Validation Data Gallery
Tested Applications
| Positive WB detected in | L02 cells, U-87 MG cells, HEK-293 cells, HepG2 cells, RT-4 cells |
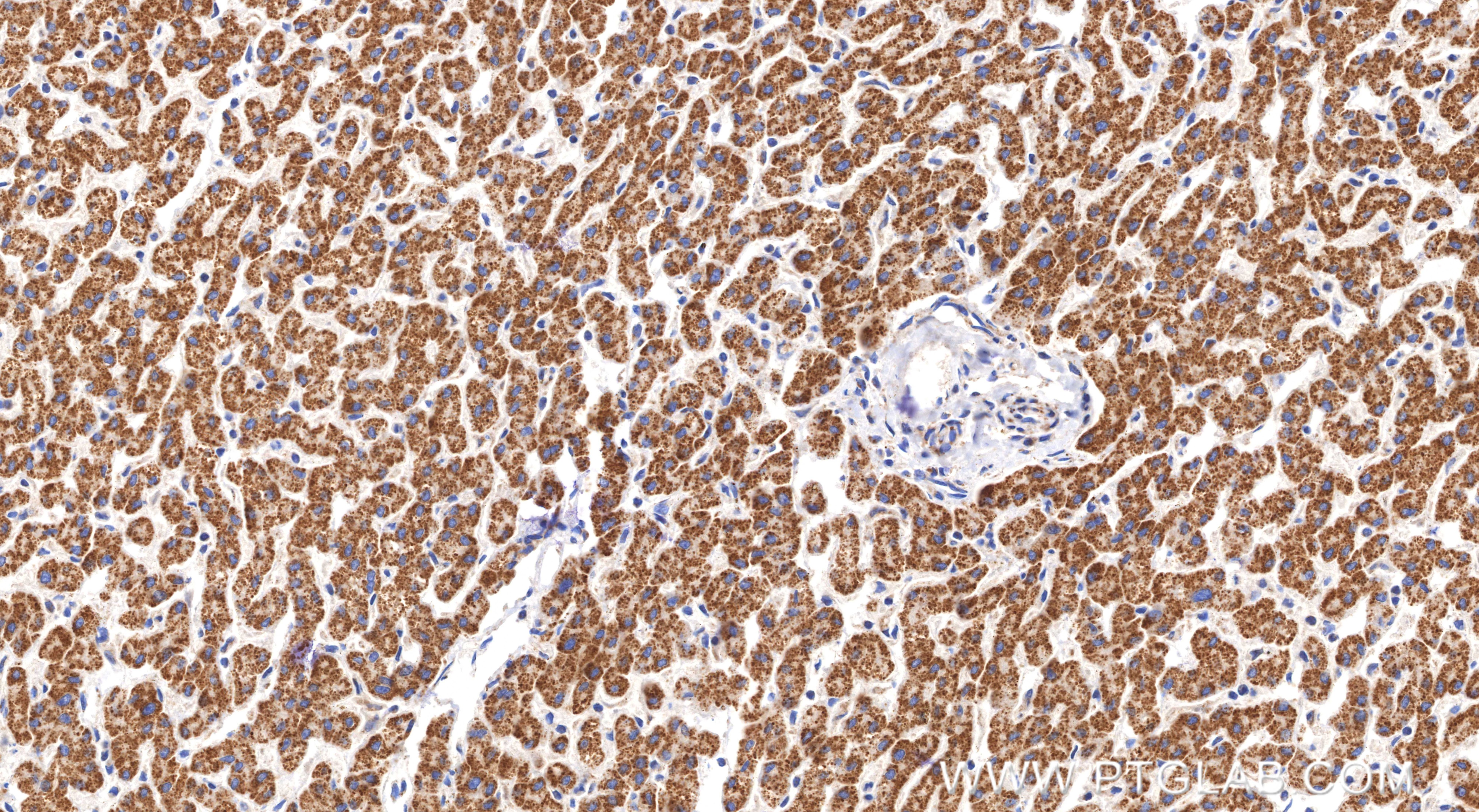
| Positive IHC detected in | human liver tissue Note: suggested antigen retrieval with TE buffer pH 9.0; (*) Alternatively, antigen retrieval may be performed with citrate buffer pH 6.0 |
| Positive IF/ICC detected in | HepG2 cells |
Recommended dilution
| Application | Dilution |
|---|---|
| Western Blot (WB) | WB : 1:2000-1:10000 |
| Immunohistochemistry (IHC) | IHC : 1:500-1:2000 |
| Immunofluorescence (IF)/ICC | IF/ICC : 1:200-1:500 |
| It is recommended that this reagent should be titrated in each testing system to obtain optimal results. | |
| Sample-dependent, Check data in validation data gallery. | |
Product Information
82122-5-RR targets ACOT1/2 in WB, IHC, IF/ICC, ELISA applications and shows reactivity with human samples.
| Tested Reactivity | human |
| Host / Isotype | Rabbit / IgG |
| Class | Recombinant |
| Type | Antibody |
| Immunogen |
CatNo: Ag8093 Product name: Recombinant human ACOT2 protein Source: e coli.-derived, PGEX-4T Tag: GST Domain: 222-483 aa of BC006335 Sequence: IVDMFGTGGGLLEYRASLLAGKGFAVMALAYYNYEDLPKTMETLHLEYFEEAMNYLLSHPEVKGPGVGLLGISKGGELCLSMASFLKGITAAVVINGSVANVGGTLRYKGETLPPVGVNRNRIKVTKDGYADIVDVLNSPLEGPDQKSFIPVERAESTFLFLVGQDDHNWKSEFYANEACKRLQAHGRRKPQIICYPETGHYIEPPYFPLCRASLHALVGSPIIWGGEPRAHVMAQVDAWKQLQTFFHKHLGGHEGTIPSKV 相同性解析による交差性が予測される生物種 |
| Full Name | acyl-CoA thioesterase 2 |
| Calculated molecular weight | 483 aa, 53 kDa |
| Observed molecular weight | 46-53 kDa |
| GenBank accession number | BC006335 |
| Gene Symbol | ACOT2 |
| Gene ID (NCBI) | 10965 |
| Conjugate | Unconjugated |
| Form | |
| Form | Liquid |
| Purification Method | Protein A purification |
| UNIPROT ID | P49753 |
| Storage Buffer | PBS with 0.02% sodium azide and 50% glycerol{{ptg:BufferTemp}}7.3 |
| Storage Conditions | Store at -20°C. Stable for one year after shipment. Aliquoting is unnecessary for -20oC storage. |
Background Information
Acyl-CoA thioesterase (Acot)2 localizes to the mitochondrial matrix and hydrolyses long-chain fatty acyl-CoA into free FA and CoASH. Acot2 is expressed in highly oxidative tissues and is poised to modulate mitochondrial FA oxidation (FAO) (PMID: 25114170). The structure of ACOT2 consists of two domains, N and C domains, and the active site of ACOT2 is located at the interface between the N and C domains (PMID: 19497300). ACOT2 shares 98% homology with ACOT1, and this antibody can detect both ACOT1 and ACOT2.
Protocols
| Product Specific Protocols | |
|---|---|
| IF protocol for ACOT1/2 antibody 82122-5-RR | Download protocol |
| IHC protocol for ACOT1/2 antibody 82122-5-RR | Download protocol |
| WB protocol for ACOT1/2 antibody 82122-5-RR | Download protocol |
| Standard Protocols | |
|---|---|
| Click here to view our Standard Protocols |



