Validation Data Gallery
Tested Applications
| Positive WB detected in | unboiled mouse lung tissue |
| Positive IP detected in | mouse lung tissue |
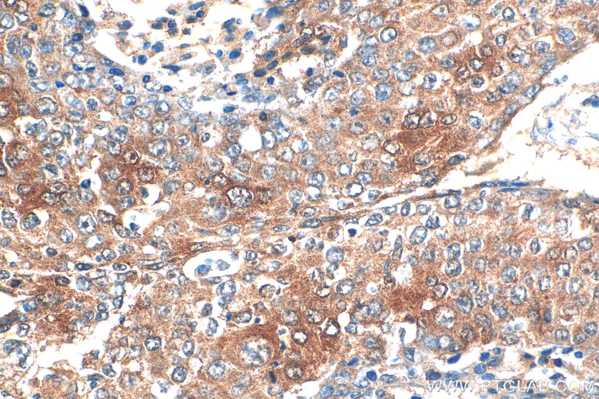
| Positive IHC detected in | human lung cancer tissue Note: suggested antigen retrieval with TE buffer pH 9.0; (*) Alternatively, antigen retrieval may be performed with citrate buffer pH 6.0 |
Recommended dilution
| Application | Dilution |
|---|---|
| Western Blot (WB) | WB : 1:500-1:1000 |
| Immunoprecipitation (IP) | IP : 0.5-4.0 ug for 1.0-3.0 mg of total protein lysate |
| Immunohistochemistry (IHC) | IHC : 1:50-1:500 |
| It is recommended that this reagent should be titrated in each testing system to obtain optimal results. | |
| Sample-dependent, Check data in validation data gallery. | |
Product Information
55375-1-AP targets ATP7A-Specific in WB, IHC, IP, ELISA applications and shows reactivity with human, mouse samples.
| Tested Reactivity | human, mouse |
| Host / Isotype | Rabbit / IgG |
| Class | Polyclonal |
| Type | Antibody |
| Immunogen |
Peptide 相同性解析による交差性が予測される生物種 |
| Full Name | ATPase, Cu++ transporting, alpha polypeptide |
| Calculated molecular weight | 165 kDa |
| Observed molecular weight | 170 kDa |
| GenBank accession number | NM_000052 |
| Gene Symbol | ATP7A |
| Gene ID (NCBI) | 538 |
| Conjugate | Unconjugated |
| Form | |
| Form | Liquid |
| Purification Method | Antigen affinity purification |
| UNIPROT ID | Q04656 |
| Storage Buffer | PBS with 0.02% sodium azide and 50% glycerol{{ptg:BufferTemp}}7.3 |
| Storage Conditions | Store at -20°C. Stable for one year after shipment. Aliquoting is unnecessary for -20oC storage. |
Background Information
ATPase copper transporting alpha(ATP7A) is a type of transmembrane P-type ATPase for copper transport. ATP7A and ATP7B are homologous genes responsible for copper transport across cell membranes. ATP7A transports copper ions from the Golgi membrane to copper-dependent enzymes (such as dopamine β-hydroxylase) in the secretory pathway. When copper ion concentrations rise, ATP7A relocalizes from the Golgi apparatus to the plasma membrane, promoting copper efflux and thereby protecting cells from copper toxicity. Mutations in ATP7A are associated with Menkes disease (MNK)( PMID: 28389643, 30341172).
Protocols
| Product Specific Protocols | |
|---|---|
| IHC protocol for ATP7A-Specific antibody 55375-1-AP | Download protocol |
| IP protocol for ATP7A-Specific antibody 55375-1-AP | Download protocol |
| WB protocol for ATP7A-Specific antibody 55375-1-AP | Download protocol |
| Standard Protocols | |
|---|---|
| Click here to view our Standard Protocols |


