Validation Data Gallery
Tested Applications
| Positive WB detected in | mouse pancreas tissue, rat pancreas tissue |
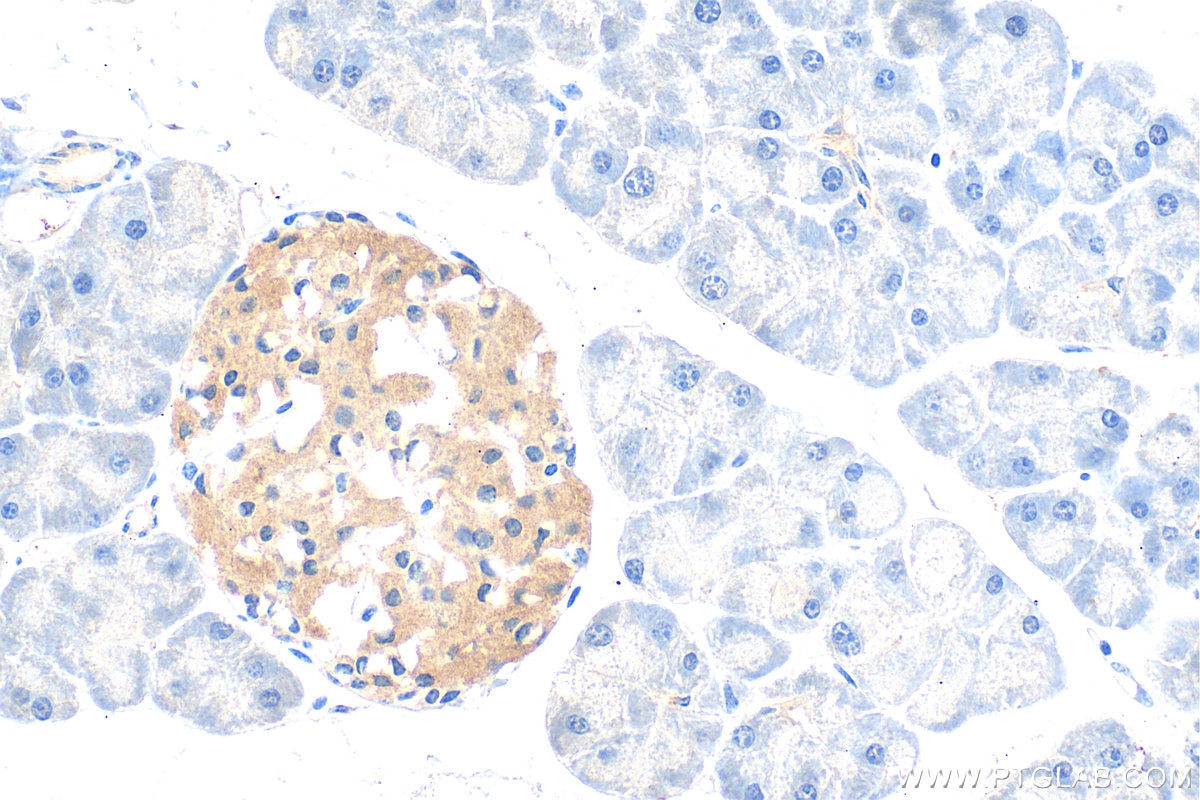
| Positive IHC detected in | mouse pancreas tissue Note: suggested antigen retrieval with TE buffer pH 9.0; (*) Alternatively, antigen retrieval may be performed with citrate buffer pH 6.0 |
| Positive IF-P detected in | mouse pancreas tissue |
Recommended dilution
| Application | Dilution |
|---|---|
| Western Blot (WB) | WB : 1:500-1:2000 |
| Immunohistochemistry (IHC) | IHC : 1:50-1:500 |
| Immunofluorescence (IF)-P | IF-P : 1:50-1:500 |
| It is recommended that this reagent should be titrated in each testing system to obtain optimal results. | |
| Sample-dependent, Check data in validation data gallery. | |
Published Applications
| KD/KO | See 3 publications below |
| WB | See 31 publications below |
| IHC | See 5 publications below |
| IF | See 6 publications below |
| IP | See 1 publications below |
Product Information
26196-1-AP targets GLP1R in WB, IHC, IF-P, IP, ELISA applications and shows reactivity with human, mouse, rat samples.
| Tested Reactivity | human, mouse, rat |
| Cited Reactivity | human, mouse, rat |
| Host / Isotype | Rabbit / IgG |
| Class | Polyclonal |
| Type | Antibody |
| Immunogen |
CatNo: Ag23529 Product name: Recombinant human GLP1R protein Source: e coli.-derived, PET30a Tag: 6*His Domain: 26-145 aa of BC112126 Sequence: QGATVSLWETVQKWREYRRQCQRSLTEDPPPATDLFCNRTFDEYACWPDGEPGSFVNVSCPWYLPWASSVPQGHVYRFCTAEGLWLQKDNSSLPWRDLSECEESKRGERSSPEEQLLFLY 相同性解析による交差性が予測される生物種 |
| Full Name | glucagon-like peptide 1 receptor |
| Calculated molecular weight | 463 aa, 53 kDa |
| Observed molecular weight | 53 kDa |
| GenBank accession number | BC112126 |
| Gene Symbol | GLP1R |
| Gene ID (NCBI) | 2740 |
| RRID | AB_2880421 |
| Conjugate | Unconjugated |
| Form | |
| Form | Liquid |
| Purification Method | Antigen affinity purification |
| UNIPROT ID | P43220 |
| Storage Buffer | PBS with 0.02% sodium azide and 50% glycerol{{ptg:BufferTemp}}7.3 |
| Storage Conditions | Store at -20°C. Stable for one year after shipment. Aliquoting is unnecessary for -20oC storage. |
Background Information
GLP1R (glucagon-like peptide-1 receptor) is a G protein-coupled receptor belonging to the secretin receptor super-family, also known as class B (PMID:34911028). GLP1R is widely distributed in pancreatic islets, muscles, gastrointestinal tract, lung, liver, pancreas, and other tissues or organs (PMID:35989517). Moreover, GLP1R agonist has been reported to induce autophagy of EC (Endometrial carcinoma) cells, and high GLP1R expression may be associated with good prognosis of EC patients, suggesting that GLP1R is likely to participate in the progression of EC (PMID:29907137). Natural GLP-1R is known to be N-glycosylated at positions 63, 82 and 115kDa(PMID: 36769142). Moreover, regarding the molecular weight of GLP1R, research shows that the bands at ~50 kDa and ~100 kDa belong to the monomer and dimer states of GLP1R (PMID: 28609478).
Protocols
| Product Specific Protocols | |
|---|---|
| IF protocol for GLP1R antibody 26196-1-AP | Download protocol |
| IHC protocol for GLP1R antibody 26196-1-AP | Download protocol |
| WB protocol for GLP1R antibody 26196-1-AP | Download protocol |
| Standard Protocols | |
|---|---|
| Click here to view our Standard Protocols |
Publications
| Species | Application | Title |
|---|---|---|
Int J Mol Sci Geniposide Improves Diabetic Nephropathy by Enhancing ULK1-Mediated Autophagy and Reducing Oxidative Stress through AMPK Activation. | ||
Life Sci Human gestational diabetes mellitus-derived exosomes impair glucose homeostasis in pregnant mice and stimulate functional maturation of offspring-islets | ||
Biomed Pharmacother Liraglutide, a glucagon-like peptide-1 receptor agonist, suppresses osteoclastogenesis through the inhibition of NF-κB and MAPK pathways via GLP-1R.
| ||
Front Pharmacol Novel Small Molecule Glucagon-Like Peptide-1 Receptor Agonist S6 Stimulates Insulin Secretion From Rat Islets. | ||
Front Pharmacol A Potential Mechanism Underlying the Therapeutic Effects of Progesterone and Allopregnanolone on Ketamine-Induced Cognitive Deficits. | ||
Front Endocrinol (Lausanne) Clozapine Induced Disturbances in Hepatic Glucose Metabolism: The Potential Role of PGRMC1 Signaling. |


