Validation Data Gallery
Tested Applications
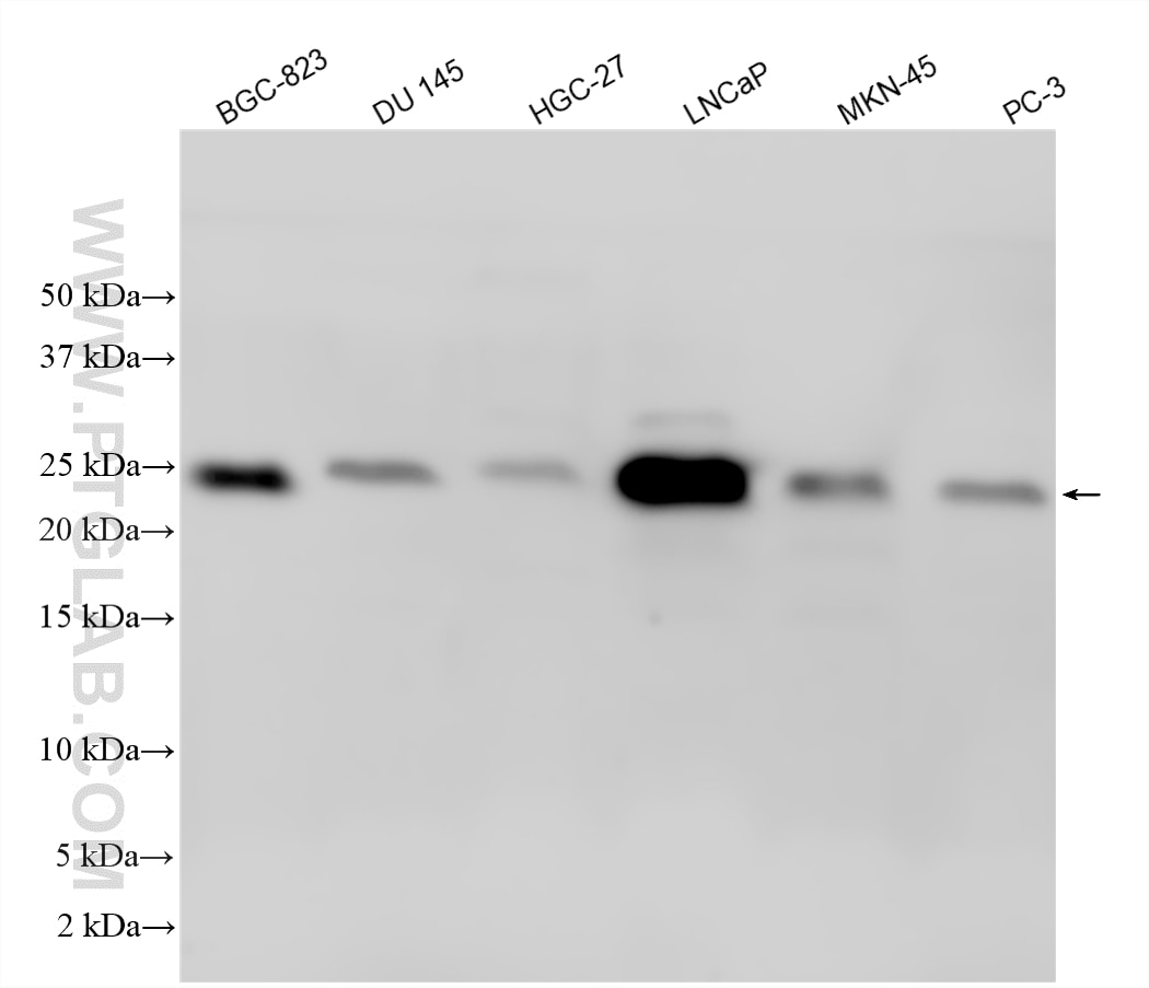
| Positive WB detected in | LNCaP cells, BGC-823 cells, DU 145 cells, HGC-27 cells, MKN-45 cells, PC-3 cells |
| Positive IHC detected in | human prostate cancer tissue, human gliomas tissue Note: suggested antigen retrieval with TE buffer pH 9.0; (*) Alternatively, antigen retrieval may be performed with citrate buffer pH 6.0 |
Recommended dilution
| Application | Dilution |
|---|---|
| Western Blot (WB) | WB : 1:500-1:1000 |
| Immunohistochemistry (IHC) | IHC : 1:20-1:200 |
| It is recommended that this reagent should be titrated in each testing system to obtain optimal results. | |
| Sample-dependent, Check data in validation data gallery. | |
Published Applications
| WB | See 1 publications below |
| IHC | See 2 publications below |
Product Information
12945-1-AP targets GAGE7 in WB, IHC, ELISA applications and shows reactivity with human samples.
| Tested Reactivity | human |
| Cited Reactivity | human |
| Host / Isotype | Rabbit / IgG |
| Class | Polyclonal |
| Type | Antibody |
| Immunogen |
CatNo: Ag4018 Product name: Recombinant human GAGE7 protein Source: e coli.-derived, PGEX-4T Tag: GST Domain: 1-117 aa of BC031628 Sequence: MSWRGRSTYYWPRPRRYVQPPEMIGPMRPEQFSDEVEPATPEEGEPATQRQDPAAAQEGEDEGASAGQGPKPEAHSQEQGHPQTGCECEDGPDGQEMDPPNPEEVKTPEEGEKQSQC 相同性解析による交差性が予測される生物種 |
| Full Name | G antigen 7 |
| Calculated molecular weight | 13 kDa |
| Observed molecular weight | 26 kDa |
| GenBank accession number | BC031628 |
| Gene Symbol | GAGE7 |
| Gene ID (NCBI) | 2579 |
| RRID | AB_2877895 |
| Conjugate | Unconjugated |
| Form | |
| Form | Liquid |
| Purification Method | Antigen affinity purification |
| UNIPROT ID | O76087 |
| Storage Buffer | PBS with 0.02% sodium azide and 50% glycerol{{ptg:BufferTemp}}7.3 |
| Storage Conditions | Store at -20°C. Stable for one year after shipment. Aliquoting is unnecessary for -20oC storage. |
Background Information
GAGE7 (G Antigen 7), also known as CT4.7 or GAGE-7, is a cancer-testis antigen belonging to the GAGE family. It is predominantly expressed in germ cells of the testis and various tumors, including melanoma, lung, and breast cancers, while remaining silent in normal adult tissues (PMID: 10397259). GAGE7 is an intrinsically disordered protein (IDP) of 117 amino acids with a theoretical molecular weight of ~13 kDa; however, it exhibits an apparent molecular weight of ~26 kDa in SDS-PAGE due to its abnormal electrophoretic mobility (PMID: 23029259).
Protocols
| Product Specific Protocols | |
|---|---|
| IHC protocol for GAGE7 antibody 12945-1-AP | Download protocol |
| WB protocol for GAGE7 antibody 12945-1-AP | Download protocol |
| Standard Protocols | |
|---|---|
| Click here to view our Standard Protocols |
Publications
| Species | Application | Title |
|---|---|---|
J Cancer Res Clin Oncol Elevated ZBTB7A expression in the tumor invasive front correlates with more tumor budding formation in gastric adenocarcinoma. | ||
J Exp Clin Cancer Res GAGE7B promotes tumor metastasis and growth via activating the p38δ/pMAPKAPK2/pHSP27 pathway in gastric cancer. |






