Validation Data Gallery
Tested Applications
| Positive WB detected in | HEK-293 cells, HeLa cells, A431 cells, BxPC-3 cells | 
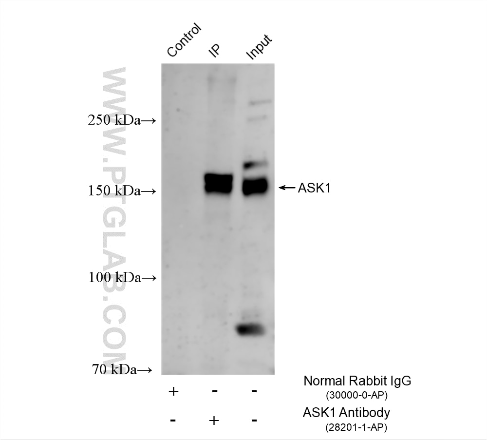
| Positive IP detected in | HeLa cells | 
| Positive IHC detected in | human pancreas cancer tissue, mouse heart tissue Note: suggested antigen retrieval with TE buffer pH 9.0; (*) Alternatively, antigen retrieval may be performed with citrate buffer pH 6.0 | 
Recommended dilution
| Application | Dilution | 
|---|---|
| Western Blot (WB) | WB : 1:500-1:2000 | 
| Immunoprecipitation (IP) | IP : 0.5-4.0 ug for 1.0-3.0 mg of total protein lysate | 
| Immunohistochemistry (IHC) | IHC : 1:200-1:800 | 
| It is recommended that this reagent should be titrated in each testing system to obtain optimal results. | |
| Sample-dependent, Check data in validation data gallery. | |
Published Applications
| WB | See 26 publications below | 
| IP | See 1 publications below | 
Product Information
28201-1-AP targets ASK1 in WB, IHC, IP, ELISA applications and shows reactivity with human, mouse samples.
| Tested Reactivity | human, mouse | 
| Cited Reactivity | human, mouse, rat | 
| Host / Isotype | Rabbit / IgG | 
| Class | Polyclonal | 
| Type | Antibody | 
| Immunogen | CatNo: Ag28092 Product name: Recombinant human ASK1 protein Source: e coli.-derived, PGEX-4T Tag: GST Domain: 1180-1374 aa of BC054503 Sequence: LASESDTADQEDLDVEDDHEEQPSNQTVRRPQAVIEDAVATSGVSTLSSTVSHDSQSAHRSLNVQLGRMKIETNRLLEELVRKEKELQALLHRAIEEKDQEIKHLKLKSQPIEIPELPVFHLNSSGTNTEDSELTDWLRVNGADEDTISRFLAEDYTLLDVLYYVTRDDLKCLRLRGGMLCTLWKAIIDFRNKQT相同性解析による交差性が予測される生物種 | 
| Full Name | mitogen-activated protein kinase kinase kinase 5 | 
| Calculated molecular weight | 155 kDa | 
| Observed molecular weight | 155 kDa | 
| GenBank accession number | BC054503 | 
| Gene Symbol | ASK1 | 
| Gene ID (NCBI) | 4217 | 
| RRID | AB_2782957 | 
| Conjugate | Unconjugated | 
| Form | |
| Form | Liquid | 
| Purification Method | Antigen affinity purification | 
| UNIPROT ID | Q99683 | 
| Storage Buffer | PBS with 0.02% sodium azide and 50% glycerol{{ptg:BufferTemp}}7.3 | 
| Storage Conditions | Store at -20°C. Stable for one year after shipment. Aliquoting is unnecessary for -20oC storage. | 
Background Information
ASK1(Apoptosis signal-regulating kinase 1) is also named as MAP3K5, MAPKKK5, MEKK5 and belongs to the MAP kinase kinase kinase subfamily. It is an evolutionarily conserved mitogen activated protein 3-kinase that activates both Jnk and p38 mitogen-activated protein kinases. ASK1 is activated in response to various cytotoxic stresses including TNF, Fas and reactive oxygen species (ROS) such as H2O2, and activates c-Jun NH 2-terminal kinase (JNK) and p38. 28201-1-AP antibody detects the 155 kDa band in SDS-PAGE.
Protocols
| Product Specific Protocols | |
|---|---|
| IHC protocol for ASK1 antibody 28201-1-AP | Download protocol | 
| IP protocol for ASK1 antibody 28201-1-AP | Download protocol | 
| WB protocol for ASK1 antibody 28201-1-AP | Download protocol | 
| Standard Protocols | |
|---|---|
| Click here to view our Standard Protocols | 
Publications
| Species | Application | Title | 
|---|---|---|
| Redox Biol FUT2-dependent fucosylation of HYOU1 protects intestinal stem cells against inflammatory injury by regulating unfolded protein response | ||
| Oxid Med Cell Longev Melatonin Alleviates Neuroinflammation and Metabolic Disorder in DSS-Induced Depression Rats. | ||
| J Cell Mol Med Exercise ameliorates insulin resistance and improves ASK1-mediated insulin signalling in obese rats. | ||
| Food Funct L-Theanine mediates the p38MAPK signaling pathway to alleviate heat-induced oxidative stress and inflammation in mice. | ||
| Life Sci The IRE1 signaling pathway is involved in the protective effect of low-dose LPS on myocardial ischemia-reperfusion injury. | 






