Validation Data Gallery
Tested Applications
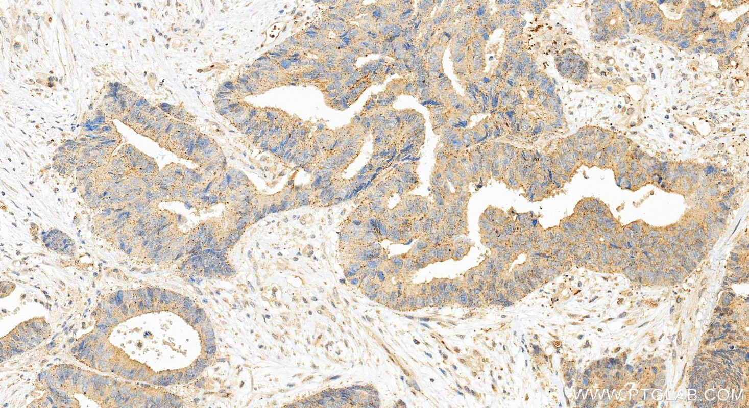
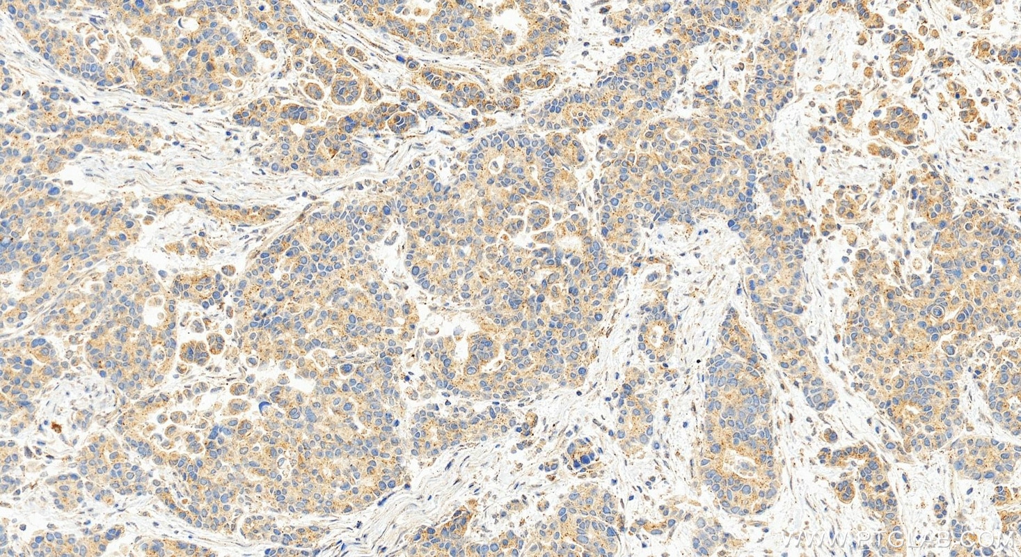
| Positive IHC detected in | human colon cancer tissue, human stomach cancer tissue Note: suggested antigen retrieval with TE buffer pH 9.0; (*) Alternatively, antigen retrieval may be performed with citrate buffer pH 6.0 |
| Positive IF-P detected in | rat brain tissue |
| Positive IF/ICC detected in | A549 cells |
Recommended dilution
| Application | Dilution |
|---|---|
| Immunohistochemistry (IHC) | IHC : 1:500-1:2000 |
| Immunofluorescence (IF)-P | IF-P : 1:50-1:500 |
| Immunofluorescence (IF)/ICC | IF/ICC : 1:50-1:500 |
| It is recommended that this reagent should be titrated in each testing system to obtain optimal results. | |
| Sample-dependent, Check data in validation data gallery. | |
Published Applications
| KD/KO | See 2 publications below |
| WB | See 8 publications below |
| IHC | See 7 publications below |
| IF | See 2 publications below |
Product Information
14075-1-AP targets PDGF-D in WB, IHC, IF/ICC, IF-P, ELISA applications and shows reactivity with human, rat samples.
| Tested Reactivity | human, rat |
| Cited Reactivity | human, mouse, rat, goat |
| Host / Isotype | Rabbit / IgG |
| Class | Polyclonal |
| Type | Antibody |
| Immunogen |
CatNo: Ag5154 Product name: Recombinant human PDGFD protein Source: e coli.-derived, PET28a Tag: 6*His Domain: 1-364 aa of BC030645 Sequence: MHRLIFVYTLICANFCSCRDTSATPQSASIKALRNANLRRDDLYRRDETIQVKGNGYVQSPRFPNSYPRNLLLTWRLHSQENTRIQLVFDNQFGLEEAENDICRYDFVEVEDISETSTIIRGRWCGHKEVPPRIKSRTNQIKITFKSDDYFVAKPGFKIYYSLLEDFQPAAASETNWESVTSSISGVSYNSPSVTDPTLIADALDKKIAEFDTVEDLLKYFNPESWQEDLENMYLDTPRYRGRSYHDRKSKVDLDRLNDDAKRYSCTPRNYSVNIREELKLANVVFFPRCLLVQRCGGNCGCGTVNWRSCTCNSGKTVKKYHEVLQFEPGHIKRRGRAKTMALVDIQLDHHERCDCICSSRPPR 相同性解析による交差性が予測される生物種 |
| Full Name | platelet derived growth factor D |
| Calculated molecular weight | 43 kDa |
| GenBank accession number | BC030645 |
| Gene Symbol | PDGFD |
| Gene ID (NCBI) | 80310 |
| RRID | AB_2162208 |
| Conjugate | Unconjugated |
| Form | |
| Form | Liquid |
| Purification Method | Antigen affinity purification |
| UNIPROT ID | Q9GZP0 |
| Storage Buffer | PBS with 0.02% sodium azide and 50% glycerol{{ptg:BufferTemp}}7.3 |
| Storage Conditions | Store at -20°C. Stable for one year after shipment. Aliquoting is unnecessary for -20oC storage. |
Background Information
Platelet-derived growth factor-D (PDGF-D) is the newest member of the PDGF family. It is secreted as a latent dimer that must undergo extracellular proteolytic removal of its N-terminal CUB domain before the growth-factor domain can activate the β-PDGFR. Once activated, PDGF-D drives proliferation, migration and survival of mesenchymal cells and promotes angiogenesis, wound healing and tissue remodeling. Clinically, PDGF-D is up-regulated in several cancers and in fibrotic diseases of the heart, kidney and lung, making it a potential therapeutic target.
Protocols
| Product Specific Protocols | |
|---|---|
| IF protocol for PDGF-D antibody 14075-1-AP | Download protocol |
| IHC protocol for PDGF-D antibody 14075-1-AP | Download protocol |
| Standard Protocols | |
|---|---|
| Click here to view our Standard Protocols |
Publications
| Species | Application | Title |
|---|---|---|
Cell Oncol (Dordr) Exploring the impact of PDGFD in osteosarcoma metastasis through single-cell sequencing analysis | ||
Cell Physiol Biochem Novel Serum Biomarkers Detected by Protein Array in Polycystic Ovary Syndrome with Low Progesterone Level. | ||
J Immunol Cutting Edge: PDGF-DD Binding to NKp44 Costimulates TLR9 Signaling and Proinflammatory Cytokine Secretion in Human Plasmacytoid Dendritic Cells | ||
Front Pharmacol M2 Macrophages Promote PDGFRβ+ Pericytes Migration After Spinal Cord Injury in Mice via PDGFB/PDGFRβ Pathway. | ||
ACS Omega Promoted Skin Wound Healing by Tail-Amputated Eisenia foetida Proteins via the Ras/Raf/MEK/ERK Signaling Pathway |




