Validation Data Gallery
Tested Applications
| Positive WB detected in | HEK-293T cells, MCF-7 cells, Jurkat cells, HeLa cells |
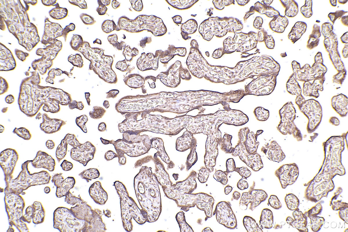
| Positive IHC detected in | human placenta tissue, human lung cancer tissue Note: suggested antigen retrieval with TE buffer pH 9.0; (*) Alternatively, antigen retrieval may be performed with citrate buffer pH 6.0 |
| Positive IF/ICC detected in | MCF-7 cells, HeLa cells |
Recommended dilution
| Application | Dilution |
|---|---|
| Western Blot (WB) | WB : 1:5000-1:20000 |
| Immunohistochemistry (IHC) | IHC : 1:500-1:2000 |
| Immunofluorescence (IF)/ICC | IF/ICC : 1:200-1:800 |
| It is recommended that this reagent should be titrated in each testing system to obtain optimal results. | |
| Sample-dependent, Check data in validation data gallery. | |
Product Information
26550-1-AP targets 53BP2 in WB, IHC, IF/ICC, ELISA applications and shows reactivity with human samples.
| Tested Reactivity | human |
| Host / Isotype | Rabbit / IgG |
| Class | Polyclonal |
| Type | Antibody |
| Immunogen |
CatNo: Ag24907 Product name: Recombinant human TP53BP2 protein Source: e coli.-derived, PGEX-4T Tag: GST Domain: 273-519 aa of BC040247 Sequence: SSTMPRMPSRPELLVKPALPDGSLVIQASEGPMKIQTLPNMRSGAASQTKGSKIHPVGPDWSPSNADLFPSQGSASVPQSTGNALDQVDDGEVPLREKEKKVRPFSMFDAVDQSNAPPSFGTLRKNQSSEDILRDAQVANKNVAKVPPPVPTKPKQINLPYFGQTNQPPSDIKPDGSSQQLSTVVPSMGTKPKPAGQQPRVLLSPSIPSVGQDQTLSPGSKQESPPAAAVRPFTPQPSKDTLLPPFR 相同性解析による交差性が予測される生物種 |
| Full Name | tumor protein p53 binding protein, 2 |
| Observed molecular weight | 150 kDa |
| GenBank accession number | BC040247 |
| Gene Symbol | TP53BP2 |
| Gene ID (NCBI) | 7159 |
| RRID | AB_2880549 |
| Conjugate | Unconjugated |
| Form | |
| Form | Liquid |
| Purification Method | Antigen affinity purification |
| UNIPROT ID | Q13625 |
| Storage Buffer | PBS with 0.02% sodium azide and 50% glycerol{{ptg:BufferTemp}}7.3 |
| Storage Conditions | Store at -20°C. Stable for one year after shipment. Aliquoting is unnecessary for -20oC storage. |
Background Information
TP53BP2 is also named as ASPP2, BBP and 53BP2. TP53BP2 is a regulator that plays a central role in regulation of apoptosis and cell growth via its interactions with proteins such as TP53 (PMID: 12524540). Numerous in vitro and animal experiments have shown that reduced TP53BP2 expression can inhibit apoptosis of tumor cells, cause malignant proliferation, disrupt cell polarity, promote cell migration, and enhance autophagy and drug resistance to chemotherapy (PMID: 37492707). In terms of autophagy, the decrease of TP53BP2 expression enhances autophagy in hepatocellular carcinoma (HCC) cells, promoting the survival and drug resistance of HCC cells. TP53BP2 can interact with p53, NF-κB p65, Bcl-2, HCV core protein, PP1, YAP, CagA, RAS, PAR3, and other proteins to regulate cell function. TP53BP2 can also regulate the proliferation, apoptosis, autophagy, migration, EMT and drug resistance of tumor cells through downstream signaling pathways, such as NF-κB, RAS/MAPK, mevalonate, TGF-β1, PI3K/AKT, aPKC-ι/GLI1 and autophagy pathways (PMID: 37492707).
Protocols
| Product Specific Protocols | |
|---|---|
| IF protocol for 53BP2 antibody 26550-1-AP | Download protocol |
| IHC protocol for 53BP2 antibody 26550-1-AP | Download protocol |
| WB protocol for 53BP2 antibody 26550-1-AP | Download protocol |
| Standard Protocols | |
|---|---|
| Click here to view our Standard Protocols |





