Validation Data Gallery
Tested Applications
| Positive WB detected in | MCF-7 cells, HCT 116 cells, HUVEC cells, SW480 cells, HeLa cells, RAW 264.7 cells |
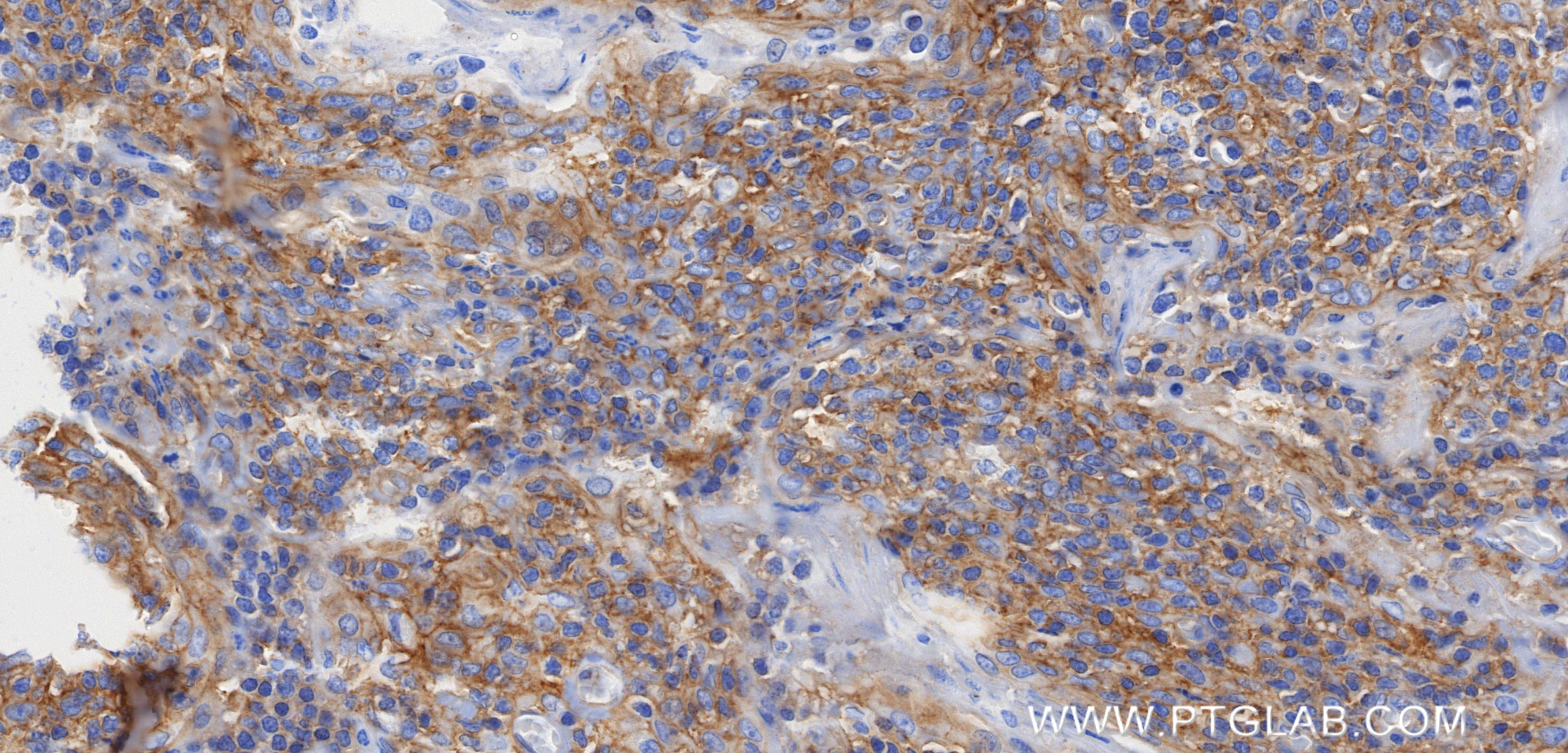
| Positive IHC detected in | human rectal cancer tissue, human tonsil tissue Note: suggested antigen retrieval with TE buffer pH 9.0; (*) Alternatively, antigen retrieval may be performed with citrate buffer pH 6.0 |
| Positive FC (Intra) detected in | HCT 116 cells |
Recommended dilution
| Application | Dilution |
|---|---|
| Western Blot (WB) | WB : 1:2000-1:10000 |
| Immunohistochemistry (IHC) | IHC : 1:250-1:1000 |
| Flow Cytometry (FC) (INTRA) | FC (INTRA) : 0.25 ug per 10^6 cells in a 100 µl suspension |
| It is recommended that this reagent should be titrated in each testing system to obtain optimal results. | |
| Sample-dependent, Check data in validation data gallery. | |
Product Information
84292-4-RR targets ADAM17 in WB, IHC, FC (Intra), ELISA applications and shows reactivity with human, mouse samples.
| Tested Reactivity | human, mouse |
| Host / Isotype | Rabbit / IgG |
| Class | Recombinant |
| Type | Antibody |
| Immunogen |
CatNo: Ag32418 Product name: Recombinant human ADAM17 protein Source: e coli.-derived, PGEX-4T Tag: GST Domain: 693-824 aa of BC136783 Sequence: CVDKKLDKQYESLSLFHPSNVEMLSSMDSASVRIIKPFPAPQTPGRLQPAPVIPSAPAAPKLDHQRMDTIQEDPSTDSHMDEDGFEKDPFPNSSTAAKSFEDLTDHPVTRSEKAASFKLQRQNRVDSKETEC 相同性解析による交差性が予測される生物種 |
| Full Name | ADAM metallopeptidase domain 17 |
| Calculated molecular weight | 824 aa, 93 kDa |
| Observed molecular weight | 100-130 kDa |
| GenBank accession number | BC136783 |
| Gene Symbol | ADAM17 |
| Gene ID (NCBI) | 6868 |
| RRID | AB_3671836 |
| Conjugate | Unconjugated |
| Form | |
| Form | Liquid |
| Purification Method | Protein A purfication |
| UNIPROT ID | P78536 |
| Storage Buffer | PBS with 0.02% sodium azide and 50% glycerol{{ptg:BufferTemp}}7.3 |
| Storage Conditions | Store at -20°C. Stable for one year after shipment. Aliquoting is unnecessary for -20oC storage. |
Background Information
The ADAMs (A Disintegrin And Metalloprotease) are multidomain transmembrane proteins. One of the first ADAMs implicated in membrane shedding is ADAM-17, which is shown to release the active form of tumor necrosis factor (TNF)-a from its precursor (PMID:18238782). ADAM17 is also named as CSVP, TACE. The full length protein has 9 glycosylation sites, a signal peptide, propeptide and 2 isoforms produced by alternative splicing.The 120-kDa form of ADAM-17 is expressed more frequently and at higher levels in primary breast carcinomas compared with normal breast tissue(PMID:17438092).
Protocols
| Product Specific Protocols | |
|---|---|
| FC protocol for ADAM17 antibody 84292-4-RR | Download protocol |
| IHC protocol for ADAM17 antibody 84292-4-RR | Download protocol |
| WB protocol for ADAM17 antibody 84292-4-RR | Download protocol |
| Standard Protocols | |
|---|---|
| Click here to view our Standard Protocols |




