Validation Data Gallery
Tested Applications
| Positive WB detected in | human plasma tissue, human spleen tissue |
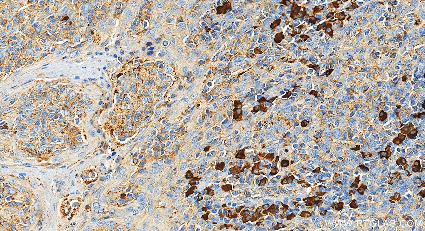
| Positive IHC detected in | human tonsillitis tissue Note: suggested antigen retrieval with TE buffer pH 9.0; (*) Alternatively, antigen retrieval may be performed with citrate buffer pH 6.0 |
| Positive IF-P detected in | human tonsillitis tissue |
| Positive FC (Intra) detected in | Ramos cells |
Recommended dilution
| Application | Dilution |
|---|---|
| Western Blot (WB) | WB : 1:500-1:2000 |
| Immunohistochemistry (IHC) | IHC : 1:200-1:10000 |
| Immunofluorescence (IF)-P | IF-P : 1:200-1:800 |
| Flow Cytometry (FC) (INTRA) | FC (INTRA) : 0.40 ug per 10^6 cells in a 100 µl suspension |
| It is recommended that this reagent should be titrated in each testing system to obtain optimal results. | |
| Sample-dependent, Check data in validation data gallery. | |
Published Applications
| WB | See 1 publications below |
| IP | See 1 publications below |
Product Information
11541-1-AP targets Ig Lambda Light Chain in WB, IHC, IF-P, IP, ELISA applications and shows reactivity with human samples.
| Tested Reactivity | human |
| Cited Reactivity | human |
| Host / Isotype | Rabbit / IgG |
| Class | Polyclonal |
| Type | Antibody |
| Immunogen |
CatNo: Ag2064 Product name: Recombinant human IGL- protein Source: e coli.-derived, PGEX-4T Tag: GST Domain: 1-237 aa of BC020233 Sequence: MAWSPLLLTLLAHCTGSWAQSVLTQPPSVSGAPGQRVTISCTGSSSNIGAGYDVHWYQQLPGTAPKLLIYGNSNRPSGVPDRFSGSKSGTSASLAITGLQAEDEADYYCQSYDSSLSGFVVFGGGTKLTVLGQPKAAPSVTLFPPSSEELQANKATLVCLISDFYPGAVTVAWKADSSPVKAGVETTTPSKQSNNKYAASSYLSLTPEQWKSHRSYSCQVTHEGSTVEKTVAPTECS 相同性解析による交差性が予測される生物種 |
| Full Name | immunoglobulin lambda locus |
| Calculated molecular weight | 237 aa, 25 kDa |
| Observed molecular weight | 25 kDa |
| GenBank accession number | BC020233 |
| Gene Symbol | IgG Lambda Light Chain |
| Gene ID (NCBI) | 3535 |
| RRID | AB_2877775 |
| Conjugate | Unconjugated |
| Form | |
| Form | Liquid |
| Purification Method | Antigen affinity purification |
| Storage Buffer | PBS with 0.02% sodium azide and 50% glycerol{{ptg:BufferTemp}}7.3 |
| Storage Conditions | Store at -20°C. Stable for one year after shipment. Aliquoting is unnecessary for -20oC storage. |
Background Information
This antibody detects the lambda light chain of human immunoglobulin.
Protocols
| Product Specific Protocols | |
|---|---|
| FC protocol for Ig Lambda Light Chain antibody 11541-1-AP | Download protocol |
| IF protocol for Ig Lambda Light Chain antibody 11541-1-AP | Download protocol |
| IHC protocol for Ig Lambda Light Chain antibody 11541-1-AP | Download protocol |
| WB protocol for Ig Lambda Light Chain antibody 11541-1-AP | Download protocol |
| Standard Protocols | |
|---|---|
| Click here to view our Standard Protocols |
Publications
| Species | Application | Title |
|---|---|---|
Cancer Immunol Immunother A high proportion of CD38 (high) CD16 (low) NK cells in colorectal cancer can interrupt immune surveillance and favor tumor growth | ||
Cell Death Dis SLC44A2 negatively regulates mitochondrial fatty acid oxidation to suppress colorectal progression by blocking the MUL1-CPT2 interaction. |







