Validation Data Gallery
Tested Applications
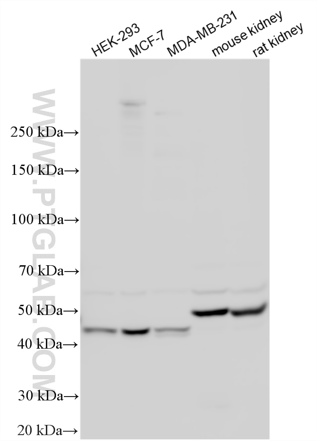
| Positive WB detected in | HEK-293 cells, human heart tissue, MCF-7 cells, mouse kidney tissue, MDA-MB-231 cells, rat kidney tissue |
| Positive IP detected in | HEK-293 cells |
Recommended dilution
| Application | Dilution |
|---|---|
| Western Blot (WB) | WB : 1:1000-1:4000 |
| Immunoprecipitation (IP) | IP : 0.5-4.0 ug for 1.0-3.0 mg of total protein lysate |
| It is recommended that this reagent should be titrated in each testing system to obtain optimal results. | |
| Sample-dependent, Check data in validation data gallery. | |
Published Applications
| KD/KO | See 1 publications below |
| WB | See 3 publications below |
Product Information
11301-1-AP targets HARS2 in WB, IP, ELISA applications and shows reactivity with human, mouse, rat samples.
| Tested Reactivity | human, mouse, rat |
| Cited Reactivity | human, mouse |
| Host / Isotype | Rabbit / IgG |
| Class | Polyclonal |
| Type | Antibody |
| Immunogen |
CatNo: Ag1827 Product name: Recombinant human HARS2 protein Source: e coli.-derived, PGEX-4T Tag: GST Domain: 157-506 aa of BC014982 Sequence: WRRESPTIVQGRYREFCQCDFDIAGQFDPMIPDAECLKIMCEILSGLQLGDFLIKVNDRRIVDGMFAVCGVPESKFRAICSSIDKLDKMAWKDVRHEMVVKKGLAPEVADRIGDYVQCHGGVSLVEQMFQDPRLSQNKQALEGLGDLKLLFEYLTLFGIADKISFDLSLARGLDYYTGVIYEAVLLQTPTQAGEEPLNVGSVAAGGRYDGLVGMFDPKGHKVPCVGLSIGVERIFYIVEQRMKTKGEKVRTTETQVFVATPQKNFLQERLKLIAELWDSGIKAEMLYKNNPKLLTQLHYCESTGIPLVVIIGEQELKEGVIKIRSVASREEVAIKRENFVAEIQKRLSES 相同性解析による交差性が予測される生物種 |
| Full Name | histidyl-tRNA synthetase 2, mitochondrial (putative) |
| Calculated molecular weight | 57 kDa |
| Observed molecular weight | 50-55 kDa |
| GenBank accession number | BC014982 |
| Gene Symbol | HARS2 |
| Gene ID (NCBI) | 23438 |
| RRID | AB_10640530 |
| Conjugate | Unconjugated |
| Form | |
| Form | Liquid |
| Purification Method | Antigen affinity purification |
| UNIPROT ID | P49590 |
| Storage Buffer | PBS with 0.02% sodium azide and 50% glycerol{{ptg:BufferTemp}}7.3 |
| Storage Conditions | Store at -20°C. Stable for one year after shipment. Aliquoting is unnecessary for -20oC storage. |
Background Information
HARS2, also named as HARSL, HARSR, HO3 and HisRS, belongs to the class-II aminoacyl-tRNA synthetase family. It is an enzyme that catalyzes the esterification of histidine to its cognate tRNA as an early step in protein biosynthesis. When overexpressed in HIV-1-producing cells, HARS2 was incorporated into wild-type virions but not in ones containing the dilysine-mutated variant of matrix(MA) protein . HO3, through its recognition of MA, plays a role in the life cycle of HIV-1. (PMID: 9445076 ,7755634 ). 1-33aa of HARS2 is transit peptide and this part will be cut in some form(~52kd) of HARS2. This antibody can bind both HARSs for the close sequences.
Protocols
| Product Specific Protocols | |
|---|---|
| IP protocol for HARS2 antibody 11301-1-AP | Download protocol |
| WB protocol for HARS2 antibody 11301-1-AP | Download protocol |
| Standard Protocols | |
|---|---|
| Click here to view our Standard Protocols |
Publications
| Species | Application | Title |
|---|---|---|
Mol Cell Sengers Syndrome-Associated Mitochondrial Acylglycerol Kinase Is a Subunit of the Human TIM22 Protein Import Complex. | ||
J Biol Chem Overexpression of mitochondrial histidyl-tRNA synthetase restores mitochondrial dysfunction caused by a deafness-associated tRNAHis mutation. | ||
Front Cell Neurosci Disruption of Hars2 in Cochlear Hair Cells Causes Progressive Mitochondrial Dysfunction and Hearing Loss in Mice.
| ||
Cells CLPP Depletion Causes Diplotene Arrest; Underlying Testis Mitochondrial Dysfunction Occurs with Accumulation of Perrault Proteins ERAL1, PEO1, and HARS2 |




