Validation Data Gallery
Tested Applications
| Positive WB detected in | HeLa cells, A549 cells, LN229 cells, MDA-MB-453s cells |
| Positive IP detected in | MDA-MB-453s cells |
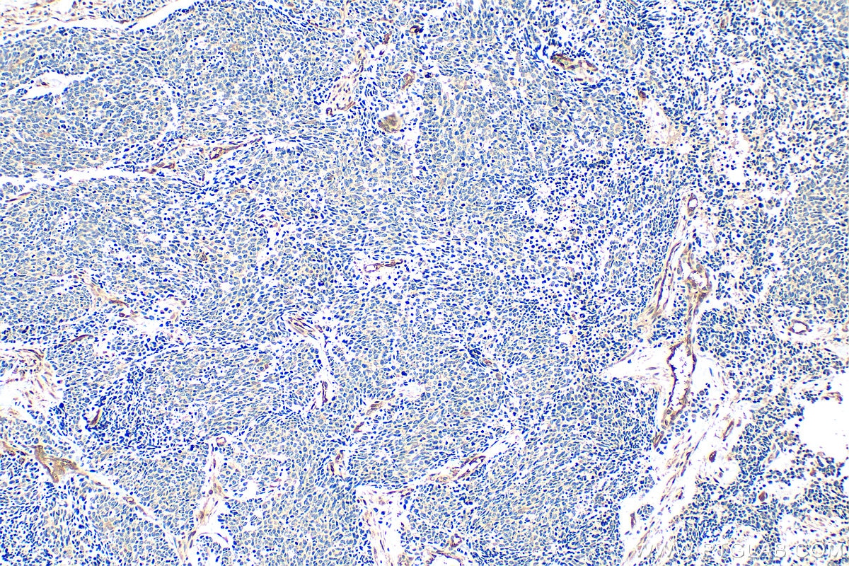
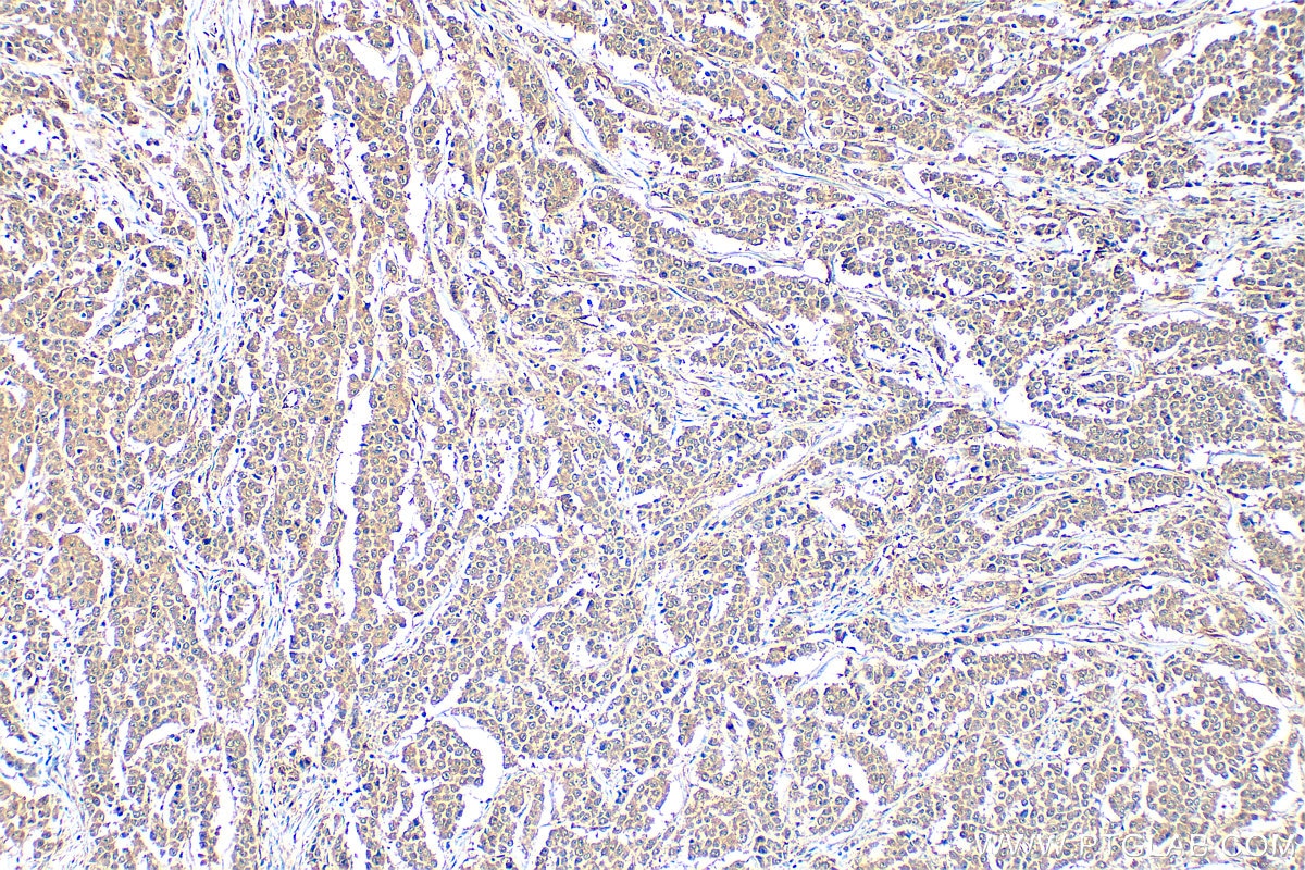
| Positive IHC detected in | human ovary cancer tissue, human colon cancer tissue, human lung cancer tissue Note: suggested antigen retrieval with TE buffer pH 9.0; (*) Alternatively, antigen retrieval may be performed with citrate buffer pH 6.0 |
| Positive IF/ICC detected in | U-251 cells, HeLa cells |
| Positive FC (Intra) detected in | HeLa cells |
Recommended dilution
| Application | Dilution |
|---|---|
| Western Blot (WB) | WB : 1:1000-1:8000 |
| Immunoprecipitation (IP) | IP : 0.5-4.0 ug for 1.0-3.0 mg of total protein lysate |
| Immunohistochemistry (IHC) | IHC : 1:50-1:500 |
| Immunofluorescence (IF)/ICC | IF/ICC : 1:50-1:500 |
| Flow Cytometry (FC) (INTRA) | FC (INTRA) : 0.25 ug per 10^6 cells in a 100 µl suspension |
| It is recommended that this reagent should be titrated in each testing system to obtain optimal results. | |
| Sample-dependent, Check data in validation data gallery. | |
Published Applications
| KD/KO | See 8 publications below |
| WB | See 69 publications below |
| IHC | See 16 publications below |
| IF | See 15 publications below |
| IP | See 4 publications below |
| CoIP | See 2 publications below |
| ChIP | See 1 publications below |
Product Information
23306-1-AP targets WWTR1/TAZ in WB, IHC, IF/ICC, FC (Intra), IP, CoIP, ChIP, ELISA applications and shows reactivity with human, rat samples.
| Tested Reactivity | human, rat |
| Cited Reactivity | human, mouse, rat |
| Host / Isotype | Rabbit / IgG |
| Class | Polyclonal |
| Type | Antibody |
| Immunogen |
CatNo: Ag19659 Product name: Recombinant human WWTR1,TAZ protein Source: e coli.-derived, PGEX-4T Tag: GST Domain: 1-400 aa of BC014052 Sequence: MNPASAPPPLPPPGQQVIHVTQDLDTDLEALFNSVMNPKPSSWRKKILPESFFKEPDSGSHSRQSSTDSSGGHPGPRLAGGAQHVRSHSSPASLQLGTGAGAAGSPAQQHAHLRQQSYDVTDELPLPPGWEMTFTATGQRYFLNHIEKITTWQDPRKAMNQPLNHMNLHPAVSSTPVPQRSMAVSQPNLVMNHQHQQQMAPSTLSQQNHPTQNPPAGLMSMPNALTTQQQQQQKLRLQRIQMERERIRMRQEELMRQEAALCRQLPMEAETLAPVQAAVNPPTMTPDMRSITNNSSDPFLNGGPYHSREQSTDSGLGLGCYSVPTTPEDFLSNVDEMDTGENAGQTPMNINPQQTRFPDFLDCLPGTNVDLGTLESEDLIPLFNDVESALNKSEPFLTWL 相同性解析による交差性が予測される生物種 |
| Full Name | WW domain containing transcription regulator 1 |
| Calculated molecular weight | 44 kDa |
| Observed molecular weight | 50 kDa |
| GenBank accession number | BC014052 |
| Gene Symbol | WWTR1 |
| Gene ID (NCBI) | 25937 |
| RRID | AB_2721185 |
| Conjugate | Unconjugated |
| Form | |
| Form | Liquid |
| Purification Method | Antigen affinity purification |
| UNIPROT ID | Q9GZV5 |
| Storage Buffer | PBS with 0.02% sodium azide and 50% glycerol{{ptg:BufferTemp}}7.3 |
| Storage Conditions | Store at -20°C. Stable for one year after shipment. Aliquoting is unnecessary for -20oC storage. |
Background Information
TAZ, also referred as WWTR1, is a transcriptional co-activator with a PDZ-binding motif that is regulated by its interaction with 14-3-3 protein. TAZ is expressed in many primary tumors, such as breast cancer, thyroid carcinoma, colorectal cancer, and glioma (PMID: 22003437, PMID: 27764783). TAZ has been reported to be one of the nuclear effectors of Hippo-related pathways that regulate organ size control, cancer stem cell (CSC) properties, and epithelial-mesenchymal transition (EMT). TAZ has been defined for its role in the nucleus, where it functions directly as a transcriptional regulator by interacting with several nuclear factors as Runx2/Cbfa1, NHERF-2, TEF-1, TBX5, PAX3, PAX8 and TTF-1.
Protocols
| Product Specific Protocols | |
|---|---|
| FC protocol for WWTR1/TAZ antibody 23306-1-AP | Download protocol |
| IF protocol for WWTR1/TAZ antibody 23306-1-AP | Download protocol |
| IHC protocol for WWTR1/TAZ antibody 23306-1-AP | Download protocol |
| IP protocol for WWTR1/TAZ antibody 23306-1-AP | Download protocol |
| WB protocol for WWTR1/TAZ antibody 23306-1-AP | Download protocol |
| Standard Protocols | |
|---|---|
| Click here to view our Standard Protocols |
Publications
| Species | Application | Title |
|---|---|---|
Cancer Cell Programming of Schwann Cells by Lats1/2-TAZ/YAP Signaling Drives Malignant Peripheral Nerve Sheath Tumorigenesis. | ||
Nat Neurosci YAP and TAZ control peripheral myelination and the expression of laminin receptors in Schwann cells.
| ||
Sci Adv YAP drives fate conversion and chemoresistance of small cell lung cancer.
| ||
Bone Res TAZ inhibits osteoclastogenesis by attenuating TAK1/NF-κB signaling.
| ||
Clin Transl Med NSUN2 promotes colorectal cancer progression by enhancing SKIL mRNA stabilization |












