Validation Data Gallery
Tested Applications
Recommended dilution
| Application | Dilution |
|---|---|
| It is recommended that this reagent should be titrated in each testing system to obtain optimal results. | |
Product Information
86580-1-PBS targets Syntaxin 8 as part of a matched antibody pair:
MP02538-1: 86580-2-PBS capture and 86580-1-PBS detection (validated in Cytometric bead array)
Unconjugated rabbit recombinant monoclonal antibody in PBS only (BSA and azide free) storage buffer at a concentration of 1 mg/mL, ready for conjugation. Created using Proteintech’s proprietary in-house recombinant technology. Recombinant production enables unrivalled batch-to-batch consistency, easy scale-up, and future security of supply.
This conjugation ready format makes antibodies ideal for use in many applications including: ELISAs, multiplex assays requiring matched pairs, mass cytometry, and multiplex imaging applications.Antibody use should be optimized by the end user for each application and assay.
| Tested Reactivity | human, mouse, rat |
| Host / Isotype | Rabbit / IgG |
| Class | Recombinant |
| Type | Antibody |
| Immunogen |
CatNo: Ag2850 Product name: Recombinant human STX8 protein Source: e coli.-derived, PGEX-4T Tag: GST Domain: 1-211 aa of BC009713 Sequence: MAPDPWFSTYDSTCQIAQEIAEKIQQRNQYERKGEKAPKLTVTIRALLQNLKEKIALLKDLLLRAVSTHQITQLEGDRRQNLLDDLVTRERLLLASFKNEGAEPDLIRSSLMSEEAKRGAPNPWLFEEPEETRGLGFDEIRQQQQKIIQEQDAGLDALSSIISRQKQMGQEIGNELDEQNEIIDDLANLVENTDEKLRNETRRVNMVDRKS 相同性解析による交差性が予測される生物種 |
| Full Name | syntaxin 8 |
| Calculated molecular weight | 236 aa, 27 kDa |
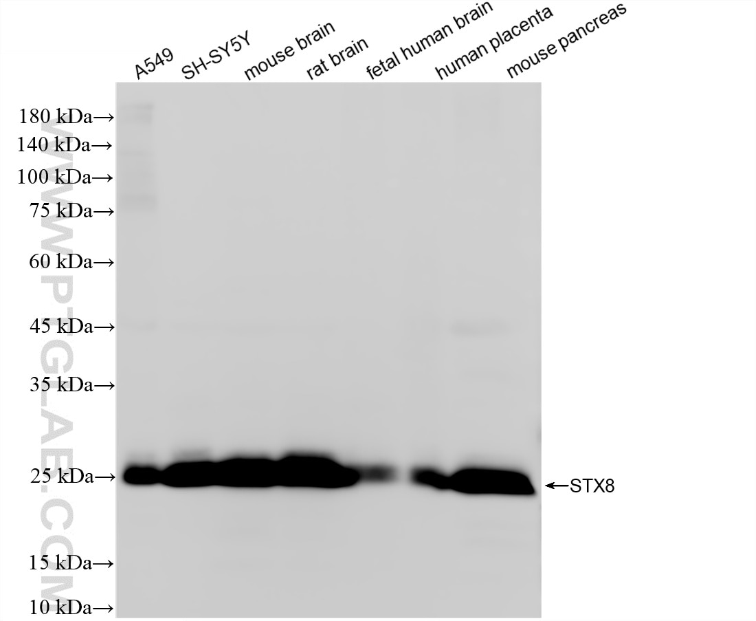
| Observed molecular weight | 25 kDa |
| GenBank accession number | BC009713 |
| Gene Symbol | Syntaxin 8 |
| Gene ID (NCBI) | 9482 |
| Conjugate | Unconjugated |
| Form | |
| Form | Liquid |
| Purification Method | Protein A purification |
| UNIPROT ID | Q9UNK0 |
| Storage Buffer | PBS only{{ptg:BufferTemp}}7.3 |
| Storage Conditions | Store at -80°C. |
Background Information
Syntaxin 8 (STX8), also known as CIP-1-associated regulator of cyclin B (CARB ), is a protein belonging to the syntaxin family. The gene of STX8 maps to chromosomal band 17p12 and it encodes a 236-amino-acid protein containing 1 t-SNARE coiled-coil homology domain. STX8 mRNA is broadly expressed in multiple human tissues, including the heart, brain, kidney, liver, lung, placenta, skeletal muscle, spleen, and pancreas (PMID: 10198254). STX8 is involved in protein trafficking from early to late endosomes via vesicle fusion and exocytosis.



