Validation Data Gallery
Tested Applications
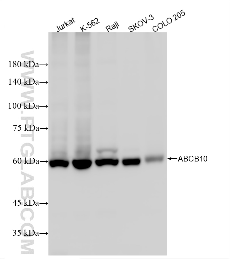
| Positive WB detected in | Jurkat cells, K-562 cells, Raji cells, SKOV-3 cells, COLO 205 cells |
Recommended dilution
| Application | Dilution |
|---|---|
| Western Blot (WB) | WB : 1:1000-1:6000 |
| It is recommended that this reagent should be titrated in each testing system to obtain optimal results. | |
| Sample-dependent, Check data in validation data gallery. | |
Product Information
86853-1-RR targets ABCB10 in WB, ELISA applications and shows reactivity with human samples.
| Tested Reactivity | human |
| Host / Isotype | Rabbit / IgG |
| Class | Recombinant |
| Type | Antibody |
| Immunogen |
CatNo: Ag6203 Product name: Recombinant human ABCB10 protein Source: e coli.-derived, PGEX-4T Tag: GST Domain: 452-738 aa of BC064930 Sequence: YSELMKGLGAGGRLWELLEREPKLPFNEGVILNEKSFQGALEFKNVHFAYPARPEVPIFQDFSLSIPSGSVTALVGPSGSGKSTVLSLLLRLYDPASGTISLDGHDIRQLNPVWLRSKIGTVSQEPILFSCSIAENIAYGADDPSSVTAEEIQRVAEVANAVAFIRNFPQGFNTVVGEKGVLLSGGQKQRIAIARALLKNPKILLLDEATSALDAENEYLVQEALDRLMDGRTVLVIAHRLSTIKNANMVAVLDQGKITEYGKHEELLSKPNGIYRKLMNKQSFISA 相同性解析による交差性が予測される生物種 |
| Full Name | ATP-binding cassette, sub-family B (MDR/TAP), member 10 |
| Calculated molecular weight | 79 kDa |
| Observed molecular weight | 60 kDa |
| GenBank accession number | BC064930 |
| Gene Symbol | ABCB10 |
| Gene ID (NCBI) | 23456 |
| Conjugate | Unconjugated |
| Form | |
| Form | Liquid |
| Purification Method | Protein A purification |
| UNIPROT ID | Q9NRK6 |
| Storage Buffer | PBS with 0.02% sodium azide and 50% glycerol{{ptg:BufferTemp}}7.3 |
| Storage Conditions | Store at -20°C. Stable for one year after shipment. Aliquoting is unnecessary for -20oC storage. |
Background Information
ABCB10 (also known as ABC-me or M-ABC2) is an inner-mitochondrial-membrane ATP-binding cassette transporter that forms homodimers with its nucleotide-binding domain facing the matrix. ABCB10 is now recognized as a multifunctional protein that couples mitochondrial export activity to cellular antioxidant defence. During red-cell development it stabilises the iron importer mitoferrin-1 (Mfrn1), thereby sustaining heme synthesis, whereas in cardiac and other non-erythroid tissues it attenuates oxidative damage by limiting mitochondrial ROS accumulation. PMID: 22884976
Protocols
| Product Specific Protocols | |
|---|---|
| WB protocol for ABCB10 antibody 86853-1-RR | Download protocol |
| Standard Protocols | |
|---|---|
| Click here to view our Standard Protocols |
