Validation Data Gallery
Tested Applications
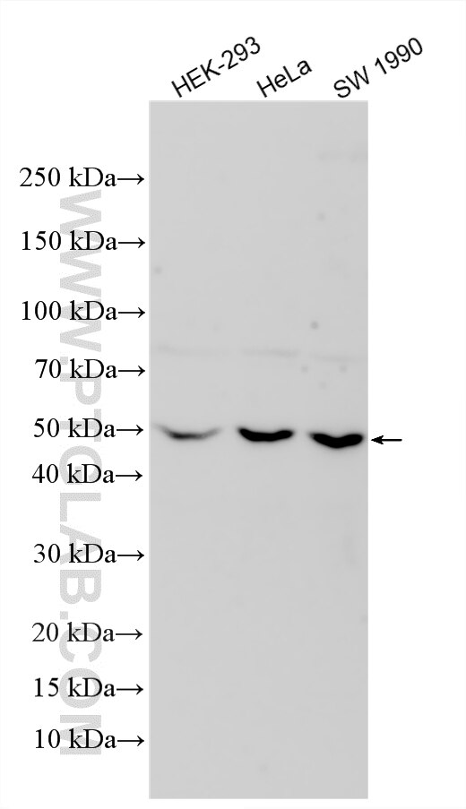
| Positive WB detected in | HEK-293 cells |
| Positive IF/ICC detected in | Caco-2 cells, HeLa cells |
Recommended dilution
| Application | Dilution |
|---|---|
| Western Blot (WB) | WB : 1:500-1:2000 |
| Immunofluorescence (IF)/ICC | IF/ICC : 1:200-1:800 |
| It is recommended that this reagent should be titrated in each testing system to obtain optimal results. | |
| Sample-dependent, Check data in validation data gallery. | |
Published Applications
| WB | See 1 publications below |
| IHC | See 1 publications below |
| IF | See 1 publications below |
Product Information
28371-1-AP targets AURKA in WB, IHC, IF/ICC, ELISA applications and shows reactivity with human samples.
| Tested Reactivity | human |
| Cited Reactivity | human |
| Host / Isotype | Rabbit / IgG |
| Class | Polyclonal |
| Type | Antibody |
| Immunogen |
CatNo: Ag29006 Product name: Recombinant human AURKA protein Source: e coli.-derived, PGEX-4T Tag: GST Domain: 1-132 aa of BC002499 Sequence: MDRSKENCISGPVKATAPVGGPKRVLVTQQFPCQNPLPVNSGQAQRVLCPSNSSQRVPLQAQKLVSSHKPVQNQKQKQLQATSVPHPVSRPLNNTQKSKQPLPSAPENNPEEELASKQKNEESKKRQWALED 相同性解析による交差性が予測される生物種 |
| Full Name | aurora kinase A |
| Calculated molecular weight | 46 kDa |
| Observed molecular weight | 45-50 kDa |
| GenBank accession number | BC002499 |
| Gene Symbol | AURKA |
| Gene ID (NCBI) | 6790 |
| RRID | AB_3086047 |
| Conjugate | Unconjugated |
| Form | |
| Form | Liquid |
| Purification Method | Antigen affinity purification |
| UNIPROT ID | O14965 |
| Storage Buffer | PBS with 0.02% sodium azide and 50% glycerol{{ptg:BufferTemp}}7.3 |
| Storage Conditions | Store at -20°C. Stable for one year after shipment. Aliquoting is unnecessary for -20oC storage. |
Background Information
AURKA(Aurora kinase A), also named as STK6, STK15 or AIK, belongs to the Ser/Thr protein kinase family. This protein may play a role in cell cycle regulation during anaphase and/or telophase by being involved in microtubule formation and/or stabilization. Some recent evidence revealed that AURKA may also be implicated in tumor development and progression. AURKA is expressed highly in testis and various proliferating cells, migrating as a 46 kDa protein in SDS PAGE.Nuclear staining for AURKA is weak or nonexistent in normal tissue but strong in tumor tissue(PMID:19107951).
Protocols
| Product Specific Protocols | |
|---|---|
| IF protocol for AURKA antibody 28371-1-AP | Download protocol |
| WB protocol for AURKA antibody 28371-1-AP | Download protocol |
| Standard Protocols | |
|---|---|
| Click here to view our Standard Protocols |



