antibody 10832-1-AP | Download protocol |
| WB protocol for BMI1 antibody 10832-1-AP | Download protocol |
| Standard Protocols | |
|---|---|
| Click here to view our Standard Protocols |
Publications
| Species | Application | Title |
|---|---|---|
EMBO J A covalently bound inhibitor triggers EZH2 degradation through CHIP-mediated ubiquitination. | ||
Dev Cell ASK1-Mediated Phosphorylation Blocks HDAC6 Ubiquitination and Degradation to Drive the Disassembly of Photoreceptor Connecting Cilia.
| ||
Oncogene Autophagy regulates the cancer stem cell phenotype of head and neck squamous cell carcinoma through the noncanonical FOXO3/SOX2 axis. | ||
J Neurosci Altered histone monoubiquitylation mediated by mutant huntingtin induces transcriptional dysregulation. | ||
Int J Cancer SOX8 regulates cancer stem-like properties and cisplatin-induced EMT in tongue squamous cell carcinoma by acting on the Wnt/β-catenin pathway. | ||
Oncotarget Ascl2 activation by YAP1/KLF5 ensures the self-renewability of colon cancer progenitor cells. |




