Validation Data Gallery
Tested Applications
| Positive WB detected in | human liver tissue, HepG2 cells, human brain tissue, NIH/3T3 cells |
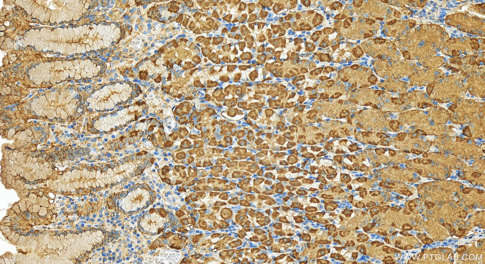
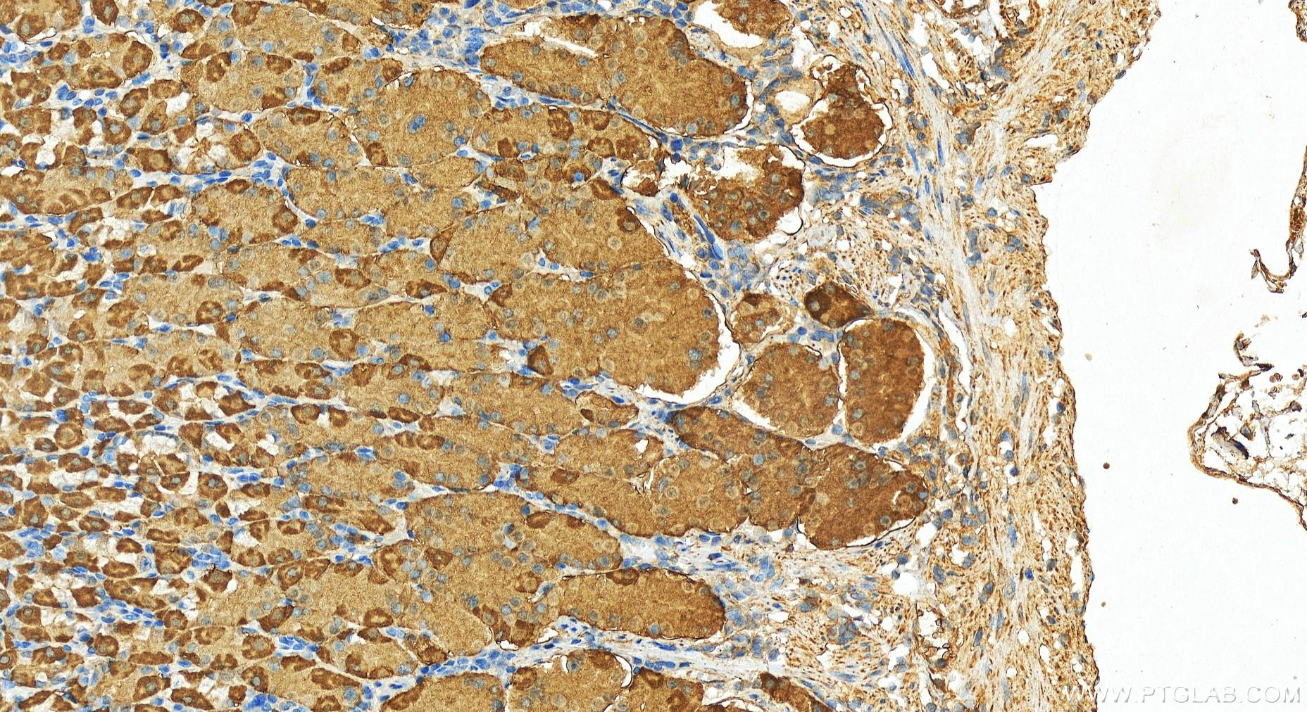
| Positive IHC detected in | human stomach tissue Note: suggested antigen retrieval with TE buffer pH 9.0; (*) Alternatively, antigen retrieval may be performed with citrate buffer pH 6.0 |
Recommended dilution
| Application | Dilution |
|---|---|
| Western Blot (WB) | WB : 1:500-1:2000 |
| Immunohistochemistry (IHC) | IHC : 1:50-1:500 |
| It is recommended that this reagent should be titrated in each testing system to obtain optimal results. | |
| Sample-dependent, Check data in validation data gallery. | |
Published Applications
| WB | See 1 publications below |
Product Information
13209-1-AP targets AKR7A3 in WB, IHC, ELISA applications and shows reactivity with human, mouse samples.
| Tested Reactivity | human, mouse |
| Cited Reactivity | rat |
| Host / Isotype | Rabbit / IgG |
| Class | Polyclonal |
| Type | Antibody |
| Immunogen |
CatNo: Ag3991 Product name: Recombinant human AKR7A3 protein Source: e coli.-derived, PGEX-4T Tag: GST Domain: 1-331 aa of BC025709 Sequence: MSRQLSRARPATVLGAMEMGRRMDAPTSAAVTRAFLERGHTEIDTAFVYSEGQSETILGGLGLRLGGSDCRVKIDTKAIPLFGNSLKPDSLRFQLETSLKRLQCPRVDLFYLHMPDHSTPVEETLRACHQLHQEGKFVELGLSNYAAWEVAEICTLCKSNGWILPTVYQGMYNAITRQVETELFPCLRHFGLRFYAFNPLAGGLLTGKYKYEDKDGKQPVGRFFGNTWAEMYRNRYWKEHHFEGIALVEKALQAAYGASAPSMTSATLRWMYHHSQLQGAHGDAVILGMSSLEQLEQNLAAAEEGPLEPAVVDAFNQAWHLVAHECPNYFR 相同性解析による交差性が予測される生物種 |
| Full Name | aldo-keto reductase family 7, member A3 (aflatoxin aldehyde reductase) |
| Calculated molecular weight | 331 aa, 37 kDa |
| Observed molecular weight | 37 kDa and 55-60 kDa |
| GenBank accession number | BC025709 |
| Gene Symbol | AKR7A3 |
| Gene ID (NCBI) | 22977 |
| RRID | AB_2224549 |
| Conjugate | Unconjugated |
| Form | |
| Form | Liquid |
| Purification Method | Antigen affinity purification |
| UNIPROT ID | O95154 |
| Storage Buffer | PBS with 0.02% sodium azide and 50% glycerol{{ptg:BufferTemp}}7.3 |
| Storage Conditions | Store at -20°C. Stable for one year after shipment. Aliquoting is unnecessary for -20oC storage. |
Background Information
AKR7A3 belongs to the aldo‐keto reductase (AKR) superfamily, whose primary role is to reduce aldehydes and ketones to generate primary and secondary alcohols, respectively. These enzymes have been shown to play crucial roles in drug metabolism, carcinogen metabolism, and cellular metabolism. Growing evidence suggests that AKR7A3 can play an essential role in the occurrence of cancers, including breast and liver cancers. (PMID: 36951402)
Protocols
| Product Specific Protocols | |
|---|---|
| IHC protocol for AKR7A3 antibody 13209-1-AP | Download protocol |
| WB protocol for AKR7A3 antibody 13209-1-AP | Download protocol |
| Standard Protocols | |
|---|---|
| Click here to view our Standard Protocols |





