Validation Data Gallery
Tested Applications
| Positive WB detected in | mouse lung tissue, mouse spleen tissue, rat blood, rat spleen tissue, human blood tissue |
| Positive IP detected in | human plasma tissue |
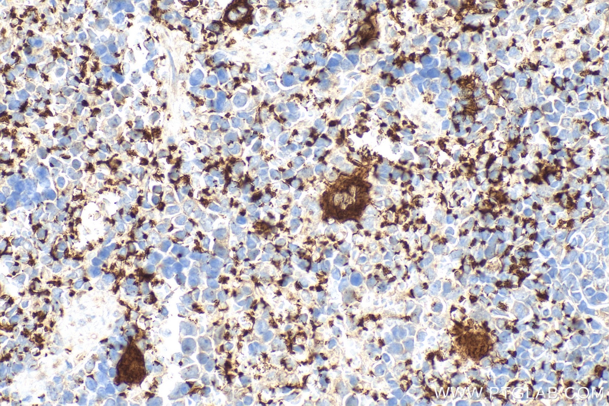
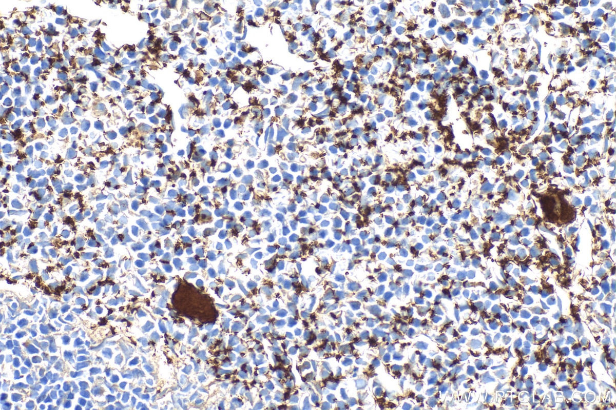
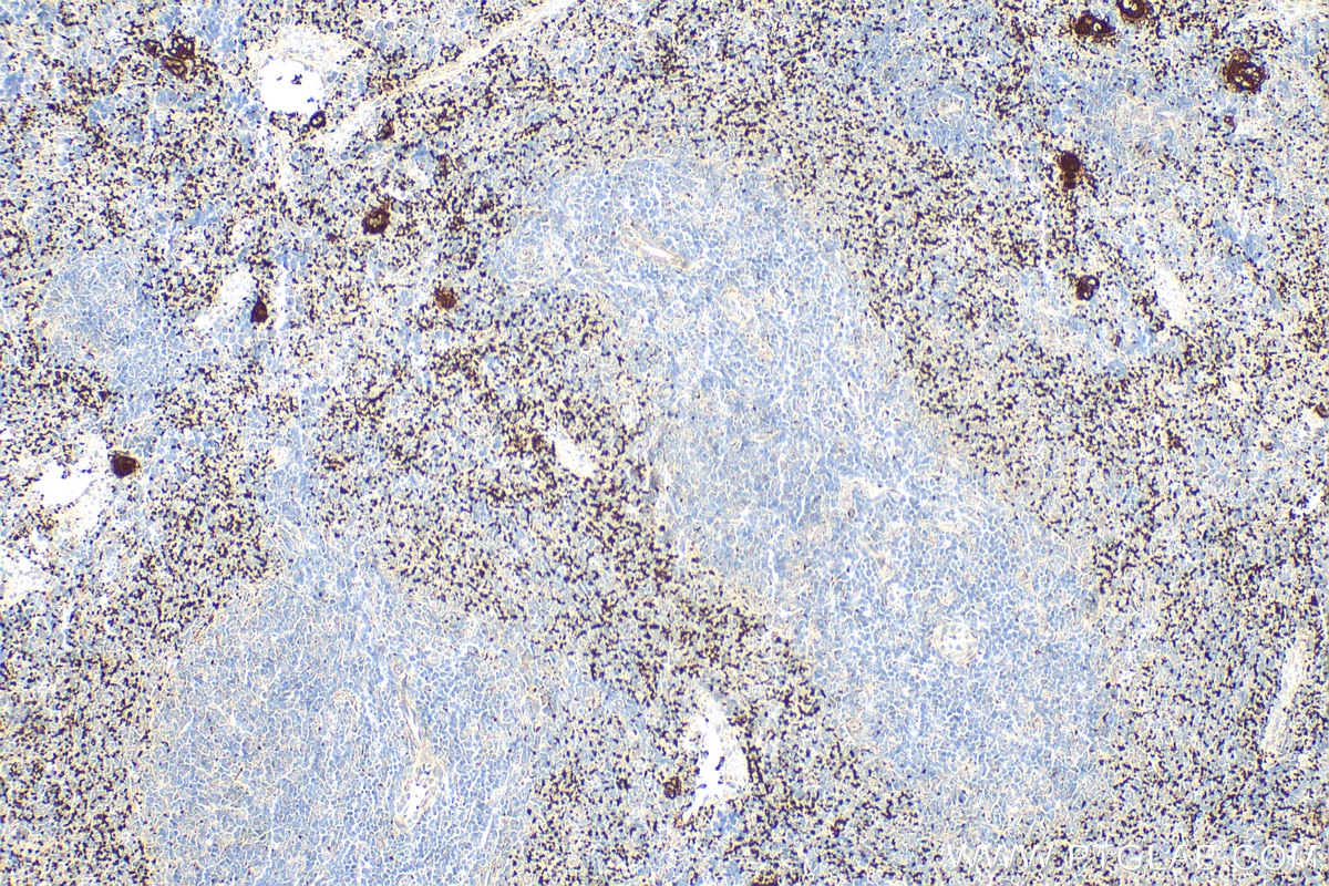
| Positive IHC detected in | mouse spleen tissue, human spleen tissue, rat spleen tissue Note: suggested antigen retrieval with TE buffer pH 9.0; (*) Alternatively, antigen retrieval may be performed with citrate buffer pH 6.0 |
Recommended dilution
| Application | Dilution |
|---|---|
| Western Blot (WB) | WB : 1:2000-1:15000 |
| Immunoprecipitation (IP) | IP : 0.5-4.0 ug for 1.0-3.0 mg of total protein lysate |
| Immunohistochemistry (IHC) | IHC : 1:500-1:2000 |
| It is recommended that this reagent should be titrated in each testing system to obtain optimal results. | |
| Sample-dependent, Check data in validation data gallery. | |
Published Applications
| KD/KO | See 1 publications below |
| WB | See 33 publications below |
| IHC | See 7 publications below |
| IF | See 17 publications below |
Product Information
24552-1-AP targets CD41 in WB, IHC, IF, IP, ELISA applications and shows reactivity with human, mouse, rat samples.
| Tested Reactivity | human, mouse, rat |
| Cited Reactivity | human, mouse, rat, pig |
| Host / Isotype | Rabbit / IgG |
| Class | Polyclonal |
| Type | Antibody |
| Immunogen |
CatNo: Ag19459 Product name: Recombinant human CD41/Integrin alpha 2b protein Source: e coli.-derived, PGEX-4T Tag: GST Domain: 678-894 aa of BC126442 Sequence: AELAVHLPQGAHYMRALSNVEGFERLICNQKKENETRVVLCELGNPMKKNAQIGIAMLVSVGNLEEAGESVSFQLQIRSKNSQNPNSKIVLLDVPVRAEAQVELRGNSFPASLVVAAEEGEREQNSLDSWGPKVEHTYELHNNGPGTVNGLHLSIHLPGQSQPSDLLYILDIQPQGGLQCFPQPPVNPLKVDWGLPIPSPSPIHPAHHKRDRRQIFL 相同性解析による交差性が予測される生物種 |
| Full Name | integrin, alpha 2b (platelet glycoprotein IIb of IIb/IIIa complex, antigen CD41) |
| Calculated molecular weight | 1039 aa, 113 kDa |
| Observed molecular weight | 110-125 kDa |
| GenBank accession number | BC126442 |
| Gene Symbol | CD41 |
| Gene ID (NCBI) | 3674 |
| RRID | AB_2879604 |
| Conjugate | Unconjugated |
| Form | |
| Form | Liquid |
| Purification Method | Antigen affinity purification |
| UNIPROT ID | P08514 |
| Storage Buffer | PBS with 0.02% sodium azide and 50% glycerol{{ptg:BufferTemp}}7.3 |
| Storage Conditions | Store at -20°C. Stable for one year after shipment. Aliquoting is unnecessary for -20oC storage. |
Background Information
The integrins are a superfamily of cell adhesion receptors that bind to extracellular matrix ligands, cell-surface ligands, and soluble ligands (PMID: 17543136). They are transmembrane αβ heterodimers and at least 24 distinct integrin heterodimers are formed by the combination of 18 α and eight β known subunits (PMID: 17543136; 20029421). In addition to mediating cell adhesion, integrins also play important roles in modulating signal transduction pathways that control cellular responses including migration, proliferation, differentiation, and apoptosis (PMID: 19118207). Integrin alpha-IIb (ITGA2B, CD41) is expressed on platelets, megakaryocytes and some hematopoietic progenitor cells (PMID: 11934866). This protein undergoes post-translational cleavage to yield disulfide linked light beta (25 kDa) and heavy alpha (125 kDa) chains, which join with integrin beta3 (CD61) to form a receptor for fibronectin, fibrinogen, plasminogen, prothrombin, thrombospondin and vitronectin. CD41/CD61 is crucial for platelet aggregation through binding of soluble fibrinogen.
Protocols
| Product Specific Protocols | |
|---|---|
| IHC protocol for CD41 antibody 24552-1-AP | Download protocol |
| IP protocol for CD41 antibody 24552-1-AP | Download protocol |
| WB protocol for CD41 antibody 24552-1-AP | Download protocol |
| Standard Protocols | |
|---|---|
| Click here to view our Standard Protocols |
Publications
| Species | Application | Title |
|---|---|---|
Theranostics Platelets camouflaged nanovehicle improved bladder cancer immunotherapy by triggering pyroptosis | ||
Theranostics Platelets promote CRC by activating the C5a/C5aR1 axis via PSGL-1/JNK/STAT1 signaling in tumor-associated macrophages | ||
J Thromb Haemost SINE-VNTR-Alu retrotransposon insertion as a novel mutational event underlying Glanzmann thrombasthenia | ||
Theranostics Aurka loss in CD19+ B cells promotes megakaryocytopoiesis via IL-6/STAT3 signaling-mediated thrombopoietin production. |









