Validation Data Gallery
Tested Applications
| Positive WB detected in | HepG2 cells, HuH-7 cells, L02 cells, MG-63 cells, U2OS cells, human placenta tissue |
| Positive IP detected in | HUVEC cells |
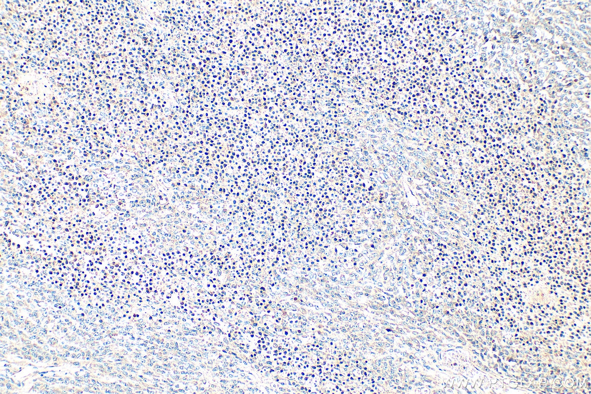
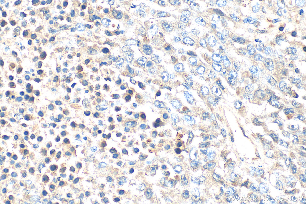
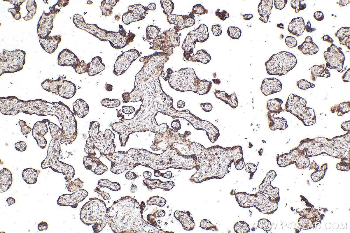
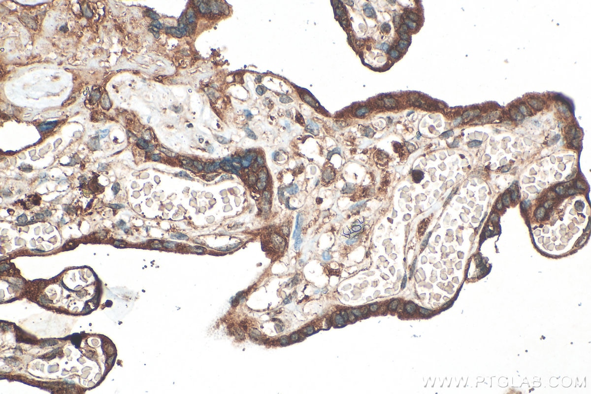
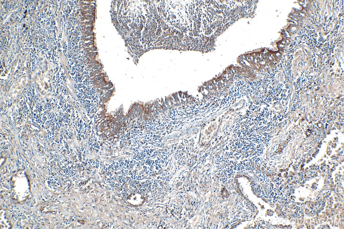
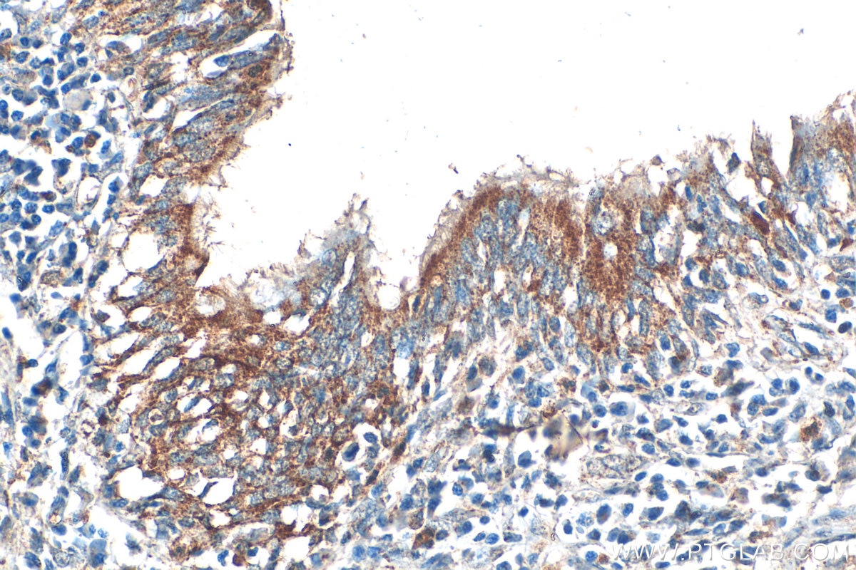
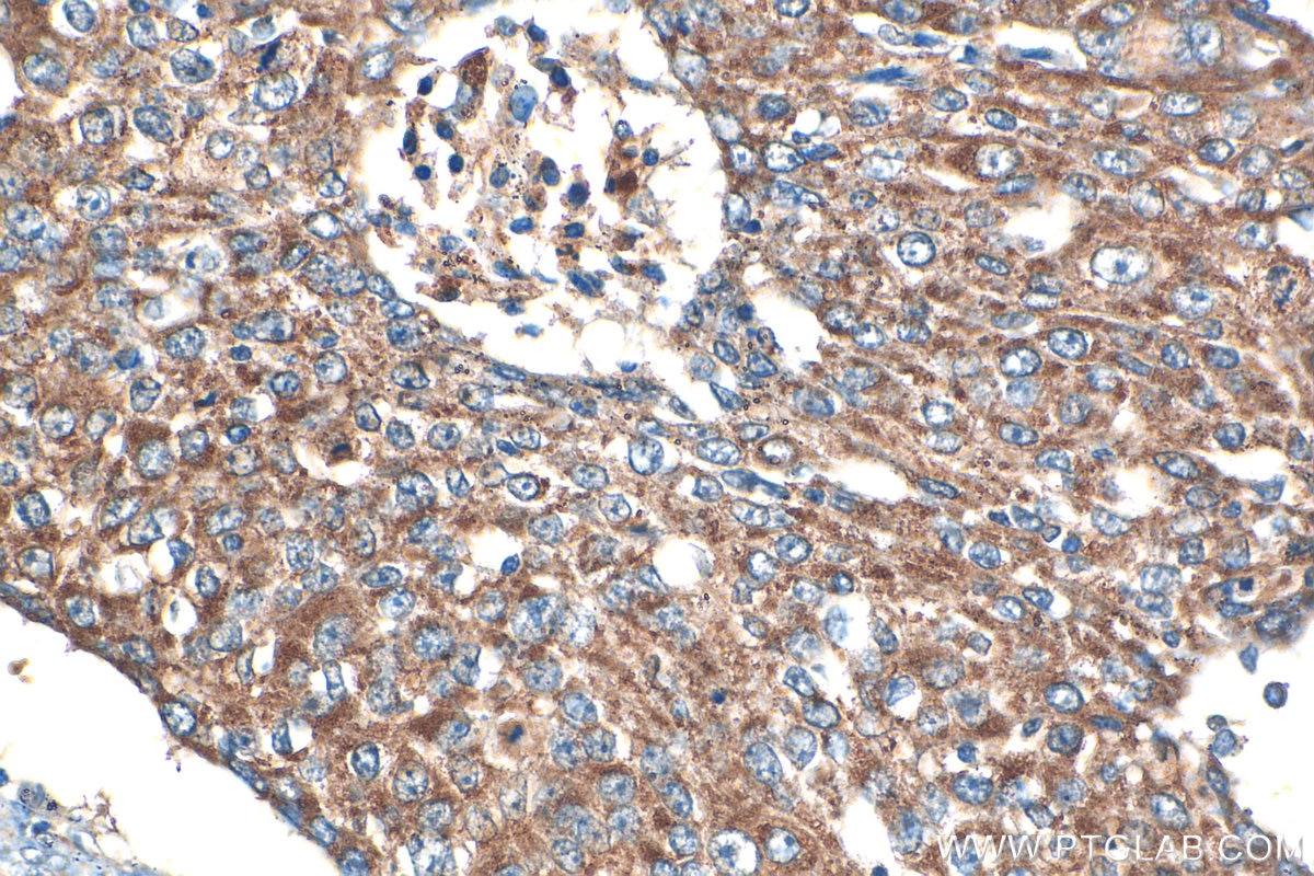
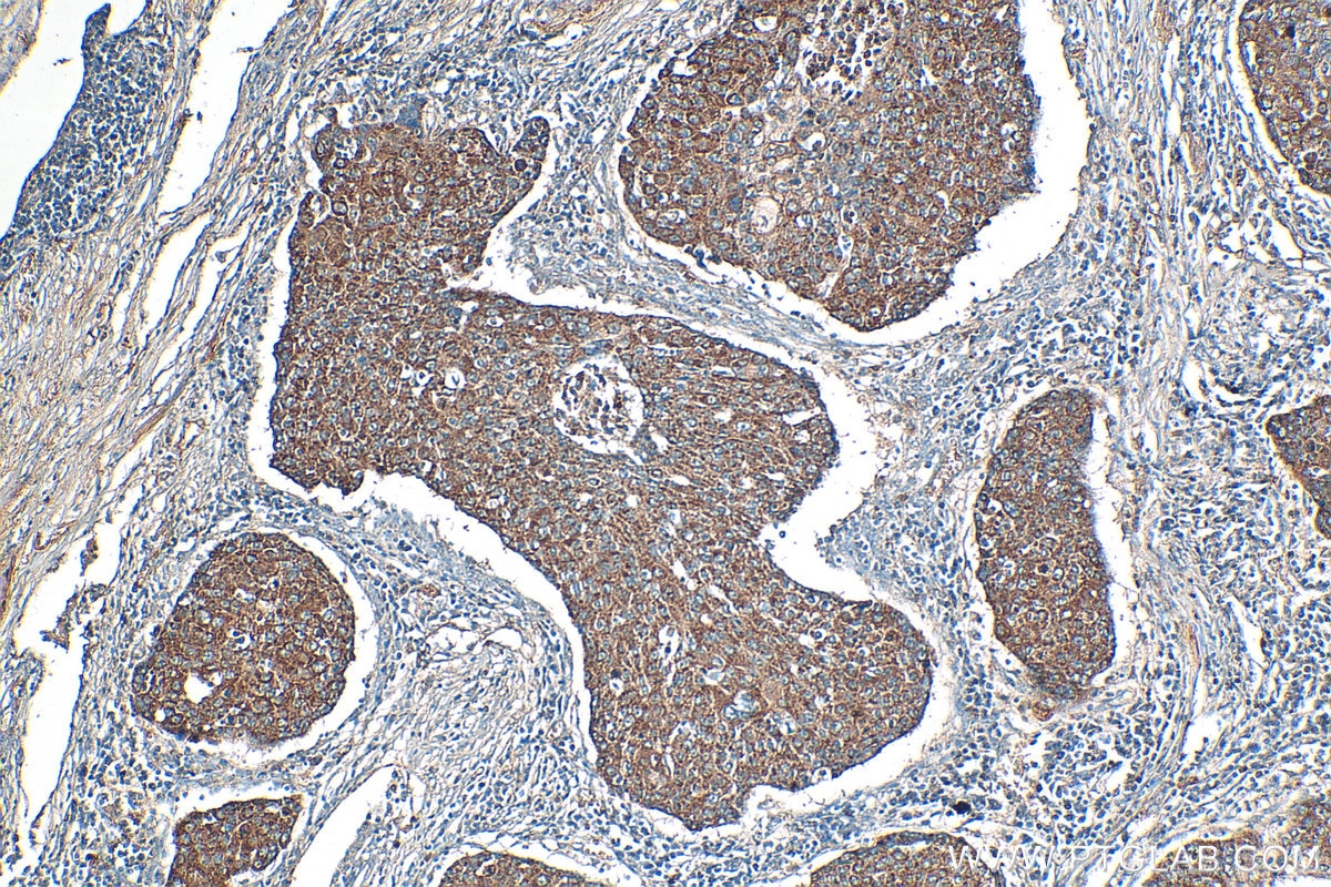
| Positive IHC detected in | human placenta tissue, human lung cancer tissue, human malignant melanoma tissue Note: suggested antigen retrieval with TE buffer pH 9.0; (*) Alternatively, antigen retrieval may be performed with citrate buffer pH 6.0 |
| Positive IF/ICC detected in | HepG2 cells |
Recommended dilution
| Application | Dilution |
|---|---|
| Western Blot (WB) | WB : 1:1000-1:4000 |
| Immunoprecipitation (IP) | IP : 0.5-4.0 ug for 1.0-3.0 mg of total protein lysate |
| Immunohistochemistry (IHC) | IHC : 1:200-1:800 |
| Immunofluorescence (IF)/ICC | IF/ICC : 1:200-1:800 |
| It is recommended that this reagent should be titrated in each testing system to obtain optimal results. | |
| Sample-dependent, Check data in validation data gallery. | |
Published Applications
| KD/KO | See 1 publications below |
| WB | See 69 publications below |
| IHC | See 19 publications below |
| IF | See 5 publications below |
| CoIP | See 1 publications below |
Product Information
13801-1-AP targets Serpin E1/PAI-1 in WB, IHC, IF/ICC, IP, CoIP, ELISA, Blocking assay applications and shows reactivity with human samples.
| Tested Reactivity | human |
| Cited Reactivity | human, rabbit, bovine |
| Host / Isotype | Rabbit / IgG |
| Class | Polyclonal |
| Type | Antibody |
| Immunogen |
CatNo: Ag4777 Product name: Recombinant human SERPINE1 protein Source: e coli.-derived, PGEX-4T Tag: GST Domain: 1-402 aa of BC010860 Sequence: MQMSPALTCLVLGLALVFGEGSAVHHPPSYVAHLASDFGVRVFQQVAQASKDRNVVFSPYGVASVLAMLQLTTGGETQQQIQAAMGFKIDDKGMAPALRHLYKELMGPWNKDEISTTDAIFVQRDLKLVQGFMPHFFRLFRSTVKQVDFSEVERARFIINDWVKTHTKGMISNLLGKGAVDQLTRLVLVNALYFNGQWKTPFPDSSTHRRLFHKSDGSTVSVPMMAQTNKFNYTEFTTPDGHYYDILELPYHGDTLSMFIAAPYEKEVPLSALTNILSAQLISHWKGNMTRLPRLLVLPKFSLETEVDLRKPLENLGMTDMFRQFQADFTSLSDQEPLHVAQALQKVKIEVNESGTVASSSTAVIVSARMAPEEIIMDRPFLFVVRHNPTGTVLFMGQVMEP 相同性解析による交差性が予測される生物種 |
| Full Name | serpin peptidase inhibitor, clade E (nexin, plasminogen activator inhibitor type 1), member 1 |
| Calculated molecular weight | 402 aa, 45 kDa |
| Observed molecular weight | 45 kDa |
| GenBank accession number | BC010860 |
| Gene Symbol | PAI-1 |
| Gene ID (NCBI) | 5054 |
| RRID | AB_2186881 |
| Conjugate | Unconjugated |
| Form | |
| Form | Liquid |
| Purification Method | Antigen affinity purification |
| UNIPROT ID | P05121 |
| Storage Buffer | PBS with 0.02% sodium azide and 50% glycerol{{ptg:BufferTemp}}7.3 |
| Storage Conditions | Store at -20°C. Stable for one year after shipment. Aliquoting is unnecessary for -20oC storage. |
Background Information
SERPINE1, also named as Plasminogen activator inhibitor type 1 (PAI-1), is a member of the serine protease inhibitor (SERPIN) superfamily. PAI-1 is the principal inhibitor of tPA and uPA, and hence is an inhibitor of fibrinolysis. Defects in this gene are the cause of plasminogen activator inhibitor-1 deficiency (PAI-1 deficiency), and high concentrations of the gene product are associated with thrombophilia. In western blotting, we got two bands 50 kDa and 90-110 kDa, and 90-110 kDa consistent with PAI-1 in complex with its target protease, t-PA (PMID: 21596853).
Protocols
| Product Specific Protocols | |
|---|---|
| IF protocol for Serpin E1/PAI-1 antibody 13801-1-AP | Download protocol |
| IHC protocol for Serpin E1/PAI-1 antibody 13801-1-AP | Download protocol |
| IP protocol for Serpin E1/PAI-1 antibody 13801-1-AP | Download protocol |
| WB protocol for Serpin E1/PAI-1 antibody 13801-1-AP | Download protocol |
| Standard Protocols | |
|---|---|
| Click here to view our Standard Protocols |
Publications
| Species | Application | Title |
|---|---|---|
Am J Respir Crit Care Med CD38 Mediates Lung Fibrosis by Promoting Alveolar Epithelial Cell Aging | ||
Cancer Discov Dynamic glycoprotein hyposialylation promotes chemotherapy evasion and metastatic seeding of quiescent circulating tumor cell clusters in breast cancer | ||
Nat Commun ICAM1 initiates CTC cluster formation and trans-endothelial migration in lung metastasis of breast cancer. | ||
Nat Commun A network of RNA-binding proteins controls translation efficiency to activate anaerobic metabolism. |


















