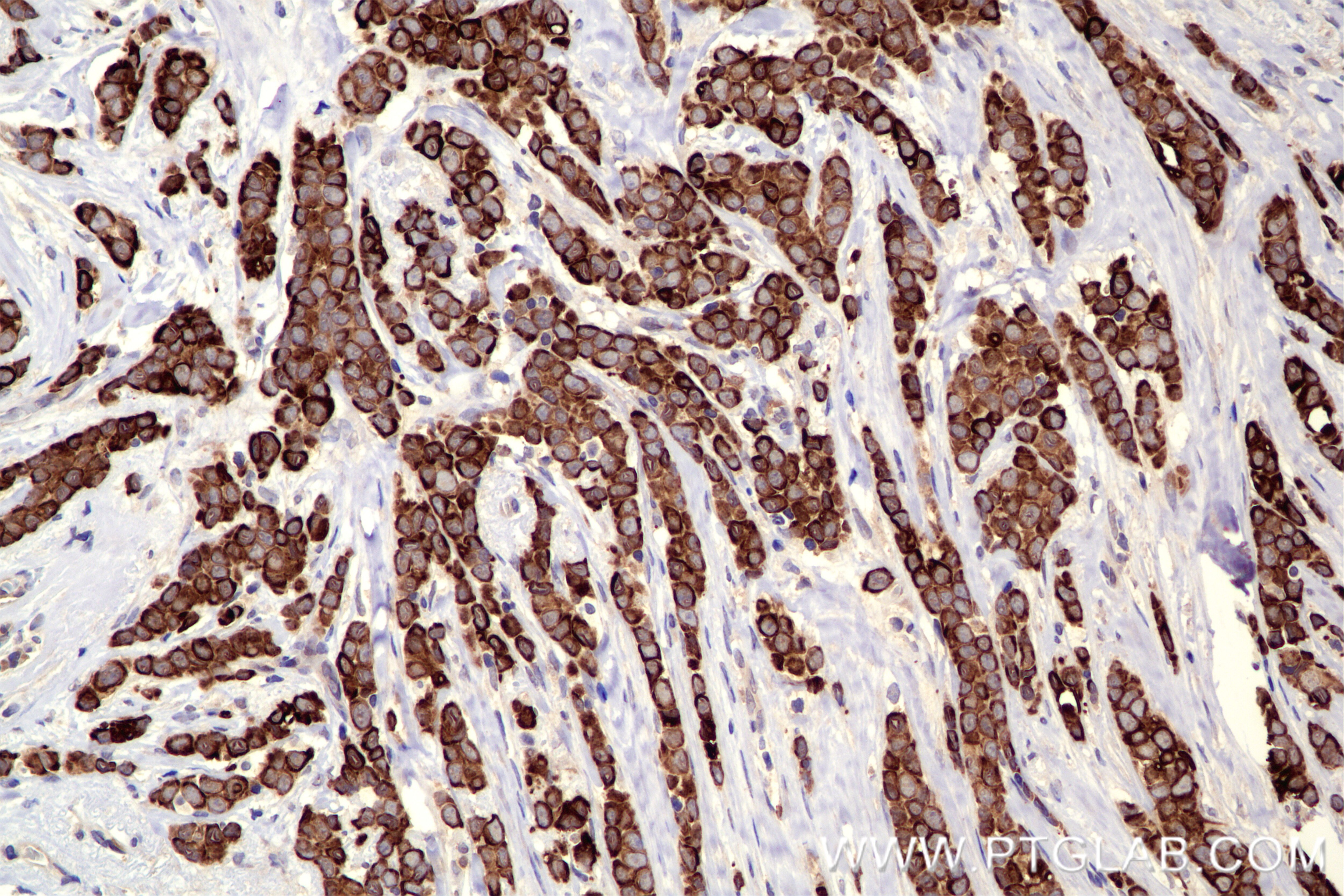
Validation Data Gallery
Tested Applications
Recommended dilution
| Application | Dilution |
|---|---|
| It is recommended that this reagent should be titrated in each testing system to obtain optimal results. | |
Product Information
84941-1-PBS targets PLCG1 as part of a matched antibody pair:
MP01700-3: 84941-1-PBS capture and 84941-2-PBS detection (validated in Sandwich ELISA)
Unconjugated rabbit recombinant monoclonal antibody in PBS only (BSA and azide free) storage buffer at a concentration of 1 mg/mL, ready for conjugation. Created using Proteintech’s proprietary in-house recombinant technology. Recombinant production enables unrivalled batch-to-batch consistency, easy scale-up, and future security of supply.
This conjugation ready format makes antibodies ideal for use in many applications including: ELISAs, multiplex assays requiring matched pairs, mass cytometry, and multiplex imaging applications.Antibody use should be optimized by the end user for each application and assay.
| Tested Reactivity | human |
| Host / Isotype | Rabbit / IgG |
| Class | Recombinant |
| Type | Antibody |
| Immunogen |
CatNo: Ag27218 Product name: Recombinant human PLCG1 protein Source: e coli.-derived, PGEX-4T Tag: GST Sequence: AEGSAYEEVPTSMMYSENDISNSIKNGILYLEDPVNHEWYPHYFVLTSSKIYYSEETSSDQGNEDEEEPKEVSSSTELHSNEKWFHGKLGAGRDGRH 相同性解析による交差性が予測される生物種 |
| Full Name | phospholipase C, gamma 1 |
| Calculated molecular weight | 149 kDa |
| Gene Symbol | PLCG1 |
| Gene ID (NCBI) | 5335 |
| Conjugate | Unconjugated |
| Form | |
| Form | Liquid |
| Purification Method | Protein A purification |
| UNIPROT ID | P19174 |
| Storage Buffer | PBS only{{ptg:BufferTemp}}7.3 |
| Storage Conditions | Store at -80°C. |
Background Information
Phosphoinositide phospholipase C-gamma-1 (PLCG1) which belongs to the phosphoinositide-specific phospholipase C (PLC) family, is activated by many extracellular stimuli including hormones, neurotransmitters, and growth factors and modulates several cellular and physiological functions necessary for tumorigeneses such as cell survival, migration, invasion, and angiogenesis by generating inositol 1,4,5-triphosphate (IP3) and diacylglycerol (DAG) via hydrolysis of phosphatidylinositol 4,5-biphosphate (PIP2) (PMID: 9242915). Phosphorylation is one of the key mechanisms that regulate the activity of PLC. PLCγ is activated by both receptor and non-receptor tyrosine kinases (PMID: 2472218). PLCγ forms a complex with EGF and PDGF receptors, which leads to the phosphorylation of PLCγ at Tyr771, 783, and 1248 (PMID: 1708307). It has also been shown that PKA-mediated phosphorylation at Ser1248 is inhibitory to PLCγ1 tyrosine phosphorylation and phospholipase activity in CD3-treated Jurkat cells (PMID: 1370476), suggesting that Ser1248 may be an allosteric regulator of PLCγ1 activity.






