Validation Data Gallery
Tested Applications
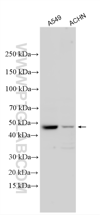
| Positive WB detected in | A549 cells, ACHN cells |
| Positive IF-P detected in | mouse stomach tissue |
Recommended dilution
| Application | Dilution |
|---|---|
| Western Blot (WB) | WB : 1:1000-1:5000 |
| Immunofluorescence (IF)-P | IF-P : 1:50-1:500 |
| It is recommended that this reagent should be titrated in each testing system to obtain optimal results. | |
| Sample-dependent, Check data in validation data gallery. | |
Published Applications
| WB | See 5 publications below |
| IHC | See 1 publications below |
| IF | See 1 publications below |
Product Information
29864-1-AP targets ADRB2 in WB, IHC, IF-P, ELISA applications and shows reactivity with human samples.
| Tested Reactivity | human |
| Cited Reactivity | human |
| Host / Isotype | Rabbit / IgG |
| Class | Polyclonal |
| Type | Antibody |
| Immunogen |
CatNo: Ag32313 Product name: Recombinant human ADRB2 protein Source: e coli.-derived, PGEX-4T Tag: GST Domain: 330-413 aa of BC012481 Sequence: PDFRIAFQELLCLRRSSLKAYGNGYSSNGNTGEQSGYHVEQEKENKLLCEDLPGTEDFVGHQGTVPSDNIDSPGRNCSTNDSLL 相同性解析による交差性が予測される生物種 |
| Full Name | adrenergic, beta-2-, receptor, surface |
| Calculated molecular weight | 46 kDa |
| Observed molecular weight | 46-48 kDa |
| GenBank accession number | BC012481 |
| Gene Symbol | ADRB2 |
| Gene ID (NCBI) | 154 |
| RRID | AB_2923616 |
| Conjugate | Unconjugated |
| Form | |
| Form | Liquid |
| Purification Method | Antigen affinity purification |
| UNIPROT ID | P07550 |
| Storage Buffer | PBS with 0.02% sodium azide and 50% glycerol{{ptg:BufferTemp}}7.3 |
| Storage Conditions | Store at -20°C. Stable for one year after shipment. Aliquoting is unnecessary for -20oC storage. |
Background Information
Beta-2 adrenergic receptor (ADRB2), a member of the G protein-coupled receptor (GPCR) family, binds epinephrine with an approximately 30-fold greater affinity than it does norepinephrine. ADRB2 is directly linked to one of its final effectors, the class C L-type Ca2+ channel, Cav1.2 (PMID: 11441182). This receptor-channel complex also contains a G protein, an adenylyl cyclase, cyclic adenosine monophosphate-dependent protein kinase (PKA), and a counteracting phosphatase, PP2A. Different polymorphic forms, point mutations, and/or downregulation of the gene of ADRB2 are associated with nocturnal asthma, obesity, and type 2 diabetes. This antibody detects ADRB2 with a molecular weight of 46-48 kDa, as has been shown by some researches (PMID: 30542705; 35075132).
Protocols
| Product Specific Protocols | |
|---|---|
| IF protocol for ADRB2 antibody 29864-1-AP | Download protocol |
| WB protocol for ADRB2 antibody 29864-1-AP | Download protocol |
| Standard Protocols | |
|---|---|
| Click here to view our Standard Protocols |
Publications
| Species | Application | Title |
|---|---|---|
iScience Region-specific sympatho-adrenergic regulation of specialized vasculature in bone homeostasis and regeneration | ||
Oncol Lett β‑adrenergic receptor activation promotes the proliferation of HepG2 cells via the ERK1/2/CREB pathways | ||
Front Pharmacol Gut microbiota-derived metabolite phenylacetylglutamine inhibits the progression of prostate cancer by suppressing the Wnt/β-catenin signaling pathway | ||
Immunobiology Exploring liquid-liquid phase separation-related diagnostic biomarkers in osteoarthritis based on machine learning algorithms and experiment | ||
Adv Sci (Weinh) Chronic Stress-Induced and Tumor Derived SP1+ Exosomes Polarizing IL-1β+ Neutrophils to Increase Lung Metastasis of Breast Cancer | ||
Nat Cell Biol Psychological stress-induced ALKBH5 deficiency promotes tumour innervation and pancreatic cancer via extracellular vesicle transfer of RNA |

