Validation Data Gallery
Tested Applications
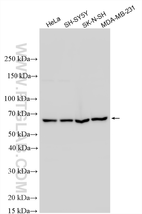
| Positive WB detected in | HeLa cells, MDA-MB-231 cells, SH-SY5Y cells, SK-N-SH cells, mouse brain tissue, rat brain tissue |
| Positive IHC detected in | mouse brain tissue Note: suggested antigen retrieval with TE buffer pH 9.0; (*) Alternatively, antigen retrieval may be performed with citrate buffer pH 6.0 |
| Positive IF/ICC detected in | HepG2 cells |
Recommended dilution
| Application | Dilution |
|---|---|
| Western Blot (WB) | WB : 1:1000-1:8000 |
| Immunohistochemistry (IHC) | IHC : 1:50-1:500 |
| Immunofluorescence (IF)/ICC | IF/ICC : 1:50-1:500 |
| It is recommended that this reagent should be titrated in each testing system to obtain optimal results. | |
| Sample-dependent, Check data in validation data gallery. | |
Published Applications
| WB | See 8 publications below |
| IHC | See 3 publications below |
| IF | See 3 publications below |
| CoIP | See 1 publications below |
Product Information
14306-1-AP targets WASL in WB, IHC, IF/ICC, CoIP, ELISA applications and shows reactivity with human, mouse, rat samples.
| Tested Reactivity | human, mouse, rat |
| Cited Reactivity | human, mouse |
| Host / Isotype | Rabbit / IgG |
| Class | Polyclonal |
| Type | Antibody |
| Immunogen |
CatNo: Ag5424 Product name: Recombinant human WASL protein Source: e coli.-derived, PET28a Tag: 6*His Domain: 1-350 aa of BC052955 Sequence: MSSVQQQPPPPRRVTNVGSLLLTPQENESLFTFLGKKCVTMSSAVVQLYAADRNCMWSKKCSGVACLVKDNPQRSYFLRIFDIKDGKLLWEQELYNNFVYNSPRGYFHTFAGDTCQVALNFANEEEAKKFRKAVTDLLGRRQRKSEKRRDPPNGPNLPMATVDIKNPEITTNRFYGPQVNNISHTKEKKKGKAKKKRLTKADIGTPSNFQHIGHVGWDPNTGFDLNNLDPELKNLFDMCGISEAQLKDRETSKVIYDFIEKTGGVEAVKNELRRQAPPPPPPSRGGPPPPPPPPHNSGPPPPPARGRGAPPPPPSRAPTAAPPPPPPSRPSVAVPPPPPNRMYPPPPPAL 相同性解析による交差性が予測される生物種 |
| Full Name | Wiskott-Aldrich syndrome-like |
| Calculated molecular weight | 55 kDa |
| Observed molecular weight | 55-65 kDa |
| GenBank accession number | BC052955 |
| Gene Symbol | WASL |
| Gene ID (NCBI) | 8976 |
| RRID | AB_10638478 |
| Conjugate | Unconjugated |
| Form | |
| Form | Liquid |
| Purification Method | Antigen affinity purification |
| UNIPROT ID | O00401 |
| Storage Buffer | PBS with 0.02% sodium azide and 50% glycerol{{ptg:BufferTemp}}7.3 |
| Storage Conditions | Store at -20°C. Stable for one year after shipment. Aliquoting is unnecessary for -20oC storage. |
Protocols
| Product Specific Protocols | |
|---|---|
| IF protocol for WASL antibody 14306-1-AP | Download protocol |
| IHC protocol for WASL antibody 14306-1-AP | Download protocol |
| WB protocol for WASL antibody 14306-1-AP | Download protocol |
| Standard Protocols | |
|---|---|
| Click here to view our Standard Protocols |
Publications
| Species | Application | Title |
|---|---|---|
Front Immunol FLI1 Induces Megakaryopoiesis Gene Expression Through WAS/WIP-Dependent and Independent Mechanisms; Implications for Wiskott-Aldrich Syndrome. | ||
J Dermatol Sci Negative pressure accelerated monolayer keratinocyte healing involves Cdc42 mediated cell podia formation. | ||
Noncoding RNA Res ADAR1-regulated miR-142-3p/RIG-I axis suppresses antitumor immunity in nasopharyngeal carcinoma | ||
Respir Res Tuftelin1 drives experimental pulmonary fibrosis progression by facilitating stress fiber assembly |





