Validation Data Gallery
Tested Applications
| Positive WB detected in | A549 cells, LNCaP cells, HeLa cells, HEK-293 cells, Jurkat cells, K-562 cells, HSC-T6 cells, NIH/3T3 cells, 4T1 cells |
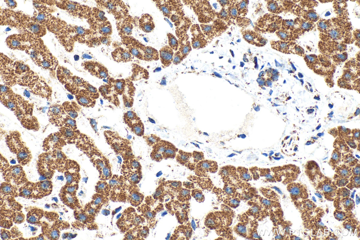
| Positive IHC detected in | human liver tissue Note: suggested antigen retrieval with TE buffer pH 9.0; (*) Alternatively, antigen retrieval may be performed with citrate buffer pH 6.0 |
| Positive IF/ICC detected in | HeLa cells |
Recommended dilution
| Application | Dilution |
|---|---|
| Western Blot (WB) | WB : 1:5000-1:50000 |
| Immunohistochemistry (IHC) | IHC : 1:1000-1:4000 |
| Immunofluorescence (IF)/ICC | IF/ICC : 1:200-1:800 |
| It is recommended that this reagent should be titrated in each testing system to obtain optimal results. | |
| Sample-dependent, Check data in validation data gallery. | |
Product Information
68304-1-Ig targets ATP5F1 in WB, IHC, IF/ICC, ELISA applications and shows reactivity with human, mouse, rat samples.
| Tested Reactivity | human, mouse, rat |
| Host / Isotype | Mouse / IgG1 |
| Class | Monoclonal |
| Type | Antibody |
| Immunogen |
CatNo: Ag8571 Product name: Recombinant human ATP5F1 protein Source: e coli.-derived, PET28a Tag: 6*His Domain: 1-256 aa of BC005366 Sequence: MLSRVVLSAAATAAPSLKNAAFLGPGVLQATRTFHTGQPHLVPVPPLPEYGGKVRYGLIPEEFFQFLYPKTGVTGPYVLGTGLILYALSKEIYVISAETFTALSVLGVMVYGIKKYGPFVADFADKLNEQKLAQLEEAKQASIQHIQNAIDTEKSQQALVQKRHYLFDVQRNNIAMALEVTYRERLYRVYKEVKNRLDYHISVQNMMRRKEQEHMINWVEKHVVQSISTQQEKETIAKCIADLKLLAKKAQAQPVM 相同性解析による交差性が予測される生物種 |
| Full Name | ATP synthase, H+ transporting, mitochondrial F0 complex, subunit B1 |
| Calculated molecular weight | 256 aa, 29 kDa |
| Observed molecular weight | 25-30 kDa |
| GenBank accession number | BC005366 |
| Gene Symbol | ATP5F1 |
| Gene ID (NCBI) | 515 |
| RRID | AB_2935383 |
| Conjugate | Unconjugated |
| Form | |
| Form | Liquid |
| Purification Method | Protein G purification |
| UNIPROT ID | P24539 |
| Storage Buffer | PBS with 0.02% sodium azide and 50% glycerol{{ptg:BufferTemp}}7.3 |
| Storage Conditions | Store at -20°C. Stable for one year after shipment. Aliquoting is unnecessary for -20oC storage. |
Background Information
ATP5F1(ATP synthase subunit b) belongs to the eukaryotic ATPase B chain family. The ATP5F1 gene encodes subunit B of the mitochondrial ATP synthase Fo unit, which contains 214-amino acid with a 42-amino acid import signal(PMID:1831354). Mitochondrial membrane ATP synthase(F1F0 ATP synthase or Complex V) produces ATP from ADP in the presence of a proton gradient across the membrane which is generated by electron transport complexes of the respiratory chain.
Protocols
| Product Specific Protocols | |
|---|---|
| IF protocol for ATP5F1 antibody 68304-1-Ig | Download protocol |
| IHC protocol for ATP5F1 antibody 68304-1-Ig | Download protocol |
| WB protocol for ATP5F1 antibody 68304-1-Ig | Download protocol |
| Standard Protocols | |
|---|---|
| Click here to view our Standard Protocols |


