Validation Data Gallery
Tested Applications
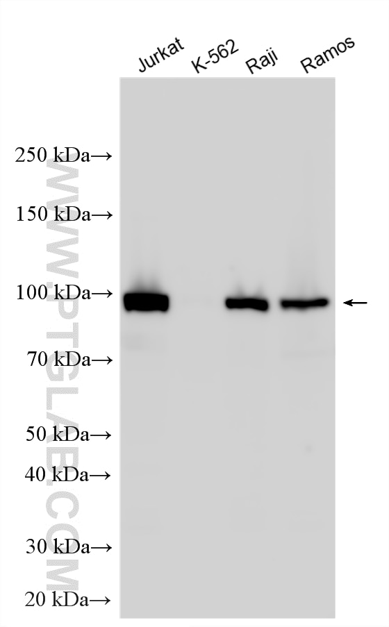
| Positive WB detected in | Jurkat cells, HL-60 cells, Ramos cells, Raji cells, K-562 cells |
| Positive IP detected in | K-562 cells, Jurkat cells |
| Positive IHC detected in | human breast cancer tissue, human brain tissue, human heart tissue, human kidney tissue, human liver tissue, human lung tissue, human lymphoma tissue, human spleen tissue, human tonsillitis tissue Note: suggested antigen retrieval with TE buffer pH 9.0; (*) Alternatively, antigen retrieval may be performed with citrate buffer pH 6.0 |
Recommended dilution
| Application | Dilution |
|---|---|
| Western Blot (WB) | WB : 1:1000-1:8000 |
| Immunoprecipitation (IP) | IP : 0.5-4.0 ug for 1.0-3.0 mg of total protein lysate |
| Immunohistochemistry (IHC) | IHC : 1:200-1:800 |
| It is recommended that this reagent should be titrated in each testing system to obtain optimal results. | |
| Sample-dependent, Check data in validation data gallery. | |
Published Applications
| KD/KO | See 2 publications below |
| WB | See 7 publications below |
| IHC | See 1 publications below |
| IF | See 3 publications below |
Product Information
16364-1-AP targets VAV1 in WB, IHC, IF, IP, ELISA applications and shows reactivity with human samples.
| Tested Reactivity | human |
| Cited Reactivity | human, mouse, rat, gecko |
| Host / Isotype | Rabbit / IgG |
| Class | Polyclonal |
| Type | Antibody |
| Immunogen |
CatNo: Ag9049 Product name: Recombinant human VAV1 protein Source: e coli.-derived, PET28a Tag: 6*His Domain: 442-790 aa of BC013361 Sequence: EQFEMAISNIYPENATANGHDFQMFSFEETTSCKACQMLLRGTFYQGYRCHRCRASAHKECLGRVPPCGRHGQDFPGTMKKDKLHRRAQDKKRNELGLPKMEVFQEYYGLPPPPGAIGPFLRLNPGDIVELTKAEAEQNWWEGRNTSTNEIGWFPCNRVKPYVHGPPQDLSVHLWYAGPMERAGAESILANRSDGTFLVRQRVKDAAEFAISIKYNVEVKHIKIMTAEGLYRITEKKAFRGLTELVEFYQQNSLKDCFKSLDTTLQFPFKEPEKRTISRPAVGSTKYFGTAKARYDFCARDRSELSLKEGDIIKILNKKGQQGWWRGEIYGRVGWFPANYVEEDYSEYC 相同性解析による交差性が予測される生物種 |
| Full Name | vav 1 guanine nucleotide exchange factor |
| Calculated molecular weight | 845 aa, 98 kDa |
| Observed molecular weight | 98 kDa |
| GenBank accession number | BC013361 |
| Gene Symbol | VAV1 |
| Gene ID (NCBI) | 7409 |
| RRID | AB_2213571 |
| Conjugate | Unconjugated |
| Form | |
| Form | Liquid |
| Purification Method | Antigen affinity purification |
| UNIPROT ID | P15498 |
| Storage Buffer | PBS with 0.02% sodium azide and 50% glycerol{{ptg:BufferTemp}}7.3 |
| Storage Conditions | Store at -20°C. Stable for one year after shipment. Aliquoting is unnecessary for -20oC storage. |
Background Information
Vav proteins mainly act as enzymes that catalyze the activation step of Rho subfamily GTPases during cell signaling. There are three family members:VAV1, VAV2 and VAV3. Vav1 is specifically expressed in the hematopoietic system, whereas Vav2 and Vav3 are more ubiquitously expressed (PMID:14607270). Vav1 is physiologically active as a GDP/GTP nucleotide exchange factor (GEF) in the hematopoietic system (PMID:31654719).
Protocols
| Product Specific Protocols | |
|---|---|
| IHC protocol for VAV1 antibody 16364-1-AP | Download protocol |
| IP protocol for VAV1 antibody 16364-1-AP | Download protocol |
| WB protocol for VAV1 antibody 16364-1-AP | Download protocol |
| Standard Protocols | |
|---|---|
| Click here to view our Standard Protocols |
Publications
| Species | Application | Title |
|---|---|---|
J Biol Chem Adult astrocytes from reptiles are resistant to proinflammatory activation via sustaining Vav1 expression.
| ||
Biochem Biophys Res Commun Vav1 expression is increased in esophageal squamous cell carcinoma and indicates poor prognosis. | ||
Clin Sci (Lond) Novel role of Vav1-Rac1 pathway in actin cytoskeleton regulation in Interleukin-13-induced minimal change-like nephropathy.
| ||
Oncotarget Multiple regulatory aspects of histone methyltransferase EZH2 in Pb-induced neurotoxicity. | ||
Cancer Cell Int STING pathway contributes to the prognosis of hepatocellular carcinoma and identification of prognostic gene signatures correlated to tumor microenvironment | ||
Cell Death Differ CKLF1 disrupts microglial efferocytosis following acute ischemic stroke by binding to phosphatidylserine |





















