Validation Data Gallery
Tested Applications
| Positive WB detected in | HMy2.CIR cells, C6 cells, HEK-293 cells, HepG2 cells, mouse liver tissue, HeLa cells, NIH/3T3 cells, mouse heart tissue, rat heart tissue, Jurkat cells |
| Positive IP detected in | mouse heart tissue |
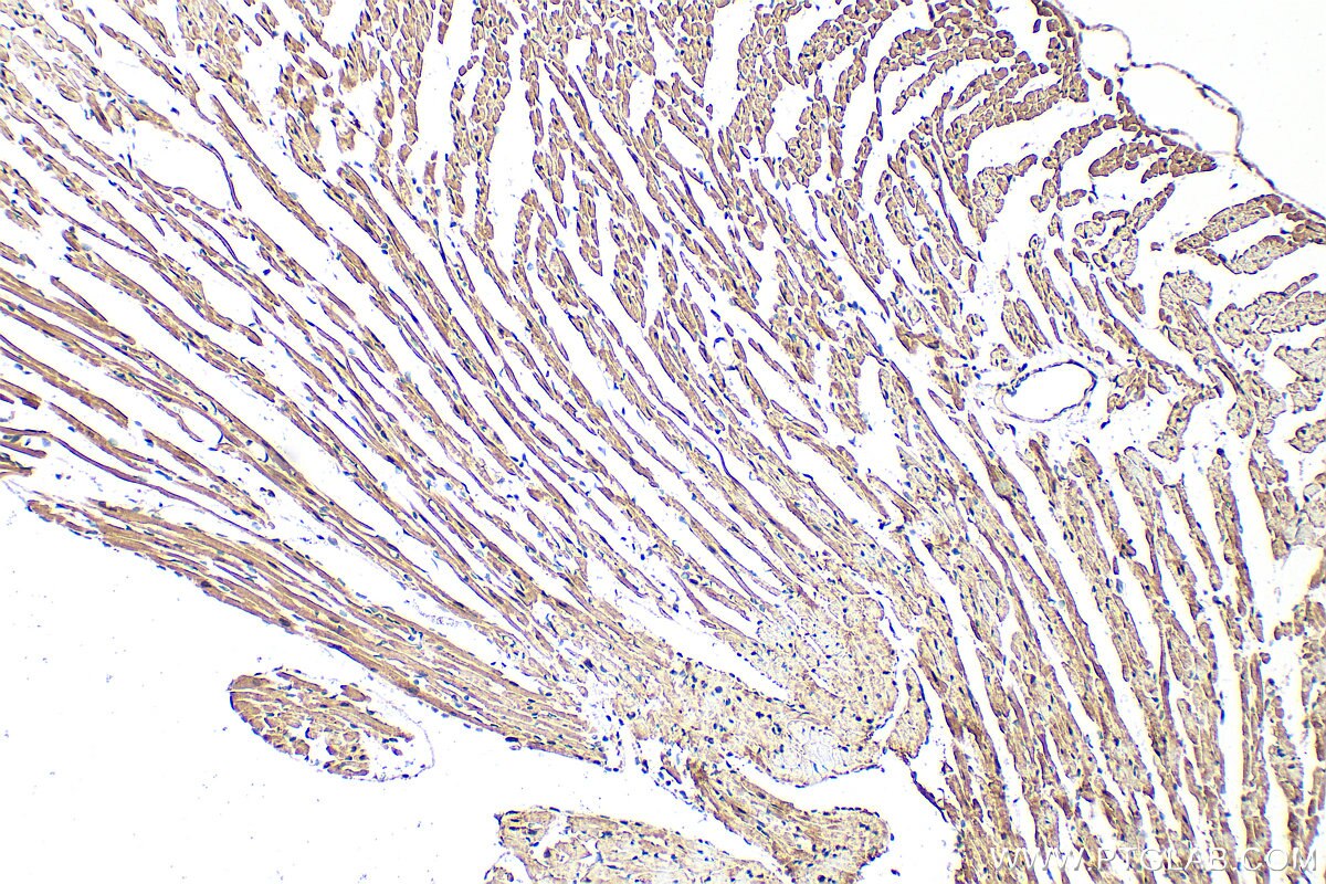
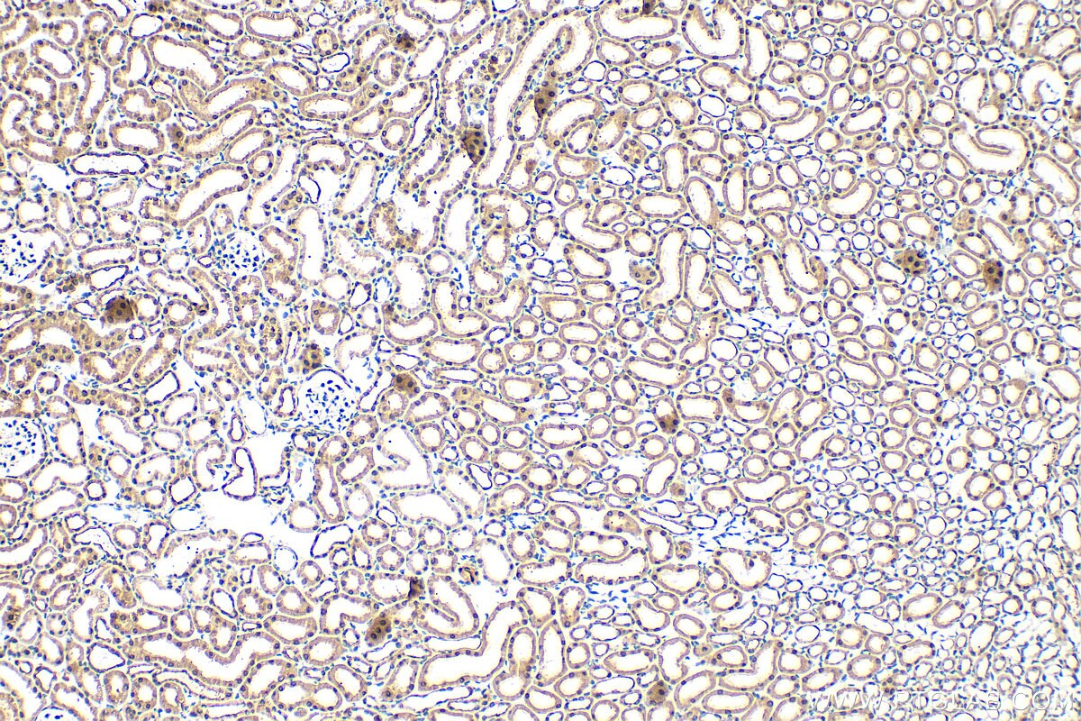
| Positive IHC detected in | mouse kidney tissue, human breast cancer tissue, human liver tissue, mouse heart tissue Note: suggested antigen retrieval with TE buffer pH 9.0; (*) Alternatively, antigen retrieval may be performed with citrate buffer pH 6.0 |
| Positive IF/ICC detected in | HepG2 cells, HeLa cells |
| Positive FC (Intra) detected in | HeLa cells |
Recommended dilution
| Application | Dilution |
|---|---|
| Western Blot (WB) | WB : 1:1000-1:6000 |
| Immunoprecipitation (IP) | IP : 0.5-4.0 ug for 1.0-3.0 mg of total protein lysate |
| Immunohistochemistry (IHC) | IHC : 1:200-1:800 |
| Immunofluorescence (IF)/ICC | IF/ICC : 1:50-1:500 |
| Flow Cytometry (FC) (INTRA) | FC (INTRA) : 0.20 ug per 10^6 cells in a 100 µl suspension |
| It is recommended that this reagent should be titrated in each testing system to obtain optimal results. | |
| Sample-dependent, Check data in validation data gallery. | |
Published Applications
| KD/KO | See 4 publications below |
| WB | See 11 publications below |
| IP | See 2 publications below |
Product Information
16368-1-AP targets FZR1/Cdh1 in WB, IHC, IF/ICC, FC (Intra), IP, ELISA applications and shows reactivity with human, mouse, rat samples.
| Tested Reactivity | human, mouse, rat |
| Cited Reactivity | human, mouse |
| Host / Isotype | Rabbit / IgG |
| Class | Polyclonal |
| Type | Antibody |
| Immunogen |
CatNo: Ag9201 Product name: Recombinant human FZR1 protein Source: e coli.-derived, PGEX-4T Tag: GST Domain: 217-342 aa of BC013413 Sequence: SQVTRLCDLSVEGDSVTSVGWSERGNLVAVGTHKGFVQIWDAAAGKKLSMLEGHTARVGALAWNAEQLSSGSRDRMILQRDIRTPPLQSERRLQGHRQEVCGLKWSTDHQLLASGGNDNKLLVWNH 相同性解析による交差性が予測される生物種 |
| Full Name | fizzy/cell division cycle 20 related 1 (Drosophila) |
| Calculated molecular weight | 493 aa, 55 kDa |
| Observed molecular weight | 55 kDa |
| GenBank accession number | BC013413 |
| Gene Symbol | FZR1 |
| Gene ID (NCBI) | 51343 |
| RRID | AB_2107380 |
| Conjugate | Unconjugated |
| Form | |
| Form | Liquid |
| Purification Method | Antigen affinity purification |
| UNIPROT ID | Q9UM11 |
| Storage Buffer | PBS with 0.02% sodium azide and 50% glycerol{{ptg:BufferTemp}}7.3 |
| Storage Conditions | Store at -20°C. Stable for one year after shipment. Aliquoting is unnecessary for -20oC storage. |
Background Information
FZR1 gene, also named as FYR, FZR and KIAA1242, has been previously shown to be mutated in lobular breast carcinomas. Direct evidence of FZR1 mutations triggering tumorigenesis has been investigated. FZR1 is a key regulator of ligase activity of the anaphase promoting complex/cyclosome (APC/C) which is playing vital role s in cell cycle progression. There are 7 WD-repeat domains in FZR1. Upon phosphorylation and dephosphorylation, it interacts with other components to modulate cell mitosis. This gene is different to E-cadherin (CDH1)which is an epithelial cell adhesion molecule. It has 55 kDa, 54 kDa and 45 kDa isoforms.
Protocols
| Product Specific Protocols | |
|---|---|
| FC protocol for FZR1/Cdh1 antibody 16368-1-AP | Download protocol |
| IF protocol for FZR1/Cdh1 antibody 16368-1-AP | Download protocol |
| IHC protocol for FZR1/Cdh1 antibody 16368-1-AP | Download protocol |
| IP protocol for FZR1/Cdh1 antibody 16368-1-AP | Download protocol |
| WB protocol for FZR1/Cdh1 antibody 16368-1-AP | Download protocol |
| Standard Protocols | |
|---|---|
| Click here to view our Standard Protocols |
Publications
| Species | Application | Title |
|---|---|---|
Nat Commun DNA replication initiation factor RECQ4 possesses a role in antagonizing DNA replication initiation | ||
Sci Adv The cohesin stabilizer Sororin drives G2-M transition and spindle assembly in mammalian oocytes.
| ||
Acta Pharmacol Sin Bergenin, a PPARγ agonist, inhibits Th17 differentiation and subsequent neutrophilic asthma by preventing GLS1-dependent glutaminolysis. | ||
Mol Cell Biol ERBB2 deficiency alters an E2F-1-dependent adaptive stress response and leads to cardiac dysfunction. | ||
iScience Cdh1-APC Regulates Protein Synthesis and Stress Granules in Neurons through an FMRP-Dependent Mechanism.
| ||














