Validation Data Gallery
Tested Applications
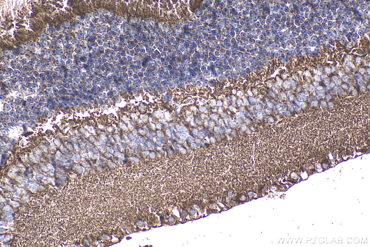
| Positive IHC detected in | mouse eye tissue Note: suggested antigen retrieval with TE buffer pH 9.0; (*) Alternatively, antigen retrieval may be performed with citrate buffer pH 6.0 |
Recommended dilution
| Application | Dilution |
|---|---|
| Immunohistochemistry (IHC) | IHC : 1:50-1:500 |
| It is recommended that this reagent should be titrated in each testing system to obtain optimal results. | |
| Sample-dependent, Check data in validation data gallery. | |
Product Information
33334-1-AP targets ARMS2 in IHC, ELISA applications and shows reactivity with human, mouse samples.
| Tested Reactivity | human, mouse |
| Host / Isotype | Rabbit / IgG |
| Class | Polyclonal |
| Type | Antibody |
| Immunogen |
CatNo: Ag37837 Product name: Recombinant human ARMS2 protein Source: e coli.-derived, PGEX-4T Tag: GST Domain: 1-107 aa of NM_001099667 Sequence: MLRLYPGPMVTEAEGKGGPEMASLSSSVVPVSFISTLRESVLDPGVGGEGASDKQRSKLSLSHSMIPAAKIHTELCLPAFFSPAGTQRRFQQPQHHLTLSIIHTAAR 相同性解析による交差性が予測される生物種 |
| Full Name | age-related maculopathy susceptibility 2 |
| Calculated molecular weight | 107aa, 11 kDa |
| GenBank accession number | NM_001099667 |
| Gene Symbol | ARMS2 |
| Gene ID (NCBI) | 387715 |
| Conjugate | Unconjugated |
| Form | |
| Form | Liquid |
| Purification Method | Antigen affinity Purification |
| UNIPROT ID | P0C7Q2 |
| Storage Buffer | PBS with 0.02% sodium azide and 50% glycerol{{ptg:BufferTemp}}7.3 |
| Storage Conditions | Store at -20°C. Stable for one year after shipment. Aliquoting is unnecessary for -20oC storage. |
Background Information
Age-related maculopathy susceptibility 2 (ARMS2) is a small (11 kDa), primate-specific protein found in the extracellular matrix of the choroid layer in the eye. Variants in the corresponding genetic locus are highly associated with age-related macular degeneration, a leading cause of blindness in the elderly (PMID: 27270414).
Protocols
| Product Specific Protocols | |
|---|---|
| IHC protocol for ARMS2 antibody 33334-1-AP | Download protocol |
| Standard Protocols | |
|---|---|
| Click here to view our Standard Protocols |

