Validation Data Gallery
Tested Applications
| Positive WB detected in | C6 cells, HeLa cells, mouse testis tissue, Jurkat cells, K-562 cells, NIH/3T3 cells |
| Positive IP detected in | HeLa cells |
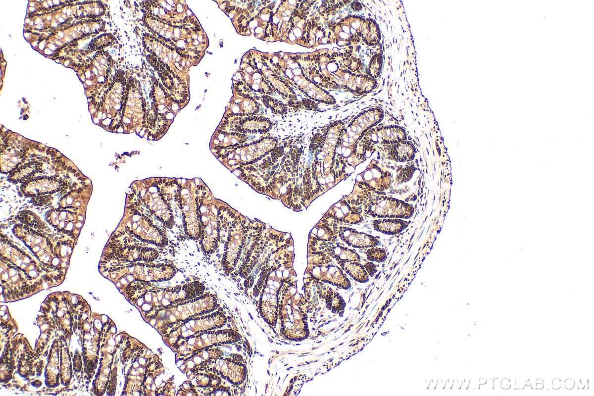
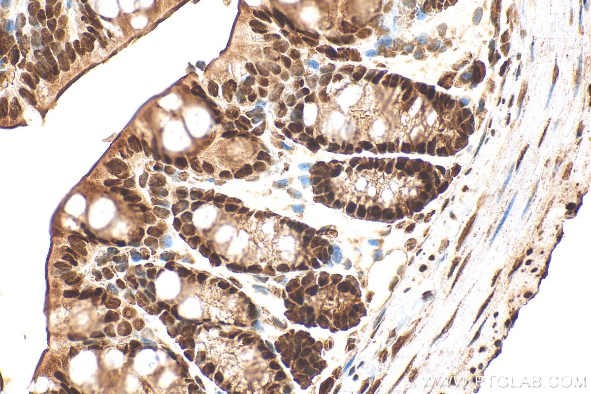
| Positive IHC detected in | mouse colon tissue, human testis tissue Note: suggested antigen retrieval with TE buffer pH 9.0; (*) Alternatively, antigen retrieval may be performed with citrate buffer pH 6.0 |
| Positive IF/ICC detected in | HeLa cells |
Recommended dilution
| Application | Dilution |
|---|---|
| Western Blot (WB) | WB : 1:8000-1:20000 |
| Immunoprecipitation (IP) | IP : 0.5-4.0 ug for 1.0-3.0 mg of total protein lysate |
| Immunohistochemistry (IHC) | IHC : 1:500-1:2000 |
| Immunofluorescence (IF)/ICC | IF/ICC : 1:200-1:800 |
| It is recommended that this reagent should be titrated in each testing system to obtain optimal results. | |
| Sample-dependent, Check data in validation data gallery. | |
Published Applications
| KD/KO | See 18 publications below |
| WB | See 116 publications below |
| IHC | See 9 publications below |
| IF | See 10 publications below |
| IP | See 10 publications below |
| CoIP | See 8 publications below |
| ChIP | See 6 publications below |
Product Information
10197-1-AP targets HDAC1 in WB, IHC, IF/ICC, IP, CoIP, ChIP, ELISA applications and shows reactivity with human, mouse, rat samples.
| Tested Reactivity | human, mouse, rat |
| Cited Reactivity | human, mouse, rat, pig |
| Host / Isotype | Rabbit / IgG |
| Class | Polyclonal |
| Type | Antibody |
| Immunogen |
CatNo: Ag0256 Product name: Recombinant human HDAC1 protein Source: e coli.-derived, PGEX-4T Tag: GST Domain: 184-482 aa of BC000301 Sequence: EEAFYTTDRVMTVSFHKYGEYFPGTGDLRDIGAGKGKYYAVNYPLRDGIDDESYEAIFKPVMSKVMEMFQPSAVVLQCGSDSLSGDRLGCFNLTIKGHAKCVEFVKSFNLPMLMLGGGGYTIRNVARCWTYETAVALDTEIPNELPYNDYFEYFGPDFKLHISPSNMTNQNTNEYLEKIKQRLFENLRMLPHAPGVQMQAIPEDAIPEESGDEDEDDPDKRISICSSDKRIACEEEFSDSEEEGEGGRKNSSNFKKAKRVKTEDEKEKDPEEKKEVTEEEKTKEEKPEAKGVKEEVKLA 相同性解析による交差性が予測される生物種 |
| Full Name | histone deacetylase 1 |
| Calculated molecular weight | 55 kDa |
| Observed molecular weight | 60 kDa |
| GenBank accession number | BC000301 |
| Gene Symbol | HDAC1 |
| Gene ID (NCBI) | 3065 |
| RRID | AB_2118062 |
| Conjugate | Unconjugated |
| Form | |
| Form | Liquid |
| Purification Method | Antigen affinity purification |
| UNIPROT ID | Q13547 |
| Storage Buffer | PBS with 0.02% sodium azide and 50% glycerol{{ptg:BufferTemp}}7.3 |
| Storage Conditions | Store at -20°C. Stable for one year after shipment. Aliquoting is unnecessary for -20oC storage. |
Background Information
Background
Histone Deacetylase 1 (HDAC1) is a nuclear localized class I histone deacetylase that plays a role in the regulation of gene expression, mainly by repression of gene activity. Additionally, HDAC can mediate deacetylation of a subset of non-histone proteins, leading to their degradation. HDAC1 activity has an impact on cell growth, proliferation, and death.
1. What is the molecular weight of HDAC1?
The molecular size of HDAC1 is 60 kDa.
2. What is the subcellular localization of HDAC1?
Unlike some HDACs, HDAC1 is present entirely in the nucleus. Our HDAC1 antibody has been broadly tested for IF/ICC.
3. I cannot detect an HDAC1 specific signal in my sample during western blotting.
Make sure that you efficiently extract nuclear proteins during your sample preparation. Some lysis buffers (e.g., based on Triton X-100) may not extract nuclear proteins. We recommend using RIPA buffer (https://www.ptglab.com/support/protocols/). We highly recommend using nuclear loading control antibodies, such as lamin B1 or PCNA (https://www.ptglab.com/news/blog/loading-control-antibodies-for-western-blotting/). Alternatively, you may consider performing cell fractionation.
4. How do I perform chromatin immunoprecipitation (ChiP) with the HDAC1 antibody?
We recommend using our standard chromatin immunoprecipitation protocol (https://www.ptglab.com/media/2708/web_chip-protocol.pdf).
5. Is HDAC1 post-translationally modified?
HDAC1 is a protein deacetylase but itself can also be a subject of post-translational modifications, including phosphorylation, acetylation, ubiquitination, SUMOylation, nitrosylation, and carbonylation (PMID: 21197454).
6. What is the role of HDAC1 in cancer?
The acetylation and deacetylation of histones play an important part in the epigenetic regulation of gene expression. Alterations in the balance between these two opposing processes changes chromosome remodeling and increased deacetylation leads to gene silencing. HDAC1 levels are increased in many cancer cell types and the role of HDAC1 in cancer is connected not only to histone deacetylation but also to the deacetylation of other proteins, such as Rb family proteins, estrogen receptors, and p53 protein (PMID: 19383284).
Protocols
| Product Specific Protocols | |
|---|---|
| IF protocol for HDAC1 antibody 10197-1-AP | Download protocol |
| IHC protocol for HDAC1 antibody 10197-1-AP | Download protocol |
| IP protocol for HDAC1 antibody 10197-1-AP | Download protocol |
| WB protocol for HDAC1 antibody 10197-1-AP | Download protocol |
| Standard Protocols | |
|---|---|
| Click here to view our Standard Protocols |
Publications
| Species | Application | Title |
|---|---|---|
Acta Pharm Sin B Histone deacetylase inhibitors inhibit cervical cancer growth through Parkin acetylation-mediated mitophagy. | ||
J Clin Invest Acetaldehyde dehydrogenase 2 interactions with LDLR and AMPK regulate foam cell formation. | ||
Nat Commun The methyltransferase METTL3 negatively regulates nonalcoholic steatohepatitis (NASH) progression. | ||
Nat Commun PCGF6 controls neuroectoderm specification of human pluripotent stem cells by activating SOX2 expression. | ||
Hepatology PROX1 promotes hepatocellular carcinoma metastasis by way of up-regulating hypoxia-inducible factor 1α expression and protein stability. |










