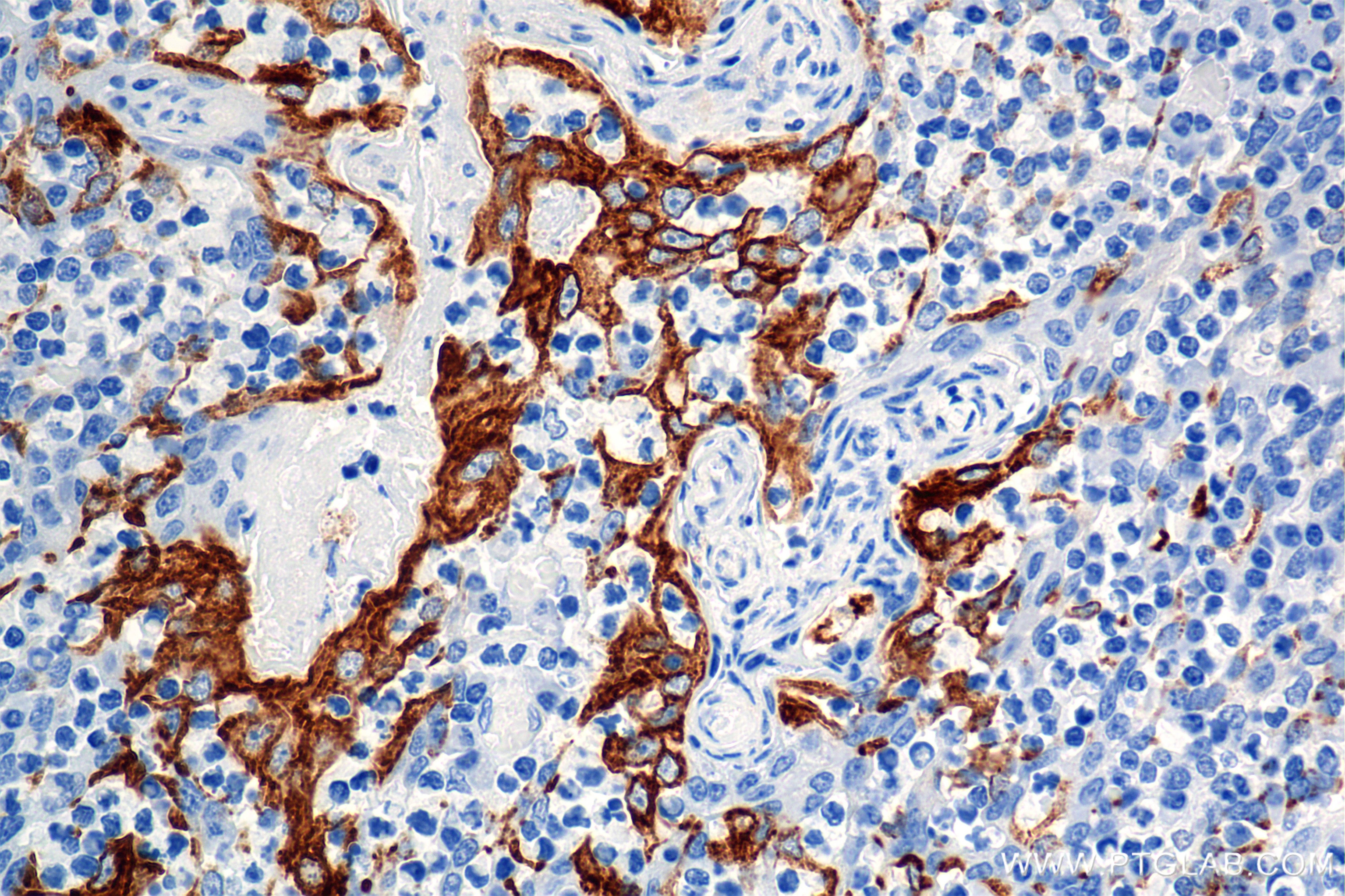
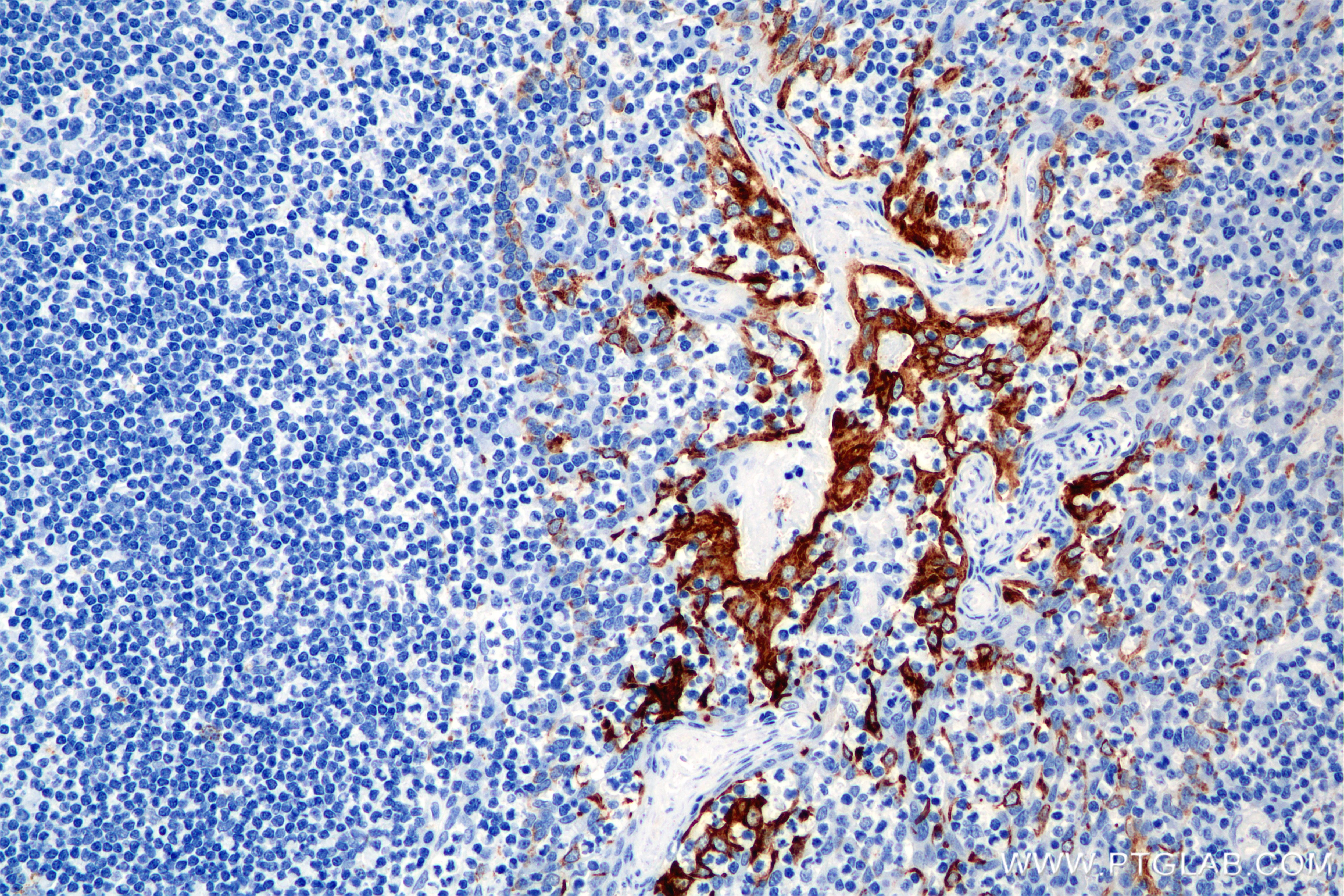
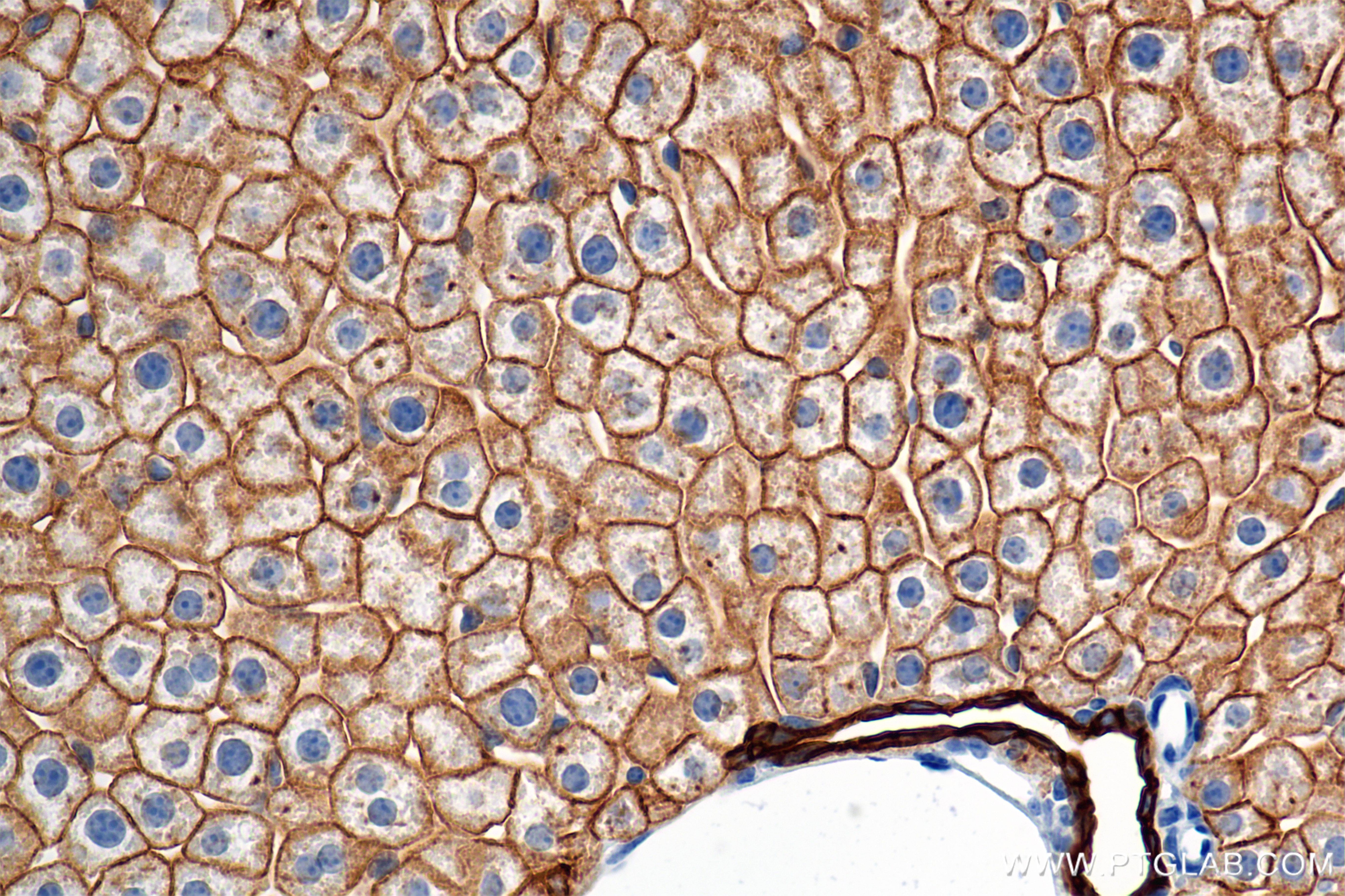
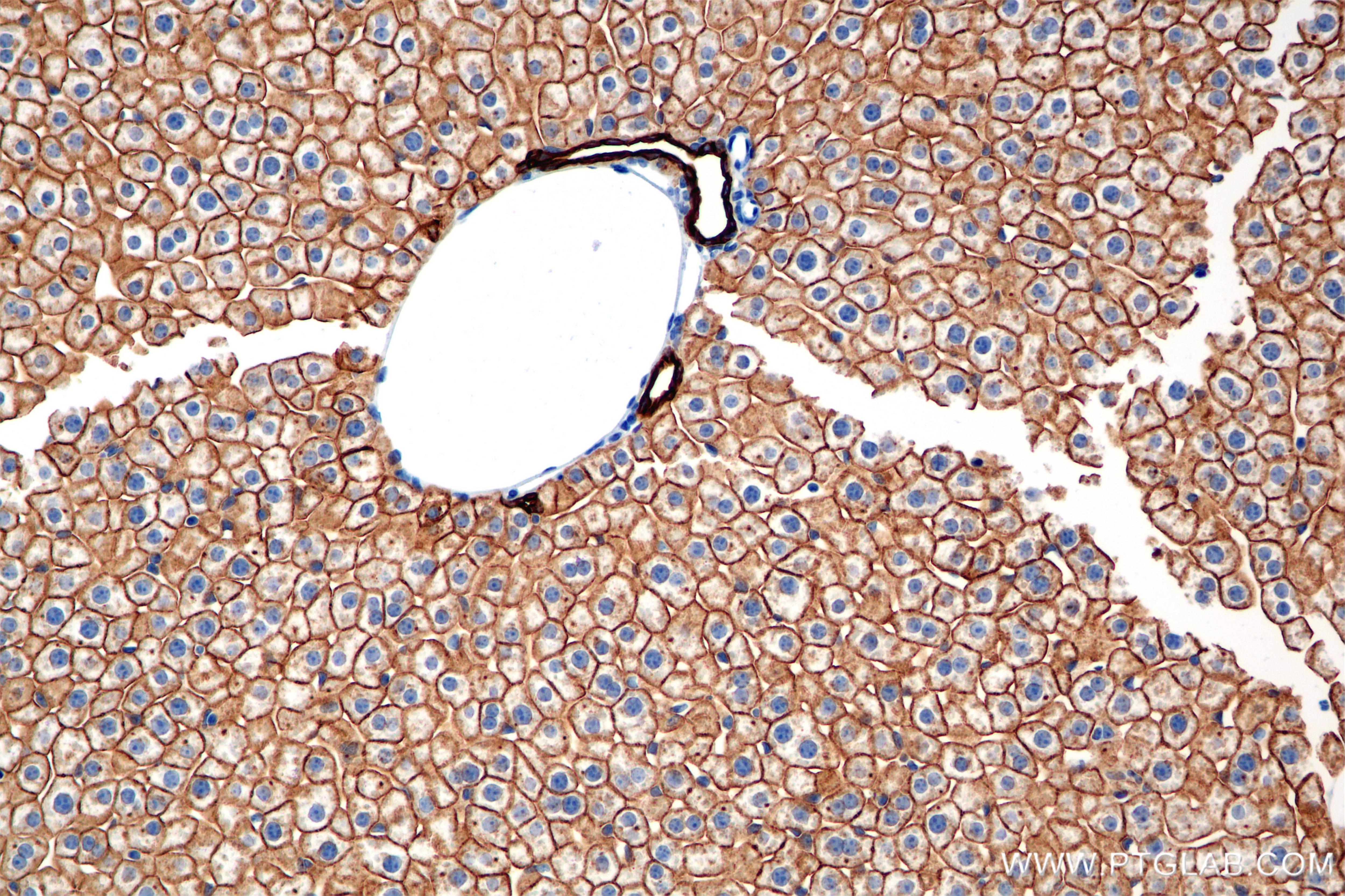
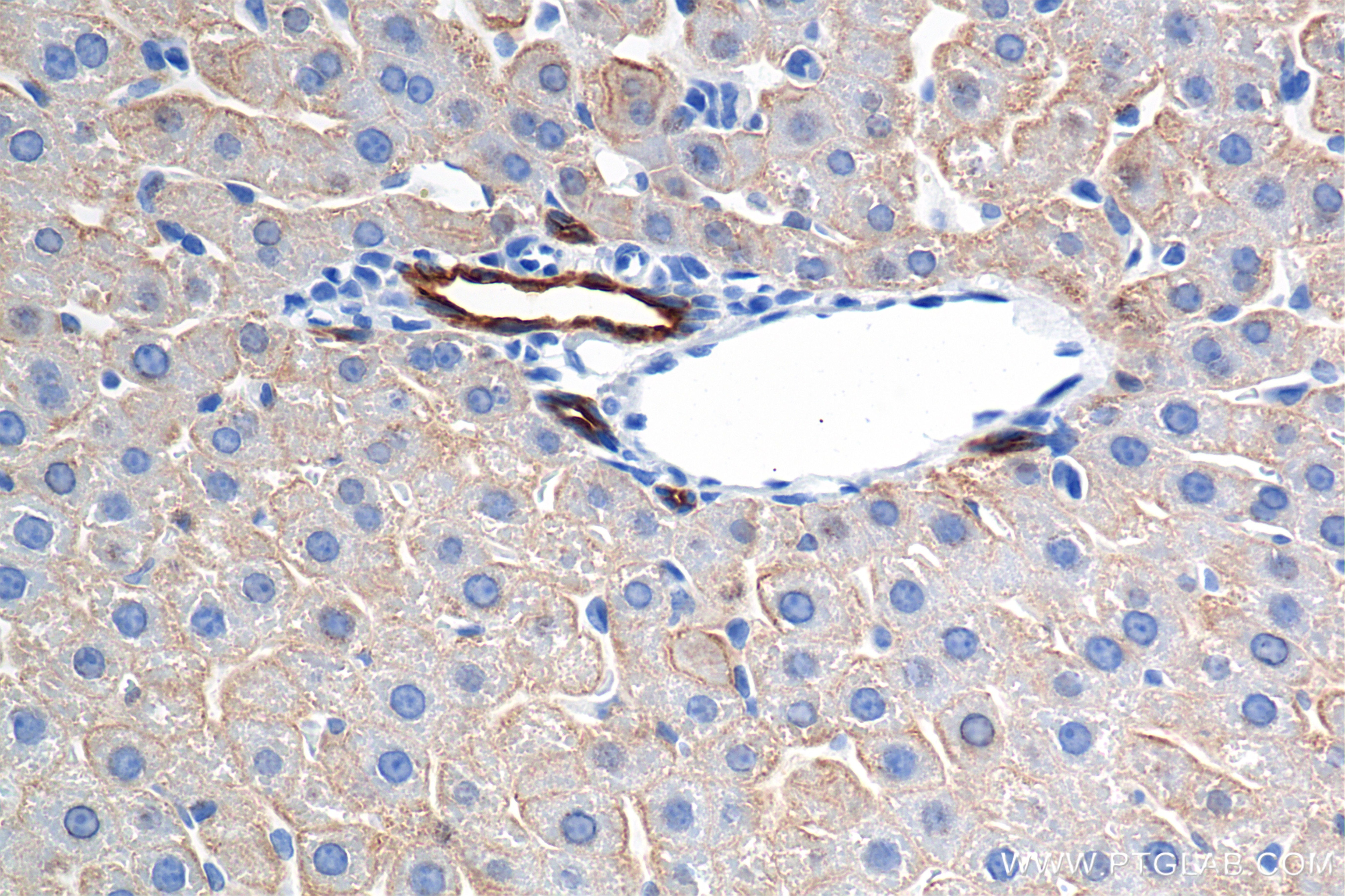
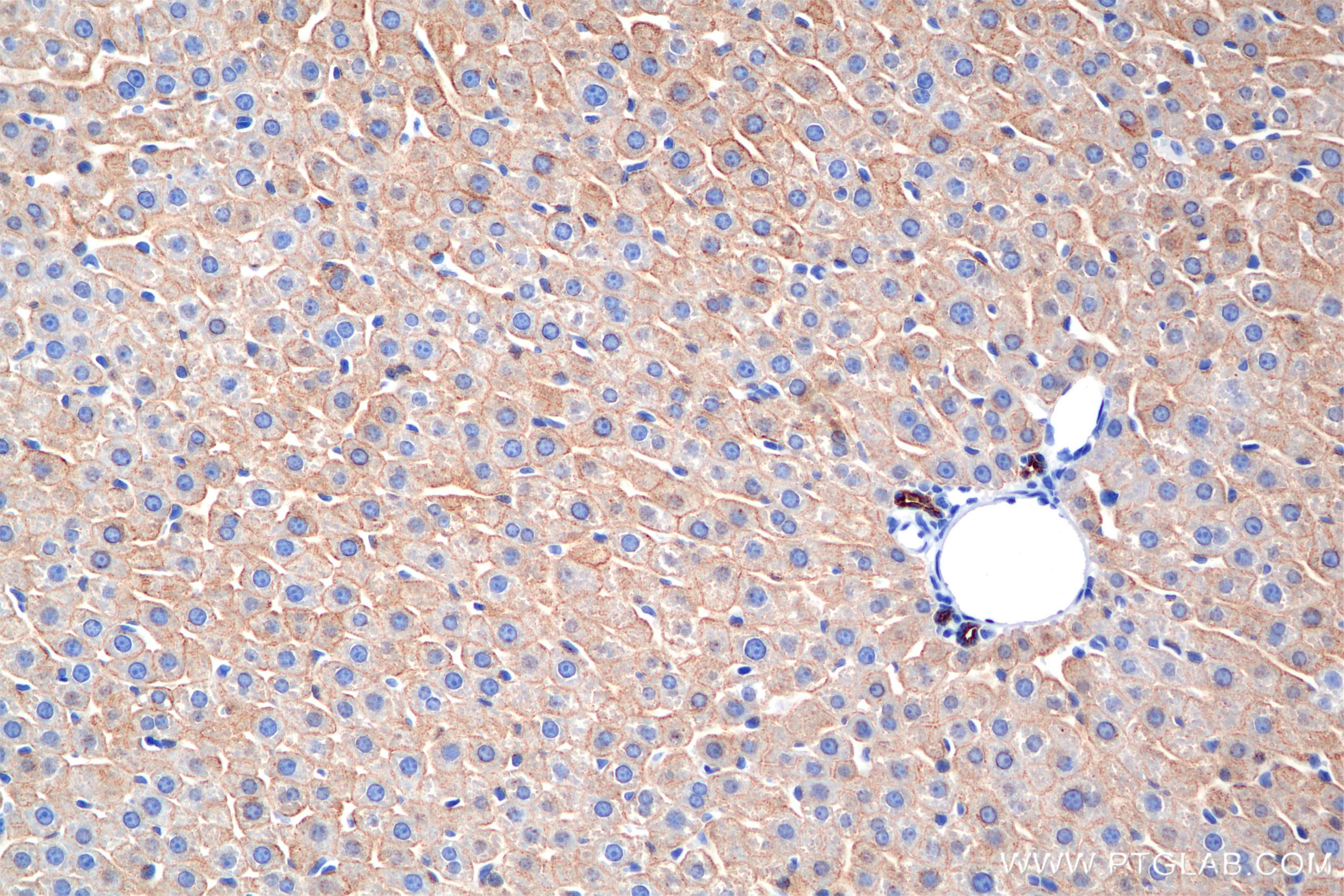
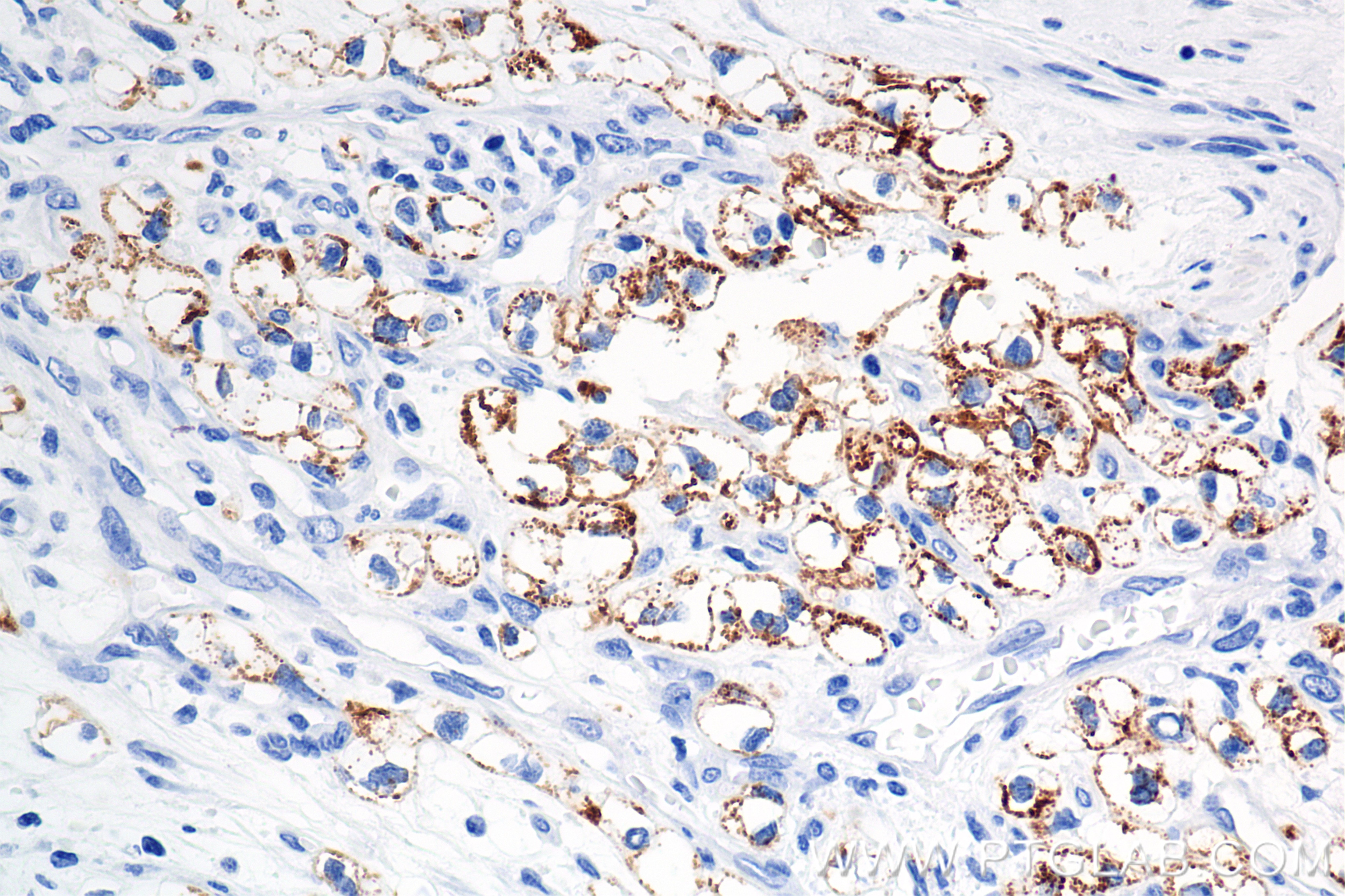
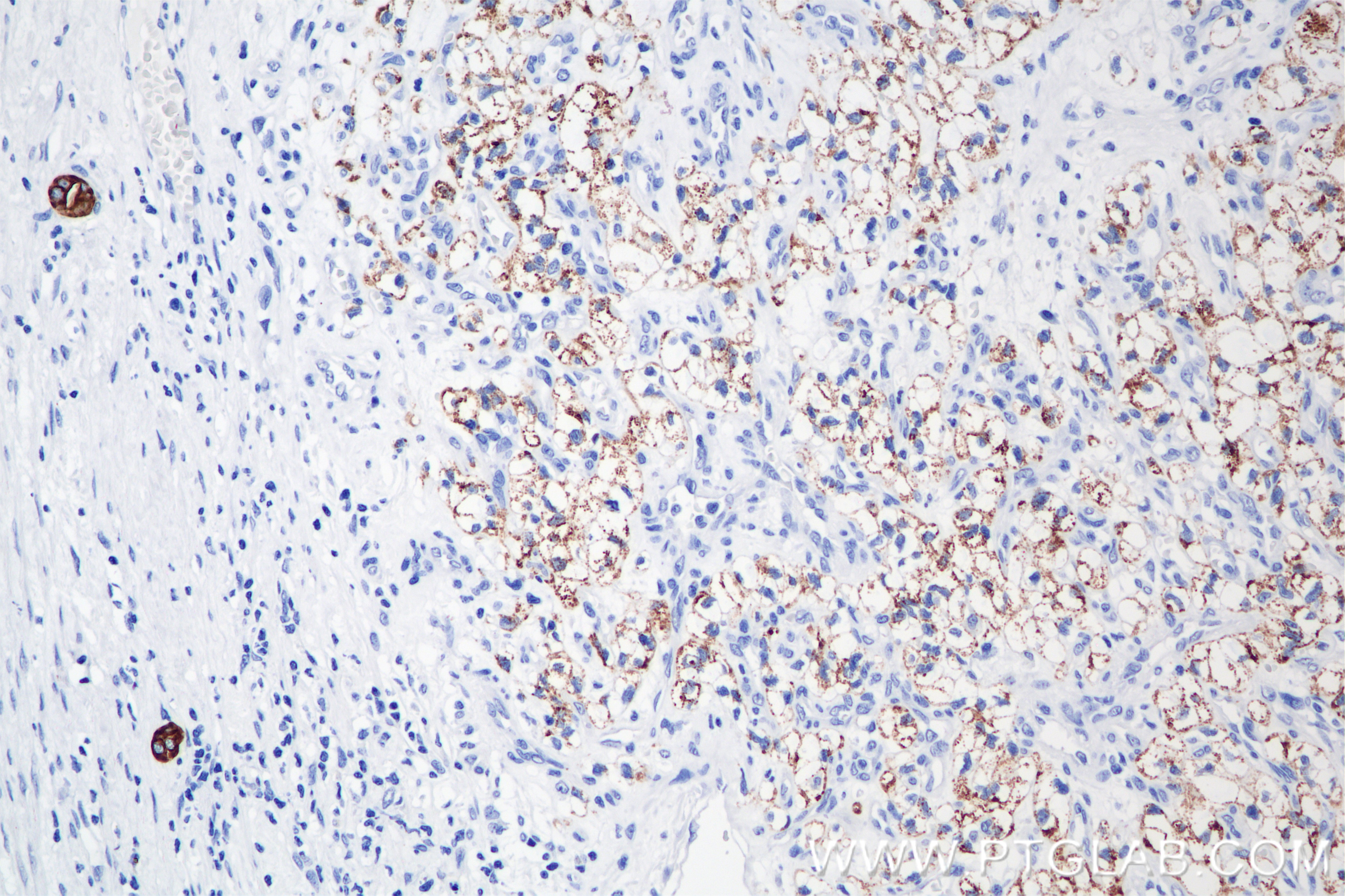
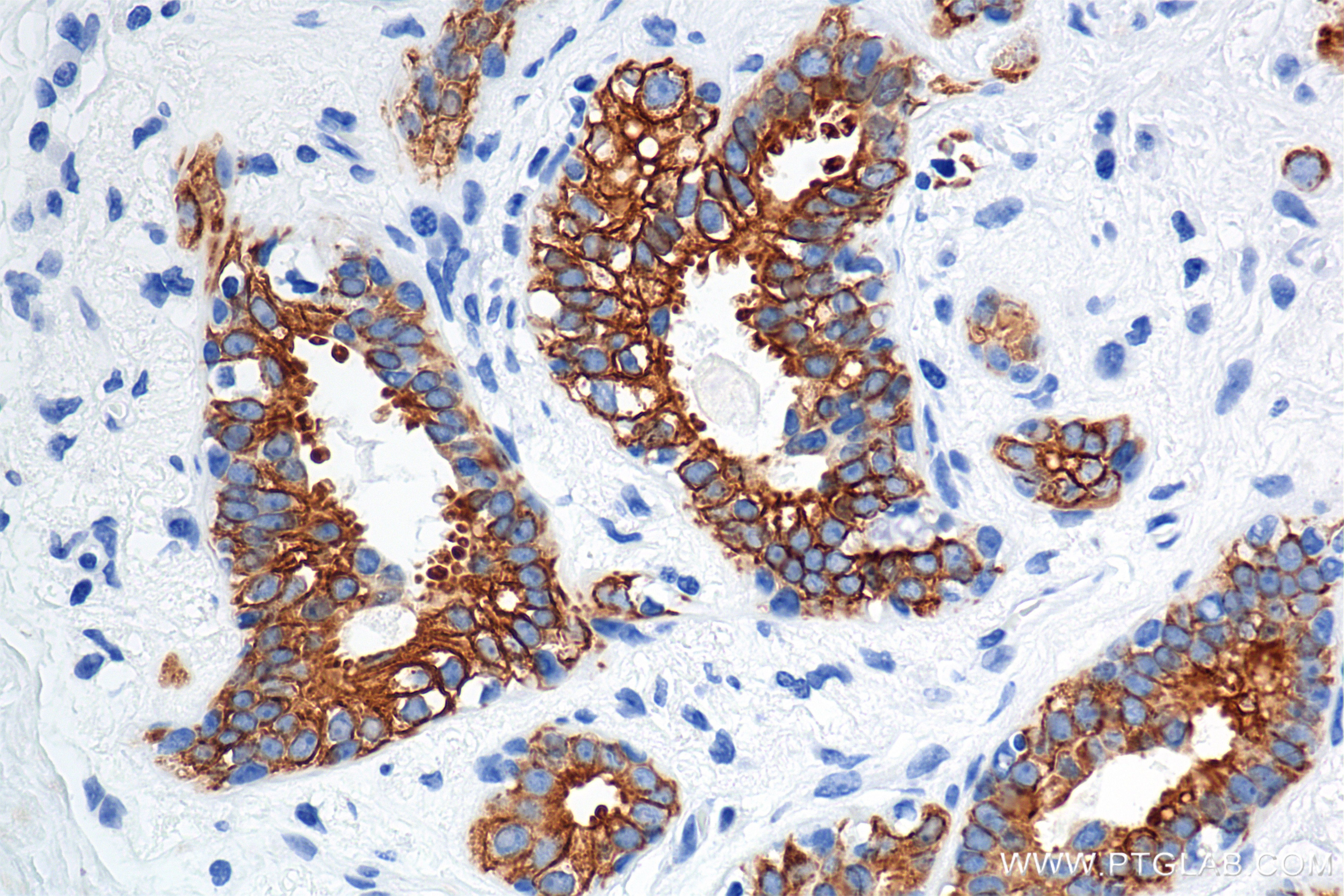
Validation Data Gallery
Tested Applications
Recommended dilution
| Application | Dilution |
|---|---|
| It is recommended that this reagent should be titrated in each testing system to obtain optimal results. | |
Product Information
86457-4-PBS targets Cytokeratin 8 as part of a matched antibody pair:
MP02886-1: 86457-4-PBS capture and 86457-8-PBS detection (validated in Sandwich ELISA)
Unconjugated rabbit recombinant monoclonal antibody in PBS only (BSA and azide free) storage buffer at a concentration of 1 mg/mL, ready for conjugation. Created using Proteintech’s proprietary in-house recombinant technology. Recombinant production enables unrivalled batch-to-batch consistency, easy scale-up, and future security of supply.
This conjugation ready format makes antibodies ideal for use in many applications including: ELISAs, multiplex assays requiring matched pairs, mass cytometry, and multiplex imaging applications.Antibody use should be optimized by the end user for each application and assay.
| Tested Reactivity | human, mouse, rat |
| Host / Isotype | Rabbit / IgG |
| Class | Recombinant |
| Type | Antibody |
| Immunogen |
Peptide 相同性解析による交差性が予測される生物種 |
| Full Name | keratin 8 |
| Calculated molecular weight | 54 kDa |
| Observed molecular weight | 52 kDa |
| GenBank accession number | BC000654 |
| Gene Symbol | Cytokeratin 8 |
| Gene ID (NCBI) | 3856 |
| Conjugate | Unconjugated |
| Form | |
| Form | Liquid |
| Purification Method | Protein A purification |
| UNIPROT ID | P05787 |
| Storage Buffer | PBS only{{ptg:BufferTemp}}7.3 |
| Storage Conditions | Store at -80°C. |
Background Information
Cytokeratin 8 (CK8) is a protein that belongs to the cytokeratin family, which is a group of structural proteins found in the intracytoplasmic cytoskeleton of epithelial cells. CK8 forms intermediate filaments within the cytoplasm of simple epithelial cells, typically as a dimer with cytokeratin 18 (CK18). These filaments provide a stabilizing framework that helps determine cell shape and enables cells to cope with mechanical stress. CK8/CK18 filaments also serve as a mesh of "paths" for signaling molecules, metabolites, and pathogens to travel within the cell in an organized manner. CK8 is expressed in various epithelial tissues and is particularly associated with glandular and simple epithelia. Its expression is also a significant marker in several types of cancer, including lung and esophageal cancer, where it can indicate tumor progression and poor prognosis.















