Validation Data Gallery
Tested Applications
| Positive WB detected in | HepG2 cells, HeLa cells, A549 cells, Jurkat cells, MCF-7 cells, mouse kidney tissue, rat kidney tissue |
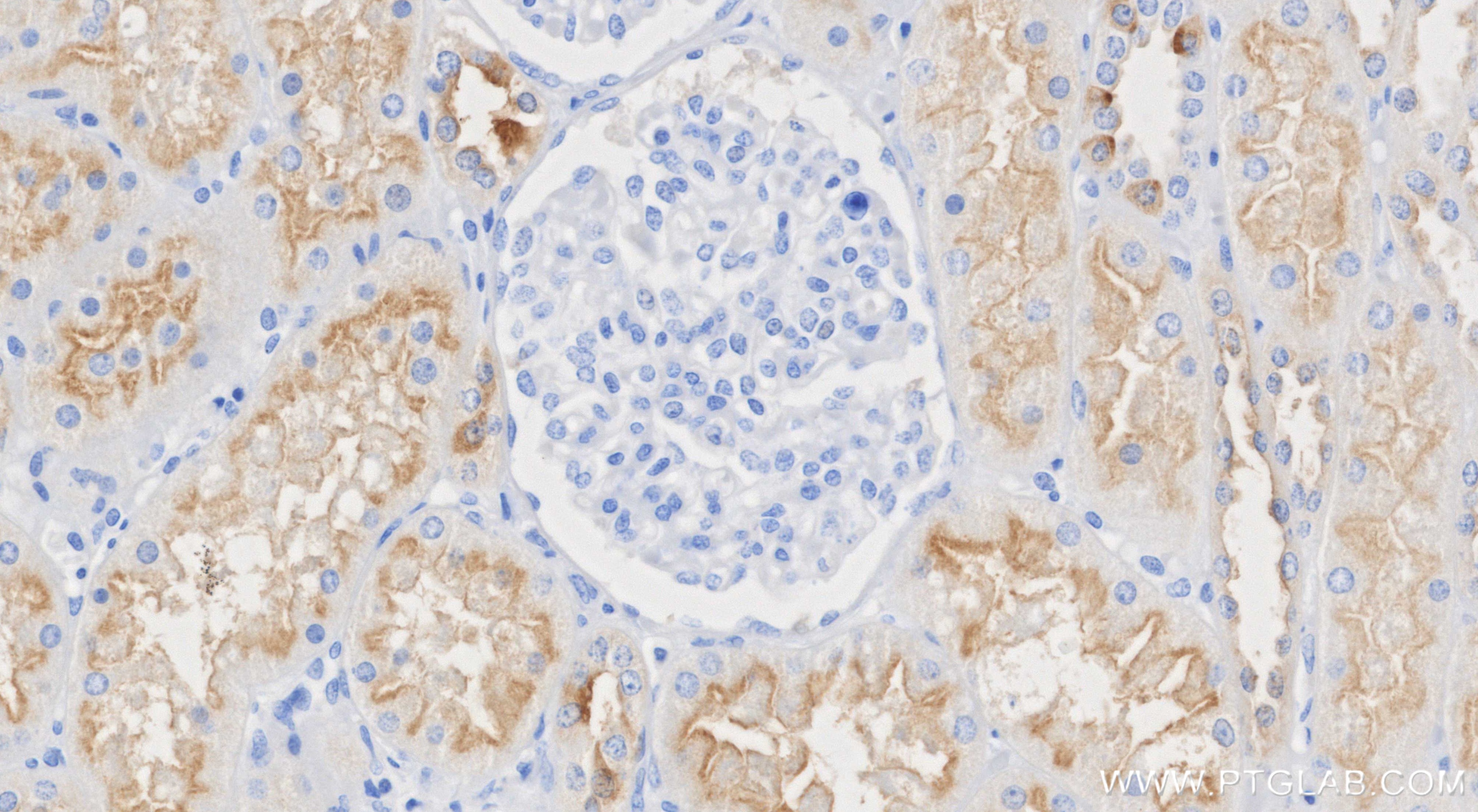
| Positive IHC detected in | human kidney tissue Note: suggested antigen retrieval with TE buffer pH 9.0; (*) Alternatively, antigen retrieval may be performed with citrate buffer pH 6.0 |
Recommended dilution
| Application | Dilution |
|---|---|
| Western Blot (WB) | WB : 1:500-1:2000 |
| Immunohistochemistry (IHC) | IHC : 1:500-1:2000 |
| It is recommended that this reagent should be titrated in each testing system to obtain optimal results. | |
| Sample-dependent, Check data in validation data gallery. | |
Product Information
87157-1-RR targets ATP6V1F in WB, IHC, ELISA applications and shows reactivity with human, mouse, rat samples.
| Tested Reactivity | human, mouse, rat |
| Host / Isotype | Rabbit / IgG |
| Class | Recombinant |
| Type | Antibody |
| Immunogen |
CatNo: Ag12121 Product name: Recombinant human ATP6V1F protein Source: e coli.-derived, PGEX-4T Tag: GST Domain: 1-119 aa of BC107854 Sequence: MAGRGKLIAVIGDEDTVTGFLLGGIGELNKNRHPNFLVVEKDTTINEIEDTFRQFLNRDDIGIILINQYIAEMVRHALDAHQQSIPAVLEIPSKEHPYDAAKDSILRRARGMFTAEDLR 相同性解析による交差性が予測される生物種 |
| Full Name | ATPase, H+ transporting, lysosomal 14kDa, V1 subunit F |
| Calculated molecular weight | 119 aa, 13 kDa |
| Observed molecular weight | 14 kDa |
| GenBank accession number | BC107854 |
| Gene Symbol | ATP6V1F |
| Gene ID (NCBI) | 9296 |
| Conjugate | Unconjugated |
| Form | |
| Form | Liquid |
| Purification Method | Protein A purification |
| UNIPROT ID | Q16864 |
| Storage Buffer | PBS with 0.02% sodium azide and 50% glycerol{{ptg:BufferTemp}}7.3 |
| Storage Conditions | Store at -20°C. Stable for one year after shipment. Aliquoting is unnecessary for -20oC storage. |
Background Information
ATP6V1F(V-type proton ATPase subunit F) is also named as ATP6S14, VATF and belongs to the V-ATPase F subunit family. It generates an electrochemical proton gradient that is acid and positive inside synaptic vesicles. ATP6V1F plays a major role as energizers of animal plasma membranes, especially apical plasma membranes of epithelial cells. This protein has 2 isoforms produced by alternative splicing with the molecular weight of 14 kDa and 16 kDa.
Protocols
| Product Specific Protocols | |
|---|---|
| IHC protocol for ATP6V1F antibody 87157-1-RR | Download protocol |
| WB protocol for ATP6V1F antibody 87157-1-RR | Download protocol |
| Standard Protocols | |
|---|---|
| Click here to view our Standard Protocols |


