Validation Data Gallery
Tested Applications
| Positive WB detected in | HUVEC cells, Recombinant protein, PMA, LPS and Brefeldin A treated THP-1 cells, HeLa cells |
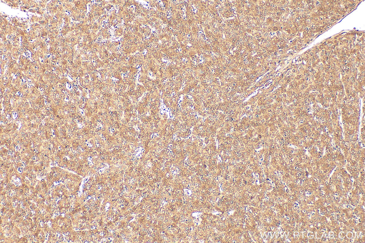
| Positive IHC detected in | human liver cancer tissue Note: suggested antigen retrieval with TE buffer pH 9.0; (*) Alternatively, antigen retrieval may be performed with citrate buffer pH 6.0 |
Recommended dilution
| Application | Dilution |
|---|---|
| Western Blot (WB) | WB : 1:500-1:1000 |
| Immunohistochemistry (IHC) | IHC : 1:50-1:500 |
| It is recommended that this reagent should be titrated in each testing system to obtain optimal results. | |
| Sample-dependent, Check data in validation data gallery. | |
Published Applications
| KD/KO | See 2 publications below |
| WB | See 26 publications below |
| IHC | See 24 publications below |
| IF | See 12 publications below |
| ELISA | See 2 publications below |
Product Information
12372-1-AP targets IL-33 in WB, IHC, IF, ELISA applications and shows reactivity with human samples.
| Tested Reactivity | human |
| Cited Reactivity | human |
| Host / Isotype | Rabbit / IgG |
| Class | Polyclonal |
| Type | Antibody |
| Immunogen |
CatNo: Ag2957 Product name: Recombinant human IL-33 protein Source: e coli.-derived, PGEX-4T Tag: GST Domain: 1-270 aa of BC047085 Sequence: MKPKMKYSTNKISTAKWKNTASKALCFKLGKSQQKAKEVCPMYFMKLRSGLMIKKEACYFRRETTKRPSLKTGRKHKRHLVLAACQQQSTVECFAFGISGVQKYTRALHDSSITGISPITEYLASLSTYNDQSITFALEDESYEIYVEDLKKDEKKDKVLLSYYESQHPSNESGDGVDGKMLMVTLSPTKDFWLHANNKEHSVELHKCEKPLPDQAFFVLHNMHSNCVSFECKTDPGVFIGVKDNHLALIKVDSSENLCTENILFKLSET 相同性解析による交差性が予測される生物種 |
| Full Name | interleukin 33 |
| Calculated molecular weight | 30 kDa |
| Observed molecular weight | 31 kDa |
| GenBank accession number | BC047085 |
| Gene Symbol | IL-33 |
| Gene ID (NCBI) | 90865 |
| RRID | AB_2877852 |
| Conjugate | Unconjugated |
| Form | |
| Form | Liquid |
| Purification Method | Antigen affinity purification |
| UNIPROT ID | O95760 |
| Storage Buffer | PBS with 0.02% sodium azide and 50% glycerol{{ptg:BufferTemp}}7.3 |
| Storage Conditions | Store at -20°C. Stable for one year after shipment. Aliquoting is unnecessary for -20oC storage. |
Background Information
IL-33 is an IL-1 family cytokine and nuclear alarmin, is constitutively expressed in epithelial barrier tissues and human blood vessels. IL-33 is involved in the maturation of Th2 cells and the activation of mast cells, basophils, eosinophils and natural killer cells. It also acts as a chemoattractant for Th2 cells, and may function as an "alarmin", that amplifies immune responses during tissue injury.
Protocols
| Product Specific Protocols | |
|---|---|
| IHC protocol for IL-33 antibody 12372-1-AP | Download protocol |
| WB protocol for IL-33 antibody 12372-1-AP | Download protocol |
| Standard Protocols | |
|---|---|
| Click here to view our Standard Protocols |
Publications
| Species | Application | Title |
|---|---|---|
Adv Healthc Mater Ultrasmall Nanoparticles Regulate Immune Microenvironment by Activating IL-33/ST2 to Alleviate Renal Ischemia-Reperfusion Injury | ||
J Invest Dermatol Increased Type 2 Innate Lymphoid Cells in Patients with Drug Reaction with Eosinophilia and Systemic Symptoms Syndrome. | ||
Front Immunol Emodin Alleviates Sodium Taurocholate-Induced Pancreatic Acinar Cell Injury via MicroRNA-30a-5p-Mediated Inhibition of High-Temperature Requirement A/Transforming Growth Factor Beta 1 Inflammatory Signaling. | ||
Am J Pathol Cross Talk between ST2 and Transforming Growth Factor-β Receptor Signaling Promotes Renal Fibrosis | ||
EBioMedicine Free fatty acid receptor 4 deletion attenuates colitis by modulating Treg Cells via ZBED6-IL33 pathway. | ||
Int Immunopharmacol Hypoxia induces the production of epithelial-derived cytokines in eosinophilic chronic rhinosinusitis with nasal polyps |




